Open Journal of Applied Sciences
Vol.08 No.12(2018), Article ID:89670,8 pages
10.4236/ojapps.2018.812050
Morphological Measurements of Knee Joints in Mongolian Population
Naranbat Lkhagvasuren1, Erdenebileg Avirmed1, Batsukh Ombogo1, Battulga Khaltar1, Zolbayar Baasanjav1, Otgonsaikhan Nomkhoidorj1, Munkhbaatar Dagvasumberel2, Puntsag Chultemsuren3, Avirmed Amgalanbaatar4, Munkhbayarlakh Sonomjamts5
1Department of Orthopeadic, School of Medicine, Mongolian National University of Medical Sciences, Ulaanbaatar, Mongolia
2Department of Radiology, School of Medicine, Mongolian National University of Medical Sciences, Ulaanbaatar, Mongolia
3Department of General Surgery, School of Medicine, Mongolian National University of Medical Sciences, Ulaanbaatar, Mongolia
4Department of Anatomy, School of Medicine, Mongolian National University of Medical Sciences, Ulaanbaatar, Mongolia
5Department of Physiology, School of Medicine, Mongolian National University of Medical Sciences, Ulaanbaatar, Mongolia

Copyright © 2018 by authors and Scientific Research Publishing Inc.
This work is licensed under the Creative Commons Attribution International License (CC BY 4.0).
http://creativecommons.org/licenses/by/4.0/



Received: December 10, 2018; Accepted: December 26, 2018; Published: December 29, 2018
ABSTRACT
Objective: This study was aimed to determine anthropometric measurements of knee joint among healthy Mongolian population and identify FML (Femur Medial Lateral), TML (Tibia Media Lateral), PML (Patella Medial Lateral), PAP (Patella Anterior Posterior), FAP (Femur Anterior Posterior) and TAP (Tibia Anterior Posterior). Methods: This cross-sectional study included 100 participants. We measured femoral, tibial and patellar dimensions using X-ray. Result: A total of 100 participants (44 male, 56 female participants) enrolled in this study. Age was ranged 20 - 59 and average age was 38 ± 9. Average FAP was 70.6 ± 1.22 mm in male and 66.9 ± 3.93 mm in female. Average TML in male was 85.6 ± 1.27 mm and 79.1 ± 0.8 mm in female. Average TAP was 60.1 ± 4.87 mm in male and 55.7 ± 4.96 in female. Average PAP was 22.5 ± 2.83 mm in male and 23.8 ± 2.43 mm in female. Average PML was 50.2 ± 1.45 mm in male and 46.8 ± 4.09 mm in female. Knee anthropometric measurements were statistically different in gender (P < 0.0002). Conclusion: Participants average FML was statistically lower than Asian and European people and FAP was statistically higher than them.
Keywords:
FAP, TML, TAP, PML, PAP, Osteoarthritis

1. Introduction
According to the WHO study in 1998-2015, the prevalence of Osteoarthritis (OA) is increasing 10% - 15% year by year. Related to OA, burden of musculoskeletal disability is increasing as well [1] .
In 1970, total knee joint arthroplasty guideline was created in USA. In that time, ligaments were kept and replace joint surface was developed. In 1974, first patellar replacement was introduced as well as joint surface replacing. After that, scientists developed the method of installing prosthesis with bone-cement and retaining anterior and posterior cruciate ligaments. In modern days, there are more than 19 companies which are producing 3 types of joint prosthesis [2] .
Yue Bing et al. studied about differences of knee anthropometry between Chinese and white men and women. The result of this study showed that anthropometric references of Chinese knee were generally smaller than white knees [3] .
However, another study showed that knee anthropometric references of Chinese, Thailand and Japanese people are similar [4] .
Yohei Kawahara et al. studied anthropometric measurements of femur and tibia among East Asian, Central Asian and white population. The study reported that FML of white and East Asian people was significantly lower. Even though, tibial surface of white people was greater than black people. They emphasized that patient-specific designed prosthesis based on individual anatomical reference can reduce the surgical complication, enhance the functional recovery and quality of life [5] .
Furthermore, knee replacement surgery has been increasing as well as its demands. Therefore, manufacturing companies are trying to produce knee prosthesis for such nationalities based on their knee anthropometric measurements.
2. Materials and Methods
2.1. Study Design and Sampling
In this cross-sectional study, randomly accessed 20 - 59 aged, 100 participants included. Participant involved the study between 2017-2018. Total number of participants identified by sample sizing theory.
We measured FML (Femur Medial Lateral), TML (Tibia Media Lateral), PML (Patella Medial Lateral), PAP (Patella Anterior Posterior), FAP (Femur Anterior Posterior) and TAP (Tibia Anterior Posterior). Lower extremities injuries, surgery, no history of injury, and congenital development defects were included in exclusion criteria.
Inclusion criteria-healthy adults.
2.2. Measurement Technic
We used Smart Digital Radiography from Korean Samsung brand for knee X-ray. Knee X-ray included 2 position of images which are anterior-posterior and lateral. Participant is supine on the table with the knee extended and ankle joint in contact with the table. X-ray detector was located in 60 cm distance from patella and perpendicularly reflected.
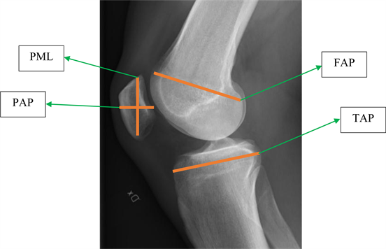
Totally, 14 dimensions measured and DICOM program used for measuring (dimensions demonstrated by mm) (Figure 1, Figure 2).
Figure 1. Dimensions of FML and TML X-ray (Femur medial lateral (FML) Tibia medial lateral (TML)).
Figure 2. Tibial and patellar dimensions’ X-ray (Femur anterior-posterior (FAP), tibia anterior-posterior (TAP), Patella medial lateral PML, Patella anterior-posterior (PAP)).
2.3. Statistical Analysis
All statistical analysis made with STATA 20 program. We’ve calculated arithmetic average and standard deviation with normal distribution. However, we calculated median, first and second quartile (P25, P75) with skewed distribution using overview statistic.
Independent t-test used for examine difference between men and women knee joint anthropometric measurements when normal distribution. When it has non-normal distribution, Wilcoxon rank-sum (Mann-Whitney) test used. P value is less than 0.05 is considered as statistically significant. Multiple linear regression was performed to examine the association of FML, FAP, TML, TAP and gender, age, height and BMI.
2.4. Ethical Statement
Ethical approval for this study was acquired from the Research Ethics Committee of the Mongolian National University of Medical Sciences on 23th October, 2016 with 16th order. Before data collection, the participants signed a written, informed consent.
3. Result
A total of 100 participants, 44 male, 56 female participants enrolled in this study. Age was ranged 20 - 59 and average age was 38 ± 9 (Table 1).
For male, average weight was 63 ± 13 kg, height was 168 ± 10 cm and average BMI was 22 ± 5.17 kg/m2. For female average weight was 65 ± 12 kg, height was 167 ± 10 cm and average BMI was 23 ± 5.3 kg/m2. Average FML was 62.6 ± 7.45 mm in male and 59.1 ± 5.79 mm in female participants. Average FAP was 70.6 ± 1.22 mm in male and 66.9 ± 3.93 mm in female. Average TML in male was 85.6 ± 1.27 mm and 79.1 ± 0.8 was in female. Average TAP was 60.1 ± 4.87 mm in male and 55.7 ± 4.96 in female. Average PAP was 22.5 ± 2.83 mm in male and 23.8 ± 2.43 mm in female. Average PML was 50.2 ± 1.45 in male and 46.8 ± 4.09 mm in female (Figure 3, Figure 4).
Independent t-test used for examine difference between male and female FML (P < 0.0096), FAP (P < 0.03), TML (P < 0.001), TAP (P < 0.0001) and it was statistically significant. Moreover, knee anthropometric measurements were statistically correlated with height.
Knee anthropometric measurements were statistically different in gender (P < 0.0002).
Wilcoxon rank-sum (Mann-Whitney) test used to identify average patellar
Table 1. Measurements of FML and FAP.
†Independent t-test, ‡Wilcoxon rank-sum (Mann-Whitney) test, Femur medial lateral (FML), femur anterior-posterior (FAP), tibia medial lateral (TML), tibia anterior-posterior (TAP), patella medial lateral (PML), patella anterior-posterior (PAP).
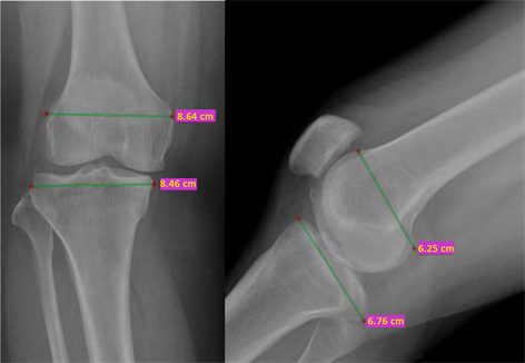
Figure 3. Anterior-posterior and lateral image of knee joint X-ray (FML-86.4 mm, TML-84.6 mm, FAP-62.5 mm, TAP-67.6 mm).
Figure 4. Lateral image of patellar X-ray (PML-44 mm, PAP-24.5 mm).
dimensions of male and female participants. As a result of the measurements, there was statistically significant difference in male and female patella (P < 0.002).
4. Discussion
In worldwide, the average life expectancy is increasing. Related with high life expectancy, obesity and lack of exercise are increasing as well. Moreover, it results enhancing of knee joint diseases. Therefore, case of total knee arthroplasty is rising. Thus, manufacturing companies need to produce knee prosthesis with specific morphologic for every nationality. In 1970, knee prosthesis produced in USA based on Western Europe anthropometric reference. However, Asia, specifically, Eastern Asian people need to have specific knee prosthesis due to high incidence of knee joint disease [6] .
Fitted or adjusted knee prosthesis with bone for individual and long term stability is significant for successful knee arthroplasty. In order to improve the efficacy of surgery, manufacturing companies advocated to produce knee prosthesis or implants for countries in worldwide and nationalities’ anatomical feature [7] .
Researchers Hussain and Fitdriyah Kadir et al. studied FML and FAP among 100 Malaysian people. Malaysian male FML was 74.1 ± 3.52 mm and female FML was 64.2 ± 3.74 mm. However, Mongolian male FML was 62.6 ± 7.45 and female FML was 59.1 ± 5.79 mm and it was statistically significant [8] (P < 0.009).
Korean researchers Ha, CW Na et al. studied FML and FAP among 100 Korean people. As a result of study, Korean male FML was 74.8 ± 1.52 mm and female was 68.2 ± 1.24 mm. In the other hand, Mongolian male FML was 62.6 ± 7.45 and female FML was 59.1 ± 5.79 mm and it was statistically significant.
Moreover, Korean male FAP was 66.3 ± 8.14 mm and female FAP was 60.8 ± 3.41 mm. Mongolian average male FAP was 70.6 ± 1.22 and female FAP was 66.9 ± 3.93 mm and it was statistically significant [9] (P < 0.01).
Chaichankul and Pibul measured Thailand people’s FAP and FML. As a result of this measurement, Thailand male FML was 71.5 ± 3.73 mm and female FML was 59.4 ± 3.74 mm and it was statistically significant [5] (P < 0.001).
In order to find appropriate size of knee prosthesis, normal knee anthropometric measurements need to be strongly considered. 3D CT scan used for measuring femoral and tibial dimensions [10] (Table 2).
Mahmoud A and Hafez identified FML and FAP of Arabian people. Furthermore, Arabian male FML was 78.6 ± 7.51 mm, and female FML was 75.8 ± 5.41 mm. However, Mongolian male FML was 62.6 ± 7.45 and female FML was 59.1
Table 2. Comparisons of FML and FAP (mm).
± 5.79 mm.
Moreover, Arabian male FAP was 78.3 ± 4.63 mm but in our study, Mongolian male FAP was 70.6 ± 1.22 mm and it was statistically lower than Arabian people. However, there was statistic difference between Arabian female FAP 67.8 ± 4.91 mm and Mongolian female FAP 66.9 ± 3.93 mm.
Reducing or cutting knee prosthesis and adjusting with surface size is decreasing the complication and enhancing the quality of life. Not appropriate size of knee prosthesis such as oversized or small size makes instability, constant pain and raises the surgical complications [11] .
Therefore, identifying knee joint anthropometric measurements of countries and nationalities is one of the major issues of manufacturing companies. Moreover, it will be beneficial for both health care and financial.
As a result of our study, Mongolian people knee joint, specifically, FML and FAP was statistically and significantly different than Asian and European people. Also, Asian average FAP was statistically greater.
Our study has following limitations. First, we used 2D dimensions related to financial situation and other issues which are save time and have less pain and stress for the participants. Second, our sample size was small which cannot represent whole nationality.
However, we aimed to continue our study in future. We will use 3D dimensions with help of MRI and cover more participants which can represents nationality.
5. Conclusions
1) Participants’ average FML was statistically lower than Asian and European people and FAP was statistically higher than them.
2) Participants’ average FML in male was 62.6 ± 7.45 mm, in female was 59.1 ± 5.97 mm and average FAP in male was 70.6 ± 1.22 mm and in female was 66.9 ± 3.93 mm.
3) Participants’ average TML in male was 85.6 ± 1.27 mm, in female was 79.1 ± 0.8 mm and average TAP in male was 60.1 ± 4.87 mm and in female was 55.7 ± 4.96 mm.
4) Participants’ average PML in male was 50.2 ± 1.45 mm, in female was 46.8 ± 4.08 mm and average PAP in male was 22.5 ± 2.83 mm and in female was 23.8 ± 2.43 mm.
Conflicts of Interest
The authors declare no conflicts of interest regarding the publication of this paper.
Cite this paper
Lkhagvasuren, N., Avirmed, E., Ombogo, B., Khaltar, B., Baasanjav, Z., Nomkhoidorj, O., Dagvasumberel, M., Chultemsuren, P., Amgalanbaatar, A. and Sonomjamts, M. (2018) Morphological Measurements of Knee Joints in Mongolian Population. Open Journal of Applied Sciences, 8, 619-626. https://doi.org/10.4236/ojapps.2018.812050
References
- 1. Kim, T., Phillips, M., Bhandari, M., Watson, J. and Malhotra, R. (2017) What Differences in Morphologic Features of the Knee Exist among Patients of Various Races? A Systematic Review. Clinical Orthopaedics and Related Research, 475, 170-182. https://doi.org/10.1007/s11999-016-5097-4
- 2. Karade, V. and Ravi, B. (2014) Analysis on Anatomical References to Assess the Coronal Alignment of Tibial and Femoral Cuts in Mega Prosthetic Knee Replacement. Journal of Orthopaedics and Traumatology, 15, 87-93. https://doi.org/10.1007/s10195-013-0277-4
- 3. Yue, B., Varadarajan, K.M., Ai, S., Tang, T., Rubash, H.E. and Li, G. (2011) Differences of Knee Anthropometry between Chinese and White Men and Women. The Journal of Arthroplasty, 26, 124-130. https://doi.org/10.1016/j.arth.2009.11.020
- 4. Chaichankul, C., Tanavalee, A. and Itiravivong, P. (2011) Anthropometric Measurements of Knee Joints in Thai Population: Correlation to the Sizing of Current Knee Prostheses. The Knee, 18, 5-10. https://doi.org/10.1016/j.knee.2009.12.005
- 5. Haruta, Y., Kawahara, S., Tsuchimochi, K., Hamasaki, A. and Hara, T. (2018) Deviation of Femoral Intramedullary Alignment Rod Influences Coronal and Sagittal Alignment during Total Knee Arthroplasty. The Knee, 25, 644-659. https://doi.org/10.1016/j.knee.2018.04.011
- 6. Loures, F.B., Góes, R.Fd.A., Palma, I.Md., Labronici, P.J., Granjeiro, J.M. and Olej, B. (2016) Anthropometric Study of the Knee and Its Correlation with the Size of Three Implants Available for Arthroplasty. Revista brasileira de ortopedia, 51, 282-289. https://doi.org/10.1016/j.rbo.2015.07.003
- 7. Neander, I. (2018) Jürgen von Hehn und Csaba János Kenez (Hrsg.): Reval und die baltischen Länder. Zeitschrift für Ostforschung, 30, 589-593.
- 8. Hussain, F., Kadir, A., Rafiq, M., et al. (2013) Anthropometric Measurements of the Human Distal Femur: A Study of the Adult Malay Population. BioMed Research International, 2013, Article ID: 175056. https://doi.org/10.1155/2013/175056
- 9. Ha, C. and Na, S. (2012) The Correctness of Fit of Current Total Knee Prostheses Compared with Intra-Operative Anthropometric Measurements in Korean Knees. The Journal of Bone and Joint Surgery British Volume, 94, 638-641. https://doi.org/10.1302/0301-620X.94B5.28824
- 10. Zhang, Y., Xu, J., Ruan, Y.C., et al. (2016) Implant-Derived Magnesium Induces Local Neuronal Production of CGRP to Improve Bone-Fracture Healing in Rats. Nature Medicine, 22, 1160. https://doi.org/10.1038/nm.4162
- 11. Nanci, A. (2017) Ten Cate’s Oral Histology-E-Book: Development, Structure, and Function. Elsevier Health Sciences, Amsterdam.






