American Journal of Plant Sciences
Vol.07 No.17(2016), Article ID:72797,15 pages
10.4236/ajps.2016.717216
Study on Petal-Sepal Mutant of Sunflower (Helianthus annuus) after Space Mutation
Hao Feng, Jun Yang, Dengfei Li
Key Laboratory of Southwest China Wildlife Resources Conservation, China West Normal University, Nanchong, China

Copyright © 2016 by authors and Scientific Research Publishing Inc.
This work is licensed under the Creative Commons Attribution International License (CC BY 4.0).
http://creativecommons.org/licenses/by/4.0/



Received: November 29, 2016; Accepted: December 13, 2016; Published: December 16, 2016
ABSTRACT
In this paper, we studied the morphological, histological and photosynthetic characteristics of the stably inherited sunflower petal-sepal mutant, and it was obtained by the space radiation-induced mutagenesis. Afterwards, we got following results: 1) The morphological characteristics represented that the inflorescence of petal-sepal mutant maintained the appearance and structure of capitulum, whereas no explicit tubular flower or ligulate flower was differentiated. 2) The histological characteristics revealed that the petal-sepal mutant only completed the inflorescence development and the differentiation of sepal primordia and inflorescence primordia, without entering the differentiation stage of tubular flower primordia, ligulate flower primordia, stamen primordia or pistil primordia. 3) The photosynthetic characteristics showed that the photosynthetic rate, transpiration and stomatal conductance of petal-sepal mutant were relatively weaker than the control plants. In the end, we concluded that the petal-sepal mutant of sunflower had only inflorescence differentiation, while several mutant genes were caused by radiation-induced mutation, which entered an infinitely recurrent development process rather than the floral differentiation stage. We also observed a few chloroplast structures in the paraffin section, combined with the results of photosynthetic characteristics of petal-sepal mutant, and then we believed that the inflorescence of petal-sepal mutant was involved in photosynthesis to accumulate energy for plant growth.
Keywords:
Space Mutation, Helianthus annuus, Petal-Sepal Mutant, Sunflower, Photosynthesis

1. Introduction
Helianthus annuus (Compositae) was originated in North America, not only the typical crop through insect-borne cross-pollination, but also the important oil crop and ornamental plant in the world. Because of its economic and ornamental value, an increasing number of experts paid close attention to it. Moreover, a large number of studies on the new variety breeding, physical signs and molecular genetics were carried out [1] [2] [3] .
Space mutation is a method that the carriers, such as satellite and manned spacecraft, carry the seed, tissue, organ or individual life into the astrospace to generate heritable variation. Currently, many experts around the world acquire lots of mutants of wheat, maize, rape, eggplant and so on using the method of space mutation [4] [5] [6] [7] . Those mutants have high research value. Moreover, the plant flowering genes are grouped into two categories: the gene related to bloom time and the gene related to meristem [8] . The former affects the time of plant flowering, and the latter affects the floral organogenesis. Plants accumulate energy through the photosynthesis, and thus their leaves play an important role in the process. So the other organs and tissues, which contain chlorophyll, can also accumulate energy through the photosynthesis. If the plants of same species accumulate the same amount of energy, their shapes would keep the same size. We studied the process of flower bud differentiation of sunflower petal- sepal mutant, and found the differentiation phase of its variation, and then analyzed the influence on photosynthetic capability of plant that caused by variation.
2. Materials and Methods
Initially, the sort of sunflower, which had many branches and short petal, was chosen in Mt. Guangwu, Sichuan Province, southwestern China. In 2002, 4.1g pure seeds of the sunflower (Helianthus annuus) were carried by “Shenzhou 4”, and then the deletion mutation strains of ligulate petals were chosen to cultivate. In 2004, the petal-sepal mutant was found in the inflorescence development process of SP3 generation. With the continuous cultivating, stable traits were obtained. In this experiment, we chosen the SP12 to cultivate in 2013, meanwhile the conventional fertilization, spraying and management were carried out.
Moreover, we prepared the experimental equipments: the Leica RM2135 rotary microtome and the OLYMPUS BX51 microscopic imaging system, and then we prepared the reagent: the carnoys fixative and the hematoxylin dye solution. The carnoys fixative was compounded of anhydrous alcohol and acetic acid by 3:1. The hematoxylin dye solution was made by following steps: 1) We dissolved 1 g hematoxylin with 10 ml anhydrous ethanol. 2) We dissolved 20 g potassium aluminum sulfate with 200 ml distilled water. 3) We mixed and boiled the both liquids, then added 0.5 g mercury oxide, with continuous heating and stirring, until solution presented modena, and cooled it rapidly to get the room temperature solution. 4) We filtered solution and then added 8 ml glacial acetic acid.
Finally, there were three aspects of this experiment that have to be addressed. The first aspect involved morphological characteristics. The petal-sepal mutant was regarded as the research object, and the sunflowers with normal ligulate petal and tubiform petal were regarded as the CK. According to the differentiation period of flower bud, we analyzed both of them contrastively by morphology. The second aspect related to histological characteristics. We immobilized the inflorescence of research object and CK respectively by carnoys fixative, and made them into the 9 μm thickness of conventional paraffin sections, and then stained them with hematoxylin. Afterwards, we observed and photographed them by the OLYMPUS BX51 microscopic imaging system, and analyzed them contrastively. The third aspect dealt with photosynthetic characteristics. The photosynthesis was measured by the Li-6400 portable photosynthesis system. We selected 6 plants and 6 CKs, whose shape and growth were almost the same, during the full-blossom period, and then measured the photosynthesis of them in proper climate conditions. The measured data were analyzed in the Microsoft Excel 2010.
We measured the photosynthesis of sunflowers leaves by the Li-6400 portable photosynthesis system for 3 days in August. From 8:30 to 19:30, the 4th to 6th functional leaves of the 6 plants and 6 CKs were measured by 1 times per hour, and every piece of leaf was repeatedly measured by 3 times, and then got the average of them. The measured parameters included: net photosynthetic rate (Pn), photosynthetic active radiation (PAR), transpiration rate (Tr), stomatal conductance (C) and intercellular CO2 (Ci). All these measured data were output automatically by the photosynthetic apparatus. We followed the method of reference, and calculated the water use efficiency (WUE), namely the ratio of photosynthetic rate to transpiration rate (Pn/Tr) [9] .
3. Results and Analysis
3.1. Analysis of Morphological Characteristics
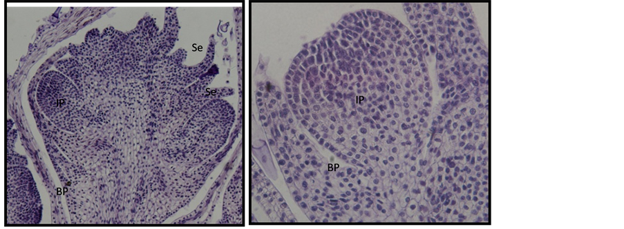
We selected the inflorescences of petal-sepal mutant and CK from the experimental field, and took them back to the laboratory after liquid nitrogen flash freezing. As shown in following figures, there was no significant difference between petal-sepal mutant and CK in the aspects of height, shape, foliage distribution and leaf traits (Figure 1(a); Figure 2(a)). However, in terms of the inflorescences, the inflorescence of CK was normal capitulum, and the outer petals were ligulate, and the inner petals were tubiform, and the inflorescence development was only once (Figure 1(b)). Although the inflorescence of petal-sepal mutant was capitulum, the outer petals were not ligulate, and the inner petals were not obvious tubiform, and the sepal development was centripetal (Figure 2(b)). In the anatomical structure of inflorescence, the CK had a whorl of ligulate petals and many whorls of tubiform petals (Figure 3), and its floret contained calyx, petal, stamen and pistil from outside to inside (Figure 4). The petal-sepal mutant had no ligulate petal, and its floret had many obvious sepals, but the petal, stamen and pistil of floret could not be distinguished (Figure 5; Figure 6).
3.2. Analysis of Histological Characteristics
We obtained the inflorescences of CK and petal-sepal mutant from the early stage to the mature period of development, and made them into the paraffin sections to observe, and magnified them 400,000 times by the OLYMPUS BX51 microscopic imaging

Figure 1.Inflorescence of CK ((a) The CK plant was in full bloom; (b) An inflorescence of CK).

Figure 2. Inflorescence of petal-sepal mutant (a) The petal-sepal mutant plant was in full bloom; (b) An inflorescence of petal-sepal mutant.
Figure 3. Anatomical structure of inflorescence of CK (An inflorescence and its anato- mical structure).
Figure 4. Floret of CK (A floret and its inner structure).
Figure 5. Anatomical structure of inflorescence of petal-sepal mutant (An inflorescence and its anatomical structure).
Figure 6. Floret of petal-sepal mutant (A floret and the inner structure of florets).
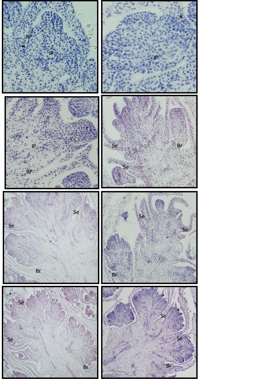
system, and then we found there were some similarities and differences of them. As shown in Figure 7, the flower-bud differentiation process of CK included the vegetative growth later stage, inflorescence primordium differentiation stage, involucres differen-
Figure 7. Inflorescence and floret characteristics of CK (IP: inflorescence primor- dium; BP: bract primordium; Se: sepal; St: stamen; Pi: pistil; Ov: ovary; Br: bract; Co: corolla; Sti: stigma; SaS: synantherous stamen; Fi: filament; Ovu: ovule; An: anther).
tiation earlier stage, involucres differentiation mid-stage and involucres differentiation later stage. The floret differentiation process of CK included the bract primordium differentiation stage, ligulate petal primordium differentiation stage, tubiform petal primordium differentiation stage, ligulate flower differentiation stage and tubiform flower differentiation stage. The tubiform flower contained calyx, petal, stamen, pistil and ovary. As shown in Figure 8, the inflorescence and flower-buddifferentiation of petal-sepal mutant represented normal differentiation during the vegetative growth later stage, inflorescence primordium differentiation stage and involucres primordium differentiation stage. In the differentiation stage of floret, the bract primordium and sepal differentiation showed normal differentiation. Afterwards, the differentiation repre- sented abnormally. The igulate petal primordium differentiation and tubiform petal primordium differentiation were not happened in every floret, but the inflorescence primordium differentiation and involucres primordium differentiation were happened again in the inner of sepals, and this happened over and over again. As a result, the floret enlarged gradually, and then had a multi-stage inflorescence (Figure 9). In the transverse anatomical structure of multi-stage inflorescence, we found that it had only sepals, without ligulate petal and tubiform petal (Figure 10).
3.3. Analysis of Photosynthetic Characteristics
3.3.1. Analysis of Photosynthetic Rate
As shown in Figure 11, the diurnal variation of photosynthetic rate of CK represented a bimodal curve during the day from 8:30 to 17:30, and the peak-values were 20.33 µmol m−2·s−1 at 11:30 am and 18.9 µmol·m−2·s−1 at 13:30 pm. The diurnal variation of photosynthetic rate of petal-sepal mutant showed a unimodal curve, and the peak-value was 14.27 µmol·m−2·s−1 at 13:30 pm. Therefore, the photosynthetic rate value of CK was relatively higher than that of petal-sepal mutant, and the time of peak-value of CK was different from that of petal-sepal mutant. But the time and tendency of valley-values of them were almost the same.
3.3.2. Analysis of Transpiration Rate
As shown in Figure 12, the transpiration rate value of CK began with 6.75 mmol· m−2·s−1 at 8:30, and rose to the first peak-value 14.57 mmol·m−2·s−1 at 13:30 pm, and the second peak-value was 15.63 mmol·m−2·s−1 at 15:30 pm, and then fell continually to the lowest value 2.09 mmol·m−2·s−1 at 19:30. Similarly, the transpiration rate value of petal-sepal mutant began with 4.45 mmol·m−2·s−1 at 8:30, and rose to the first peak-value 10.43 mmol·m−2·s−1 at 13:30 pm, and the second peak-value was 12.33 mmol·m−2·s−1 at 15:30 pm, and then fell continually to the lowest value 2.78 mmol·m−2·s−1 at 19:30. Therefore, the variation tendency of transpiration rate of CK was consistent with that of petal-sepal mutant, but the transpiration rate value of CK was always higher than that of petal-sepal mutant at each test time.
3.3.3. Analysis of Stomatal Conductance
As shown in Figure 13, the stomatal conductance value of CK had a wide fluctuation
Figure 8. Inflorescence and flower bud differentiation of petal-sepal mutant (IP: inflo- rescence primordial; BP: the bract primordium; Se: sepal; Br: bract).
Figure 9. Inflorescence redifferentiation of petal-sepal mutant (IP: inflorescence primordial; BP: the bract primordium; Se: sepal).
Figure 10. Transverse anatomical structure of inflores- cence of petal-sepal mutant (Se: sepal; Br: bract).
Figure 11. Diurnal variation curve of photosynthetic rate (T1 = CK; T2 = petal-sepal mutant).
Figure 12. Diurnal variation curve of transpiration rate (T1 = CK; T2 = petal-sepal mutant).
Figure 13. Diurnal variation curve of stomatal conductance (T1 = CK; T2 = petal-sepal mutant).
range. The value began with 0.47 mmol·m−2·s−1 at 8:30 am, and rose slowly to the first peak-value 0.59 mmol·m−2·s−1 at 13:30 pm, and the second peak-value was 0.54 mmol· m−2·s−1 at 15:30 pm, and then fell slowly. However, the stomatal conductance value of petal-sepal mutant had a narrow fluctuation range. The value began with 0.219 mmol· m−2·s−1 at 8:30 am, and rose slowly to the peak-value 0.325 mmol m−2·s−1 at 13:30 pm, and then fell slowly. Thus, the stomatal conductance value of CK was relatively higher than that of petal-sepal mutant before 16:30 pm.
3.3.4. Analysis of Water Use Rate
As shown in Figure 14, the water use rate of CK began with a relatively lower value, and rose fast to the peak-value 1.61 mmol·mol−1 at 9:30, and then fell slowly to the lowest value 0.17 mmol·mol−1 at 19:30. However, the water use rate of petal-sepal mutant began with 0.87 mmol·mol−1 at 8:30, and rose slowly to the first peak-value 1.55 mmol· mol−1 at 12:30, and the second peak-value was 1.41 mmol·mol−1 at 14:30, and then fell to the lowest value 0.16 mmol·mol−1 at 18:30. Therefore, the variation tendency of water use rate of petal-sepal mutant was different from that of CK, which showed repeatedly fluctuations.
3.3.5. Analysis of Intercellular CO2 Concentration
As shown in Figure 15, the intercellular CO2 concentration value of CK began with 332 mmol·mol−1 at 8:30, and fell to the valley-value 267 mmol mol−1 at 12:30, and then rose to the peak-value 399.7 mmol·mol−1 at 19:30. Similarly, the intercellular CO2 concentration value of petal-sepal mutant began with 316mmol mol−1 at 8:30, and fell to the valley-value 252 mmol mol−1 at 12:30, and then rose to the peak-value 387mmol mol−1 at 19:30. Therefore, the variation tendency of intercellular CO2 concentration of CK was consistent with that of petal-sepal mutant.
Figure 14. Diurnal variation curve of water use rate (T1 = CK; T2 = petal-sepal mutant).
Figure 15. Diurnal variation curve of intercellular CO2 concentration (T1 = CK; T2 = petal-sepal mutant).
4. Discussions
4.1. Discussion of Morphological Characteristics and Histological Characteristics
The differentiation and development of floral organ of angiosperms was an important symbol of plant growth turning to reproductive growth from vegetative growth. So the floral organ had complete structures, which was a crucial factor concerning whether the plant produced fruits. Provided that the angiosperm could not produce fruits normally, the characteristic of parental plant would not be inherited well. In the differentiation and development process of floral organ, the inflorescence development and floret development of CK were completed, and the entire floral organ was differentiated at last. However, the floral organ of petal-sepal mutant only completed the inflorescence development, without the floret development.
According to the ABCDE model of controlling floral organ development, the sepal was controlled by A + E genes, and the petal was controlled by A + B + E genes, and the stamen was controlled by B + C + E genes, and the carpel was controlled by C + E genes, and the ovule was controlled by D + E genes [10] . In the differentiation and development process of floral organ of petal-sepal mutant, we only found the sepals, without the petal, stamen, carpel and ovule. Thus, we believed that the petal-sepal mutant only had a type of A gene, while the types of B, C, D, E genes were absent or their expression mechanisms were hampered.
4.2. Discussion of Photosynthetic Characteristics
In 1997, Pouteau put forward that the floral organ development was associated with the flower induction signal generated by leaf, and the signal would fade away when the plant transferred to long-day condition from short-day condition [11] . The photosynthesis of plants could provide energy for their growth and development. The same plants had different characteristics, which caused the change of photosynthesis of plants. The chlorophyll content was related with the photosynthetic capacity of plant. Thus, the leaf mutant had different pigment content, which would have different photosynthetic characteristics. However, the induced mutation by radiation could cause the change of chlorophyll content and pigment type, which would be reflected in the change of photosynthesis of plant [12] .
4.2.1. Reasons for Changes of Photosynthetic Rate and Transpiration Rate
The diurnal variation of photosynthetic rate was caused by the synthetical factors both photosynthetic capacity and environmental condition, which was closely related to the diurnal variation of transpiration rate. In the experiment, we found that the photosynthetic rate and transpiration rate of CK were obviously higher than that of petal-sepal mutant, and the changes of tendency and range had a positive correlation between photosynthetic rate and transpiration rate. The analysis of morphological characteristics showed that there was no significant difference in the aspects of shape, height, growth and leaf position between CK and petal-sepal mutant, so they would accumulate the same amount of energy in their processes of growth. Therefore, the different inflorescences of CK and petal-sepal mutant might cause the differences of photosynthetic rate and transpiration rate of them. In the experiment, we also found the inflorescence of petal-sepal mutant showed green on the appearance, and there were chloroplasts in the anatomical structure of inflorescence. In 1989, Blanke pointed that some chlorophyll-containing and non-leaf tissues or organs, such as fruits, inflorescences, pods and episperm, also had the function of photosynthesis [13] . Plentiful energy for the plant was required in the vegetative growth stage. When we measured the photosynthetic rate of CK, the flowers were in full bloom, namely, the CK was in the middle and late stage of vegetative growth. So the CK needed to increase the Pn value during the growth period to acquire more energy, and then afforded enough energy for fruiting and seed- ripening [14] . We measured the photosynthetic rate of petal-sepal mutant, while the inflorescence was in the early development stage, namely, the petal-sepal mutant was in the early and middle stage of vegetative growth. Thus, the energy requirement of petal-sepal mutant was less than that of CK, and the photosynthetic rate and transpiration rate of petal-sepal mutant were relatively lower, which caused the photosynthesis of petal-sepal mutant was weaker than that of CK at the same time.
4.2.2. Reasons for Changes of Stomatal Conductance and Water Use Rate
The stomatal conductance reflected that a physiological index concerning the extent of stomatal opening and closing, which is the critical factor in the exchange of gas and water [15] . The stomatal conductance of CK was obviously higher than that of petal- sepal mutant from 8:30 am to 16:30 pm, which revealed that the stoma adjustment ability of CK was relatively stronger, and the response of CK to high temperature condition was relatively stronger, but the self-protection function of CK was weaker than that of petal-sepal mutant [16] . However, there was no significant difference of stomatal conductance between CK and petal-sepal mutant after 16:30 pm.
The water use rate reflected the ability of soil water use of plant, which was related to the environmental factors and hereditary character of plant [17] . Both water use rates of CK and petal-sepal mutant were high from 8:30 am to 16:30 pm, which was consistent with the change of sunlight intensity. There was a positive correlation between water use rate and stomatal conductance. However, the water use rate of CK fell slowly after 9:30am, and the water use rate of petal-sepal mutant showed repeatedly fluctuations, which might be related to the moisture content of soil around each plant.
4.2.3. Reasons for Changes of Intercellular CO2 Concentration
The intercellular CO2 concentration had an influence on photosynthesis [18] . When the stomata of plant was open, it could absorb CO2 to finish the photosynthesis. If the stomatal conductance was high, the intercellular CO2 concentration would be low, and it worked the other way as well. In the experiment, we found that the variation tendency of intercellular CO2 concentration of CK was consistent with that of petal-sepal mutant, which revealed that the differences of inflorescence structures between CK and petal-sepal mutant had no effect on the intercellular CO2 concentration.
5. Conclusion
There were some positive correlations between the photosynthetic rate and transpiration rate, and stomatal conductance, and water use rate. Every index value of photosynthetic characteristics of CK was relatively higher than that of petal-sepal mutant, which might be related to the inflorescence structure, spatial distribution of leaves and energy distribution [19] . Overall, the petal-sepal mutant of sunflower had only completed the inflorescence development in the differentiation and development process, but did not enter the floral differentiation stage, so the inflorescence appearance of the petal-sepal mutant showed some different characteristics. The photosynthesis of plants could accumulate energy for their growth and development. The energy requirement of plant was different in the different stages of inflorescence development, which had an influence on the change of photosynthetic capability.
Acknowledgements
The study is financed by the National Natural Science Foundation of China “long petals sunflower mutant lines related gene cloning and functional studies” (31171587).
Cite this paper
Feng, H., Yang, J. and Li, D.F. (2016) Study on Petal-Sepal Mutant of Sunflower (Helianthus annuus) after Space Mutation. American Journal of Plant Sciences, 7, 2843-2497. http://dx.doi.org/10.4236/ajps.2016.717216
References
- 1. Livaja, M., Steinemann, S. and Schon, C.C. (2016) Sunflower Polygalacturonase-Inhibiting Proteins (HaPGIP) Are Genetically Conserved in Cultivated Sunflower (Helianthus annuus L.) But Diverse in Wild Species. Molecular Breeding, 36, 1-19.
https://doi.org/10.1007/s11032-016-0444-4 - 2. Schwend, T., Beck, M., Prucker, D., Peisl, S. and Mempel, H. (2016) Test of a PAR Sensor-Based, Dynamic Regulation of LED Lighting in Greenhouse Cultivation of Helianthus annuus. European Journal of Horticultural Science, 81, 152-156.
https://doi.org/10.17660/eJHS.2016/81.3.3 - 3. Sun, R.F., Zhang, Y.F., Guo, C.S., Yu, H.F., Li, S.P., Nie, H., Qiao, H.L. and An, Y.L. (2015) Analysis on Transcriptome of Sunflower under Salt Stress Based on RNA-Seq Technology. Molecular Plant Breeding, 12, 2736-2742.
- 4. Wang, M.F., Yang, H.M., Yang, P., He, N., Wu, Z.Q., Li, W., Xu, F.X., Liu, J.P. and Lei, Z.S. (2011) Variation Analysis of Space Mutation in Winter Wheat Varieties. Acta Agriculturae Nucleatae Sinica, 5, 833-838.
- 5. Qiao, X., Shi, H.C., Ke, Y.P., Yuan, J.C. and Yu, X.J. (2012) Genetic Variation of Maize Mutants by Spaceflight Based on SSR Analysis. Journal of Maize Sciences, 3, 15-21.
- 6. He, J.J., Liu, F.Z., Chen, Y.H., Yang, W.C. and Lian, Y. (2010) Effect of Space Flight Mutation on Eggplant and Analysis of Genetic Diversity by SSR Molecular Marker. Acta Agriculturae Nucleatae Sinica, 3, 460-465, 489.
- 7. Wang, W.R., Sun, C.C., Jiang, M.Y., Li, Y.L., Yang, L.Y. and Zhou, X.R. (2015) Investigation of Agronomic Characters and Quality Analysis of Rapeseed Varieties (Brassica napus L.)by Space Mutation. Acta Agriculturae Nucleatae Sinica, 2, 215-220.
- 8. Hua, Z.M. (2000) Progress of Molecular Development Research in Rice. Chinese Journal of Rice Science, 14, 256-260.
- 9. Kramer, P.J. and Kozlowaki, T.T. (1979) Physiology of Woody Plants. Academic Press, London, 443-444.
- 10. Cong, N., Cheng, Z.J. and Wan, J.M. (2007) The ABCDE Model of Floral Organ Development. Chinese Agricultural Science Bulletin, 23, 124-128.
- 11. Pouteau, S., Nicholls, D., Tooke, F., and Battey, N. (1991) The Induction and Maintenance of Flowering in Impatiens. Development, 124, 3343-3351.
- 12. Wu, L.Q., Shen, S.Q. and Wang, R.F. (2007) The Diurnal Variation of Photosynthesis of a Xantha Mutant in Rice (Oryza sativa L.). Acta Agriculturae Nucleatae Sinica, 21, 425-429.
- 13. Blanke, M.N. and Lenz, F. (1989) Fruit Photosynthesis. P1ant, Cell & Environment, 12, 31-46.
https://doi.org/10.1111/j.1365-3040.1989.tb01914.x - 14. Zhou, Z.Q. and Zhu, X.T. (1998) Study on the Change of Photosynthetic Rate in Huamai 9 and E-Mai 12. Hubei Agricultural Sciences, 5, 15-17.
- 15. Liu, J.C., Zhong, Z.C. and He, Y.J. (2005) Studies on Photosynthetic Responses of Mahonia Fortunei in Chongqing Limestone Area. Journal of Southwest University, 30, 316-320.
- 16. Xu, H.F., Xu, K.Z. and Liu, X.T. (2004) Photosynthetic Characteristics of Sunflower and Its Responses to Ecological Factors. Rural Eco-Environment, 20, 20-23.
- 17. Xu, H.F., Xu, K.Z., Liu, X.T. and Zhang, Y. (2003) Temporal and Spatial Variations in Transpiration of Sunflower Leaves in Blooming Period and Its Correlation with Environmental Factors. Chinese Journal of Oil Crop Sciences, 25, 39-42, 47.
- 18. Zhang, X.C., Zhang, F.S., Yu, X.F. and Chen, X.P. (2010) Effects of Nitrogen on Photosynthetic Function of Wheat Leaves under High Atmospheric CO2 Concentration. Acta Agronomica Sinica, 36, 1362-1370.
https://doi.org/10.1016/S1875-2780(09)60069-9 - 19. Xu, H.F., Ma, Y.S., Xu, K.Z. and Wang, L. (2001) Effects of Magnetic Treatment of Seeds on Yield of Maize. Journal of Jilin Agricultural University, 23, 15-18.

















