Case Reports in Clinical Medicine
Vol.05 No.03(2016), Article ID:64673,4 pages
10.4236/crcm.2016.53018
Pulmonary Lymphangioleiomyomatosis on a Post-Menopausal Woman with Chronic Lymphocytic Leukaemia
Bernardo Cunha, Diogo Morgado Conceição, Carolina Cabo, Nélson Jesus, Lèlita Santos, Armando de Carvalho
Serviço de Medicina Interna A, Centro Hospitalar e Universitário de Coimbra, Coimbra, Portugal

Copyright © 2016 by authors and Scientific Research Publishing Inc.
This work is licensed under the Creative Commons Attribution International License (CC BY).
http://creativecommons.org/licenses/by/4.0/



Received 12 January 2016; accepted 14 March 2016; published 17 March 2016
ABSTRACT
A 62 years old, post-menopausal female was admitted to the Internal Medicine Ward due to dyspnoea, cough and sputum of at least 2 months. Shortness of breath, cough and hypoxaemia persisted and the patient was submitted to a pulmonary angiogram ct which revealed numerous thin- walled air cysts affecting upper and medial zones of both lungs, typical images of pulmonary lymphangioleiomyomatosis. After discharge to Internal Medicine Consultation Service with Metilprednisolone, the patient was no longer hypoxaemic and remained asymptomatic, even after withdrawal of oral corticosteroid to inhalatory formulation. Further surveillance in short time was scheduled in order to implement rapid imunossupressive treatment when necessary.
Keywords:
Pulmonary Lymphangioleiomyomatosis, Chronic Lymphocitic Leukaemia, Post-Menopausal

1. Introduction
Lymphangioleiomyomatosis (LAM) is a rare systemic disease of unknown aetiology which results from the proliferation in various organs of neoplastic-acting smooth muscle-like cells and occurs primarily in pre-meno- pausal women, leading to the hypothesis of female hormones being involved in its pathogenesis [1] .
The disorder is typically characterized by the formation of thin-walled pulmonary cysts resulting in destruction of pulmonary tissue with progressive lung dysfunction and the growth of abdominal tumours such as angiomyolipomas and lymphangioleiomyomas [2] . Its key clinical features include dyspnoea, haemoptysis, recurrent pneumothorax, chylothorax, and chylous ascites [3] [4] .
LAM is frequently but not always associated with an autosomal dominant disease called Tuberous Sclerosis Complex, mainly resulting from mutations in TSC1 and TSC2 genes [5] .
2. Case Presentation
A 62 years old, post-menopausal female, was admitted to the Internal Medicine Ward due to dyspnoea, cough and sputum.
At admission, being feverish and due to information of remissive chronic lymphocytic leukaemia, was medicated with Ceftriaxone and Azithromycin.
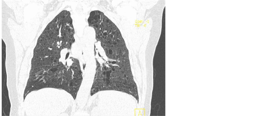
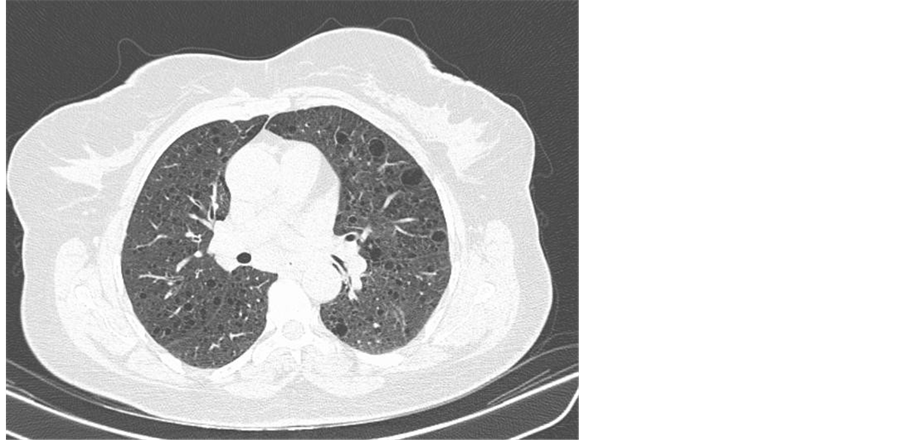
Despite becoming apyretic, shortness of breath, cough and hypoxaemia persisted and the patient was submitted to a pulmonary angiogram ct which revealed numerous thin-walled air cysts affecting upper and medial zones of both lungs (Figure 1), typical images of pulmonary lymphangioleiomyomatosis (Figure 2) [6] .
Latter work-up revealed normal pulmonary function tests and seric VEGF within range values [7] .
A more detailed review of her past medical history revealed a history of long-standing cough (of at least 2 months) associated with orthopnoea, not related to any known interstitial lung disease.
Figure 1. Multiple thin-walled round well-defined air-filled cysts throughout both lungs.
Figure 2. Axial cut from medial zone parenchyma typical of pulmonary lymphangioleiomyomatosis.
Due to facial lesions initially interpreted as herpetic but with suspicious cutaneous manifestation of tuberous sclerosis, abdominal ultrasound and high-definition ct scan were not suggestive of this diagnosis [8] .
Nevertheless, the patient was instructed to seek medical assistance if any complications related to her disease occurred.
After discharge to Internal Medicine Consultation Service medicated with oral metilprednisolone, the patient was no longer hypoxaemic and remained asymptomatic, even after withdrawal of oral corticosteroid to inhalatory formulation.
Further surveillance in short time was scheduled in order to implement rapid imunossupressive treatment when or if necessary [2] .
3. Discussion
The main clinical case is not atypical in any way from common lower respiratory tract infections. However, the persistance of symptoms after a first empiric antibiotic cycle suggested a pulmonary embolism (due to a procoagulant status from the patients heamatologic condition), thus the pulmonary angiogram ct.
LAM’s findings were awkward regarding the patients age and menopause. Bringing the patient up to speed on her possible diagnosis, she was reluctant to any invasive diagnostic procedure (such as bronchfiberscopy or pulmonary biopsy) so we became dependant on a presuptive diagnosis.
Seric VEGF values were no help (regardless of its doubtful value in the diagnosis of LAM) but the images were interpreted by more than two experienced rediologists and were so typical that the diagnosis remained.
Our patient was fully instructed to any symptom regarding a possible complication (persistent ou sudden dyspnoea, haemoptysis or assimetric chest expansion with pleuritic pain). Surveillance for any new signs or symptoms by regular appointments (3 months apart) with pulmonary function tests (each 6 months) and abdominal ultrasound (each 12 months) could confirm or infirm our suspicion.
Due to a lack of histologic findings, according to the ERS guidelines, LAM is probable; the surveillance described before is important to find any angiomyolipomas, thoracic or abdominal chylous effusion or lymph-node involved by LAM, obtaining a definite LAM diagnosis. Nevertheless, the patient is clinically stable and healthy, which should be our prime consern.
4. Conclusions
Pulmonary lymphangioleiomyomatosis is a valid diagnosis even on post-menopausal women, regardless of the not-so-practical guidelines from the European Respiratory Society guidelines [6] .
Patients should be alerted to signs and symptoms regarding complications in order to an early implementation of medical and chirurgical treatments [3] .
It is advised to exclude the diagnosis of tuberous sclerosis [5] .
Cite this paper
BernardoCunha,Diogo MorgadoConceição,CarolinaCabo,NélsonJesus,LèlitaSantos,Armandode Carvalho, (2016) Pulmonary Lymphangioleiomyomatosis on a Post-Menopausal Woman with Chronic Lymphocytic Leukaemia. Case Reports in Clinical Medicine,05,101-104. doi: 10.4236/crcm.2016.53018
References
- 1. Ryu, J.H., Moss, J., Beck, G.J., Lee, J.C., Brown, K.K., Chapman, J.T., et al. (2006) The NHLBI Lymphangioleiomyomatosis Registry: Characteristics of 230 Patients at Enrollment. American Journal of Respiratory and Critical Care Medicine, 173, 105-111.
http://dx.doi.org/10.1164/rccm.200409-1298OC - 2. Taveira da Silva, A.M., Hedin, C., Stylianou, M.P., Travis, W.D., Matsui, K., Ferrans, V.J., et al. (2001) Reversible Airflow Obstruction, Proliferation of Abnormal Smooth Muscle Cells, and Impairment of Gas Exchange as Predictors of Outcome in Lymphangioleiomyomatosis. American Journal of Respiratory and Critical Care Medicine, 164, 1072-1076.
http://dx.doi.org/10.1164/ajrccm.164.6.2102125 - 3. Ferrans, V.J., Yu, Z.X., Nelson, W.K., Valencia, J.C., Tatsuguchi, A., Avila, N.A., et al. (2000) Lymphangioleiomyomatosis (LAM): A Review of Clinical and Morphological Features. Journal of Nippon Medical School, 67, 311-329.
http://dx.doi.org/10.1272/jnms.67.311 - 4. Taylor, J.R., Ryu, J., Colby, T.V. and Raffin, T.A. (1990) Lymphangioleiomyomatosis. Clinical Course in 32 Patients. New England Journal of Medicine, 323, 1254-1260.
http://dx.doi.org/10.1056/NEJM199011013231807 - 5. Carsillo, T., Astrinidis, A. and Henske, E.P. (2000) Mutations in the Tuberous Sclerosis Complex Gene TSC2 Are a Cause of Sporadic Pulmonary Lymphangioleiomyomatosis. Proceedings of the National Academy of Sciences of the USA, 97, 6085-6090.
http://dx.doi.org/10.1073/pnas.97.11.6085 - 6. ERM LAM Task Force (2010) European Respiratory Society Guidelines for the Diagnosis and Management of Lymphangioleiomyomatosis. European Respiratory Journal, 35, 14-26.
http://dx.doi.org/10.1183/09031936.00076209 - 7. Young, L.R., Vandyke, R., Gulleman, P.M., Inoue, Y., Brown, K.K., Schmidt, L.S., et al. (2010) Serum Vascular Endothelial Growth Factor-D Prospectively Distinguishes Lymphangioleiomyomatosis from Other Diseases. Chest, 138, 674-681.
http://dx.doi.org/10.1378/chest.10-0573 - 8. Agaçkiran, Y., Ertürk, A., Yesiller, F.I., Hoca, N.T., üstün, L.N. and Çapan, N. (2014) Pulmonary Lymphangioleiomyomatosis: A Rare Case. Turk Patoloji Dergisi, 30, 233-236.



