International Journal of Clinical Medicine
Vol.05 No.21(2014), Article ID:52740,4 pages
10.4236/ijcm.2014.521178
Clinical and Radiological Features in the Cases with Cryptogenic Brain Abscess in Association with Patent Foramen Ovale: A Case Report and Review of the Literature
Masayuki Sugie1*, Takahiro Jimi2, Yojiro Kashimura3, Hiroo Ichikawa1
1Department of Neurology, Showa University Fujigaoka Hospital, Yokohama, Japan
2Department of Neurology, Machida-Keisen Hospital, Machida, Japan
3Department of Neurosurgery, Showa University Fujigaoka Hospital, Yokohama, Japan
Email: *sugiegp02a@yahoo.co.jp
Copyright © 2014 by authors and Scientific Research Publishing Inc.
This work is licensed under the Creative Commons Attribution International License (CC BY).
http://creativecommons.org/licenses/by/4.0/



Received 2 November 2014; revised 1 December 2014; accepted 11 December 2014
ABSTRACT
Brain abscesses are commonly associated with cranial trauma, a contiguous focus of infection, or hematogenous spread from a distant focus. However, no predisposing factors are identified in approximately 4% of the cases, being recognized as a cryptogenic brain abscess (CBA). Here we report a patient with a CBA in the left occipital lobe presumably caused by a periodontal disease. The patient displayed a patent foramen ovale (PFO), through which a spontaneous right-to-left shunt was revealed with transesophageal echocardiography. A literature review indicated that in contrast to cases of general brain abscesses, patients with CBA were older and mostly had dental disorders represented by periodontal diseases and a large PFO. In these patients, the abscess was located predominantly in the posterior circulation area, and their prognosis was worse than that of general cases. Consequently, we emphasize the significance of screening for PFO in cases of advanced age with CBA in the posterior circulation region. Furthermore, to avoid neurological sequelae, we suggest immediate surgical drainage with antibiotic administration and maintenance of oral hygiene.
Keywords:
Cryptogenic Brain Abscess, Patent Foramen Ovale, Posterior Circulation Area, Aging

1. Introduction
Brain abscesses occur in 2% of all space-occupying lesions in the developed world [1] . In general, a brain abscess frequently arises from a contiguous source of infection, such as paranasal sinusitis, chronic otitis media, or cranial trauma. In these cases, bacteria spread through the valveless emissary vein and seed in the adjacent brain regions. However, in about 4% of cases, the primary source of infection remains unknown, thus known as cryptogenic brain abscesses (CBA) [2] . Some of these patients present with a patent foramen ovale (PFO) or pulmonary arteriovenous fistula, possibly allowing bacteria to bypass pulmonary circulation through a shunt [3] . Here we describe a patient with a spontaneous right-to-left shunt through the PFO, who subsequently developed a brain abscess. We also review the literature and discuss the clinical features of a cryptogenic brain abscess (CBA) with a PFO.
2. Case Presentation
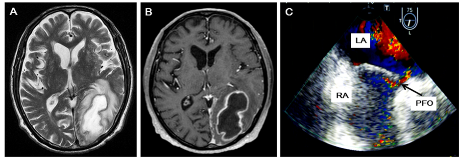
A previously healthy, non-smoking 83-year-old man was referred to our institution for a headache and narrowed visual field 3 weeks prior to presentation. His headache increased gradually without any vomiting or decline in consciousness. He was fully oriented in time, place, and person with a Glasgow Coma Scale score of 15/15 score at admission. Physical examination revealed fever and signs of meningeal irritation. Cranial nerve examination revealed right homonymous hemianopsia. Upon manual muscle testing (MMT), the score was 5/5 in the four extremities. In addition, sensory and deep sensory examination was normal. Deep tendon reflex was normal and Babinski sign was negative. He had been under treatment for a periodontal disease and dental caries for 1 year; however, no drugs or antibiotics were administrated. His family history was not particular. Peripheral blood examination revealed a white blood cell count of 18,100/μL with 95% neutrophils and elevated levels of C-reactive protein. Levels of hemoglobin A1c (HbA1c) and tumor markers were within the normal range. Human immunodeficiency virus (HIV) and human T cell leukemia virus type 1 (HTLV-1) were absent. A lumbar puncture yielded cloudy cerebrospinal fluid (CSF) with 180 mm H2O opening pressure. Analysis of the CSF revealed 2067 cells/mm3 (55% polymorphonucleocytes), 567 mg/dL protein, and 35 mg/dL glucose (simultaneous blood sugar, 107 mg/dL). Cultures of CSF, blood, urine, and sputum were conducted on admission and yielded negative results. Brain magnetic resonance imaging (MRI) revealed a ring-enhancing lesion in the left occipital lobe and a mass effect, with no evidence of head trauma or otorhinogenic diseases, such as paranasal sinusitis or mastoiditis (Figure 1(A) and Figure 1(B)). The lesion was over 3 cm in maximal diameter, and adjacent to the lateral ventricle. We administered intravenous antibiotics; meropenem and vancomycin. Shortly thereafter, surgical drainage was performed. Aspirated pus contained about 10 mL of purulent materials with putrid odor. A culture study revealed Prevotella spp. and Streptococcus constellatus, which are often found in the oral cavity. A systemic computed tomography (CT) scan with enhancement revealed no further abscesses or pulmonary
Figure 1. (A)-(C) Brain magnetic resonance image (MRI) with Geranium enhancement (A) and (B) and transesophagial echocardiogram (TEE) findings (C). (A) T2-weighted axial MR image showing a heterogeneous mass in the left occipital lobe, compressing the left lateral ventricle; (B) T1-weighted axial MR image with gadolinium enhancement, showing a left occipital hypointense mass lesion with ring enhancement; (C) TEE demonstrating PFO. A large right-to-left shunt identified by color Doppler analysis without Valsalva maneuver. RA: right atrium, LA: left atrium.
arteriovenous fistulas. Echocardiography revealed no potential risk factors, such as endocarditis, vegetation, or pulmonary hypertension. We diagnosed the case as having a cryptogenic brain abscess, and performed further examination to investigate the cause of the abscess. Transesophageal echocardiography detected a PFO, permitting a right-to-left shunt without Valsalva maneuver (Figure 1(C)). The patient’s oral hygiene was maintained. Antibiotic therapy continued for 6 weeks after drainage, and the brain abscess almost disappeared. He was discharged from the hospital 2 months after admission, with right homonymous hemianopsia as the persisting neurological sequela.
3. Discussion
In our case, 1-year dental treatment had been performed for a periodontal disease and dental decay. It is plausible that Prevotella spp. and S. constellatus, part of the oral flora, entered systemic circulation, bypassed the lungs through the right-to-left cardiac shunt, and caused the abscess in the occipital lobe.
There have been 21 similar cases of CBA accompanied by PFO reported to date [3] -[15] . To clarify the clinical features of these patients, we compared cases of CBA accompanied by PFO with general cases reported by Nathoo et al. [2] . The study by Nathoo et al. is the largest from a single institution and reflects the general features of brain abscesses. In contrast to patients with general brain abscesses, those of CBA with a PFO were older (24.36 and 57.15 years, respectively), and most suffered from dental diseases, such as periodontal diseases (4% and 75%, respectively). The most common causative organisms in CBA cases were oral flora, such as Staphylococcus viridans, Prevotella spp., and Streptococcus intermedius. Interestingly, the brain region affected most in CBA cases with a PFO was the posterior circulation area (57.2% in posterior region); whereas general brain abscesses predominantly affected the anterior area (78% in anterior region). Approximately one-third of CBA cases, including ours, resulted in neurological disability [3] [13] or death [7] [11] ; however, most patients with general abscesses had good recovery (81.3%) [2] .
The prevalence of periodontal diseases was strongly associated with age, with those aged 65 to 74 years being most susceptible [16] . Among the 21 CBA cases, the average age of cases with and without dental disorders was 70.4 years (n = 15) and 43.9 years (n = 6), respectively. According to autopsy series [17] , the prevalence of PFO decreases with increasing age, but the size of the PFO increases. Furthermore, previous reports have speculated that brain abscess formation in PFO cases depends on the magnitude of the right-to-left shunt [7] . PFO size was specified in 12 of the 21 cases reported [3] [6] [11] -[13] [15] . Sadahiro et al. reported that 3 of their 6 cases had large PFO [3] . They defined large PFO as 26 or more contrast bubbles within three cardiac cycles during TEE. Based on this definition, the PFO observed in our case was classified as a large PFO. In addition, 2 cases in the previous reports had large PFOs; however, the authors did not define them as such [13] [15] . Furthermore, 2 cases had giant Eustachian valves [3] [15] . These results indicated that 6 of the 12 cases with CBA (50%) had a large PFO [3] [13] [15] . The mean age of cases having a large PFO and those having a small to moderate sized PFO was 66.0 and 49.2 years, respectively [3] [6] [11] [12] . Summarizing these data, age is associated with periodontal disease, which is the most common predisposing factor for CBA with a PFO, and prevalence of a large PFO. Thus, the patients with CBA accompanied by a PFO are older than those with general abscesses. Furthermore, the older age of PFO cases could contribute to their poor prognosis.
The regional distribution of brain abscesses is significantly different in patients having general abscesses compared with those with a PFO. To investigate the fate of emboli originating in the lower extremities, Hayashida, et al., performed brain single photon emission computed tomography (SPECT) with 99mTc-microaggre- gated albulin (MAA) after radionuclide venography using the Valsalva maneuver [18] . They showed that the cerebral flow of posterior circulation had greater excess flow compared with anterior circulation in cases with PFO than in cases without (16.1% and 4.4%, respectively). Suggesting that a bacterial mass in the oral cavity could enter venous circulation via a spontaneous right-to-left cardiac shunt; leading to a brain abscess more frequently in the posterior circulation than in the anterior area due to excess flow dynamics in the posterior region.
With regard to treatment, the recurrence rates of brain abscesses have been reported to be up to 25% among cases in which the primary source of infection is unknown (i.e., CBA cases) [19] . Some authors have reported septal occlusion as an excellent method for reducing the risk of brain abscesses [8] [10] [15] ; however, no large studies have evaluated the efficacy of PFO disclosure in preventing recurrence of brain abscesses. Other shave suggested maintenance of oral hygiene for preventing brain abscess recurrence given that majority of patients with PFO had dental diseases [3] . Consequently, we did not perform disclosure of PFO, but maintained oral hygiene to prevent CBA recurrence.
4. Conclusion
In conclusion, we suggest that older aged patients (over approximately 65 years) with CBA in the posterior brain circulation should be screened for PFO. Both immediate surgical drainage with antibiotic administration and maintenance of oral hygiene could help prevent neurological sequelae.
References
- Bernardini, G.L. (2004) Diagnosis and Management of Brain Abscess and Subdural Empyema. Current Neurology and Neuroscience Reports, 4, 448-456. http://dx.doi.org/10.1007/s11910-004-0067-8
- Nathoo, N., Nadvi, S.S., Narotam, P.K. and van Dellen, J.R. (2011) Brain Abscess: Management and Outcome Analysis of a Computed Tomography Era Experience with 973 Patients. World Neurosurgery, 75, 716-726. http://dx.doi.org/10.1016/j.wneu.2010.11.043
- Sadahiro, H., Nomura, S., Inamura, A., Yamane, A., Sugimoto, K., Fujiyama, Y. and Suzuki, M. (2014) Brain Abscess Associated with Patent Foramen Ovale. Acta Neurochirurgica, 156, 1971-1976. http://dx.doi.org/10.1007/s00701-014-2170-1
- Kawamata, T., Takeshita, M., Ishizuka, N. and Hori, T. (2001) Patent Foramen Ovale as a Possible Risk Factor for Cryptogenic Brain Abscess. Report of Two Cases. Neurosurgery, 49, 204-207.
- Friedlander, R.M., Gonzalez, R.G., Afridi, N.A. and Pfannl, R. (2003) Case Records of the Massachusetts General Hospital. Weekly Clinicopathological Exercises. Case 16-2003. A 58-Year-Old Woman with Left-Sided Weakness and a Right Frontal Brain Mass. New England Journal of Medicine, 348, 2125-2132. http://dx.doi.org/10.1056/NEJMcpc030011
- Doepp, F., Schreiber, S.J., Wandinger, K.P., Trendelenburg, G. and Valdueza, J.M. (2006) Multiple Brain Abscesses Following Surgical Treatment of a Perianal Abscess. Clinical Neurology and Neurosurgery, 108, 187-190. http://dx.doi.org/10.1016/j.clineuro.2004.11.024
- Khouzam, R.N., El-Dokla, A.M. and Menkes, D.L. (2006) Undiagnosed Patent Foramen Ovale Presenting as a Cryptogenic Brain Abscess: Case Report and Review of the Literature. Heart & Lung, 35, 108-111. http://dx.doi.org/10.1016/j.hrtlng.2005.07.007
- LaBarbera, M., Berkowitz, M.J., Shah, A. and Slater, J. (2006) Percutaneous PFO Closure for the Prevention of Recurrent Brain Abscess. Catheterization and Cardiovascular Interventions, 68, 957-960. http://dx.doi.org/10.1002/ccd.20869
- Stathopoulos, G.T., Mandila, C.G., Koukoulitsios, G.V., Katsarelis, N.G., Pedonomos, M. and Karabinis, A. (2007) Adult Brain Abscess Associated with Patent Foramen Ovale: A Case Report. Journal of Medical Case Reports, 1, 68. http://dx.doi.org/10.1186/1752-1947-1-68
- Chen, F.C., Tseng, Y.Z., Wu, S.P., Shen, T.Y., Yang, H.P. and Chen, C.C. (2008) Vegetation on Patent Foramen Ovale Presenting as a Cryptogenic Brain Abscess. International Journal of Cardiology, 124, e49-e50. http://dx.doi.org/10.1016/j.ijcard.2006.11.200
- Keith-Rokosh, J., Hussain, Z., Haig, A., Armstrong, C., Ang, L.C., Ng, W. and Lownie, S.P. (2008) Cryptogenic Methicillin-Resistant Staphylococcus aureus Brain Abscess. Canadian Journal of Neurological Sciences, 35, 115-118.
- Wolf, J. and Curtis, N. (2008) Brain Abscess Secondary to Dental Braces. Pediatric Infectious Disease Journal, 27, 84-85. http://dx.doi.org/10.1097/INF.0b013e31815819a6
- Ariyaratnam, S., Gajendragadkar, P.R., Dickinson, R.J., Roberts, P., Harris, K., Carmichael, A. and Karas, J.A. (2010) Liver and Brain Abscess Caused by Aggregatibacter paraphrophilus in Association with a Large Patent Foramen Ovale: A Case Report. Journal of Medical Case Reports, 4, 69. http://dx.doi.org/10.1186/1752-1947-4-69
- Walsh, K., Kaliaperumal, C., Wyse, G. and Kaar, G. (2011) A Neurosurgical Presentation of Patent Foramen Ovale with Atrial Septal Aneurysm. BMJ Case Reports, 2011.
- Horiuchi, Y., Kato, Y., Dembo, T., Takeda, H., Fukuoka, T. and Tanahashi, N. (2012) Patent Foramen Ovale as a Risk Factor for Cryptogenic Brain Abscess: Case Report and Review of the Literature. Internal Medicine, 51, 1111-1114. http://dx.doi.org/10.2169/internalmedicine.51.7133
- Grossi, S.G., Zambon, J.J., Ho, A.W., Koch, G., Dunford, R.G., Machtei, E.E., Norderyd, O.M. and Genco, R.J. (1994) Assessment of Risk for Periodontal Disease. I. Risk Indicators for Attachment Loss. Journal of Periodontology, 65, 260-267. http://dx.doi.org/10.1902/jop.1994.65.3.260
- Hagen, P.T., Scholz, D.G. and Edwards, W.D. (1984) Incidence and Size of Patent Foramen Ovale during the First 10 Decades of Life: An Autopsy Study of 965 Normal Hearts. Mayo Clinic Proceedings, 59, 17-20. http://dx.doi.org/10.1016/S0025-6196(12)60336-X
- Hayashida, K., Fukuchi, K., Inubushi, M., Fukushima, K., Imakita, S. and Kimura, K. (2001) Embolic Distribution through Patent Foramen Ovale Demonstrated by 99mTc-MAA Brain SPECT after Valsalva Radionuclide Venography. Journal of Nuclear Medicine, 42, 859-863.
- Ciurea, A.V., Stoica, F., Vasilescu, G. and Nuteanu, L. (1999) Neurosurgical Management of Brain Abscesses in Children. Child’s Nervous System, 15, 309-317. http://dx.doi.org/10.1007/s003810050400
NOTES

*Corresponding author.


