International Journal of Clinical Medicine
Vol.07 No.03(2016), Article ID:65043,5 pages
10.4236/ijcm.2016.73024
Common Complication in an Uncommon Disease: Presence of Aortic Regurgitation in Patient with Quadricuspid Aortic Valve
Adikesava Naidu Otikunta, Y. V. Subba Reddy, Praneeth Polamuri, Ravi Srinivas
Department of Cardiology, Osmania General Hospital, Hyderabad, India

Copyright © 2016 by authors and Scientific Research Publishing Inc.
This work is licensed under the Creative Commons Attribution International License (CC BY).
http://creativecommons.org/licenses/by/4.0/



Received 21 January 2016; accepted 25 March 2016; published 28 March 2016
ABSTRACT
Background: Congenital heart defect exists from birth but is usually detected in a later stage of life, as in case of quadricuspid aortic valve. A great majority of quadricuspid aortic valves do not have a normal function and often necessitate surgical treatment. Aim: To report a case with quadricuspid aortic valve accompanied with complications. Case Presentation: We present a case of a male detected with quadricuspid aortic valve of four equal sized cusps accompanied by abnormalities, yet managed successfully under conservative treatment. Conclusion: Patients with a quadricuspid aortic valve require careful clinical evaluation and close follow up.
Keywords:
Aortic Valve, Congenital Heart Defect, Echocardiography

1. Introduction
Approximately 8 to 10 people in 1000 are born with a congenital heart defect (CHD) [1] . One of the CHD is abnormality in aortic valve. The most common aortic valve abnormality is bicuspid aortic valve, affecting 1.3% of the world population [2] . The subsequent most recurrent abnormality is the unicuspid aortic valve [3] . Quadricuspid aortic valve (QAV) is the rarest of three. The reported prevalence of QAV ranges between 0.008% and 0.043% [4] [5] .
The QAVs are further classified into various types. Hurwitz and Roberts formerly classified the QAV into seven types (A-G) on the basis of the relative size of the four cusps [6] . However, the seven-type classification system was challenging in surgical and echocardiographic point of view and lacked close correspondence to patient management. This resulted into simplification of classification of QAV into four types. The sub-types of QAV are: Type I―valve with four equal cusps; Type II―valve with three larger cusps and one small accessory cusp; Type III―valve with two larger cusps and two small accessory cusps; Type IV―valves with other variations in leaflet size distribution [7] .
QAV commonly appears as an isolated congenital anomaly, but may also be associated with other malformations, including patent ductus arteriosus, ventricular septal defect, pulmonary valve stenosis, mitral valve (MV) malformation, left ventricular outflow tract obstruction, coronary artery anomalies, hypertrophic cardiomyopathy, MV prolapse and congenital atrioventricular block [8] . Occasionally, QAV is also diagnosed along with subaortic fibromuscolare stenosis, hypoplasia of anterior mitral leaflet, cusps perforation, and supraventricular arrhythmias [9] . We present a case of QAV with moderate aortic regurgitation (AR) and left ventricular hypertrophy without ventricular dysfunction, managed conservatively and is followed up since 3 years without any further complications.
2. Case Report
A 42-year-old male obtained medical attention with cardiac murmur. On examination he had high volume pulse, bisferiens in character. Bisferiens pulse is one of the characteristic features of AR. His blood pressure was 140/60 mmHg in both upper limbs and 170/60 mmHg in both lower limbs with few other signs of aortic run off. The first step in the clinical diagnosis is the physical examination, which revealed a hyperdynamic apical impulse best felt in left 6th intercostal space. This indicates ventricular dilatation due to volume overload. There was a long high frequency early diastolic murmur in the left 2nd intercostal space. This suggests regurgitation of semilunar valve.
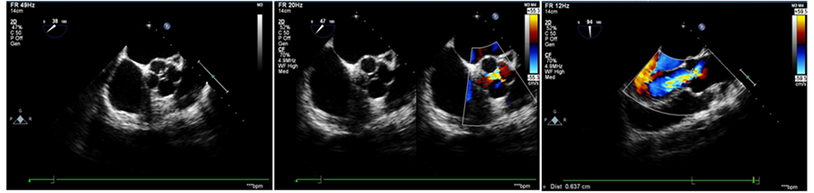
Electrocardiogram showed sinus rhythm with left ventricular hypertrophy by voltage criteria (Figure 1). Two-dimensional (2D) echocardiography showed enlarged left ventricle and established the diagnosis of quadricuspid aortic valve. Short axis image showed aortic valve with four thin cusps of equal size with thickened tips. The cusps formed cruciate closure line in diastole and rectangular shape in systole. Colour Doppler revealed eccentric regurgitant jet occupying more than 50% of left ventricular outflow tract and extending up to the head of papillary muscle. Figure 2 depicts transthoracic color Doppler echocardiography showing QAV with moderate aortic regurgitation. The regurgitant volume was 53 ml/beat, regurgitant fraction was 38%, and regurgitant orifice area was 0.18 cm2. As per recommendations of ACC/AHA, this accounts for the presence of moderate form of aortic regurgitation [10] . The aortic root was not enlarged. Other valves and chambers demonstrated no structural changes and were normal. A computed tomography (CT) chest scan was then requested for better visualization of the aortic valve, which also depicted the presence of quadricuspid aortic valve with four equal sized cusps (Figure 3).
Thus, a diagnosis of quadricuspid aortic valve with aortic regurgitation and left ventricular hypertrophy with normal function was confirmed. The patient was managed conservatively with Enalapril (5 mg twice daily) and was advised serial echocardiograms as per ACC/AHA recommendations. On follow up since 3 years, patient is hemodyanamically stable with no worsening of echocardiographic parameters.
Figure 1. Electrocardiogram showing sinus rhythm with left ventricular hypertrophy by voltage criteria.
Figure 2. Transthoracic color Doppler echocardiograph showing quadricuspid aortic valve with moderate aortic regurgitation (regurgitant volume: 53 ml/beat).
Figure 3. Computed tomography scan showing four equal size cusps of aortic valve.
3. Discussion
Previously there was a drastic variability in the reported incidences of QAV. Some of the studies underestimated the prevalence of QAV whereas some overlooked it [11] . This was probably due to lack of availability of proper diagnostic tools to confirm the occurrence of QAV. Most cases were discovered sporadically during autopsy (0.008%), echocardiography(0.043%), angiography, or aortic valve surgery (1%) [12] . At certain circumstances, detection of aortic valve abnormality may be misguided on depending upon only one type of diagnostic tool. This was illustrated by Gulyasy et al. [13] , who encountered a patient with cardiac murmur through echocardiography and evaluated presence of bicuspid aortic valve with aortic regurgitation. But on further evaluation with CT scan, presence of QAV was identified. Moreover, it was also observed that though the echocardiographic images imply cusps of similar size, cusps of unequal size may be revealed at surgery [14] . Thus, proper detection with care is essential in diagnosis of CHD.
In our patient the clinical findings and various echocardiographic parameters didn’t correlate completely. The sensitivity and specificity of echocardiography for detection of severity of AR is 91%. The various methods do not accurately assess the severity in the presence of eccentric jets. Cardiac MRI or cardiac catheterization may sometimes be needed when there is discrepancy in findings and more importantly when the decision to surgery is being made.
The AR is an outcome of disease of either the aortic leaflets or the aortic root that deforms the leaflets and prohibits their proper apposition. Typical causes of leaflet abnormalities that lead to AR involve senile leaflet calcifications, bicuspid aortic valve, infective endocarditis, and rheumatic fever [15] . Various notions have been anticipated for the cause of AR in patients with QAV. Irregular sizes of leaflets lead to turbulence in the flow through the valve, resulting into improper coaptation of leaflets and production of unusual shear stress leading to fibrosis [14] . However, AR is frequently associated with leaflets of unequal size and the risk is minimal for four leaflets of equal size [16] .
It has been stated that 77% of the cases with equal sized quadricuspid leaflets are detected with the presence of aortic regurgitation [12] , as such 66% of whom presented severe, 8% moderate and 8% mild aortic regurgitation, and 13% had regurgitation and aortic stenosis [8] . In present case, QAV is constituted of four equal size cusps, but associated with moderate AR and left ventricular hypertrophy. Echocardiography and CT scan were used for making the diagnosis. The patient is managed conservatively, without the need of surgery. In the 3 years of follow up, the patient is stable without significant change of echocardiographic parameters. A similar case was reported in which an elderly male with four equal sized cusps with moderate AR, as in our study, was managed under medical therapy [17] . Another case was stated by D’Aloia et al. [9] , in which presence of a smaller hypoplasic cusp lead to abnormal leaflet coaptation and mild aortic root dilatation, resulting into worsening of AR. The patient was successfully managed with a cardiac surgery of aortic valve replacement. Aortic valve replacement is the explicit treatment for patients with QAV and severe AR [4] . Since the patient in present case was asymptomatic, had moderate AR and no left ventricular dysfunction, he was successfully managed conservatively. All patients with QAV entail careful clinical evaluation and close follow-up to manage them aptly.
4. Conclusion
This is a rare presentation of quadricuspid aortic valve with moderate aortic regurgitation, without left ventricular dysfunction being managed conservatively with close clinical follow up.
Cite this paper
Adikesava Naidu Otikunta,Y. V. Subba Reddy,Praneeth Polamuri,Ravi Srinivas, (2016) Common Complication in an Uncommon Disease: Presence of Aortic Regurgitation in Patient with Quadricuspid Aortic Valve. International Journal of Clinical Medicine,07,231-235. doi: 10.4236/ijcm.2016.73024
References
- 1. Ginghinã, C., Aschie, D., Calin, A., Popescu, B., Calin, C. and Stoian, F., et al. (2012) Aortic Regurgitation Due to Quadricuspid Aortic Valve-Case Report and Literature Review. Chirurgia, 107, 260-264.
- 2. Acar, E., Sahin, T., Yilmaz, I. and Celikyurt, U. (2011) Quadricuspid Aortic Valve Visualized by Three-Dimensional Transthoracic Echocardiography. Case Reports in Cardiology, 2011.
- 3. Zoghbi, W.A., Enriquez-Sarano, M., Foster, E., Grayburn, P.A., Kraft, C.D., Levine, R.A., et al. (2003) Recommendations for Evaluation of the Severity of Native Valvular Regurgitation with Two-Dimensional and Doppler Echocardiography. Journal of the American Society of Echocardiography, 16, 777-802.
http://dx.doi.org/10.1016/S0894-7317(03)00335-3 - 4. Yotsumoto, G., Iguro, Y., Kinjo, T., Matsumoto, H., Masuda, H. and Sakata, R. (2003) Congenital Quadricuspid Aortic Valve: Report of Nine Surgical Cases. Annals of Thoraacic and Cardiovascular Surgery, 9, 134-137.
- 5. Gulyasy, B., López-Candales, A., Reis, S.E. and Levitsky, S. (2009) Quadricuspid Aortic Valve: An Unusual Echocardiographic Finding and a Review of the Literature. International Journal of Cardiology, 132, e68-e71.
http://dx.doi.org/10.1016/j.ijcard.2007.08.023 - 6. Malviya, A., Jha, P.K., Mishra, J., Srivastava, P. and, Mishra, A. (2015) Quadricuspid Aortic Valve—A Case Report and Literature Review. The Egyptian Heart Journal.
http://dx.doi.org/10.1016/j.ehj.2015.09.003 - 7. Timperley, J., Milner, R., Marshall, A.J. and Gilbert, T.J. (2002) Quadricuspid Aortic Valves. Clinical Cardiology, 25, 548-552.
http://dx.doi.org/10.1002/clc.4950251203 - 8. Nishimura, R.A., Otto, C.M., Bonow, R.O., Carabello, B.A., Erwin, J.P., Guyton, R.A., et al. (2014) 2014 AHA/ACC Guideline for the Management of Patients with Valvular Heart Disease: Executive Summary: A Report of the American College of Cardiology/American Heart Association Task Force on Practice Guidelines. Journal of the American College of Cardiology, 63, 2438-2488.
http://dx.doi.org/10.1016/j.jacc.2014.02.537 - 9. D’Aloia, A., Vizzardi, E., Bugatti, S., Chiari, E., Repossini, A., Muneretto, C., et al. (2009) A Quadricuspid Aortic valve Associated with Severe Aortic Regurgitation and Left Ventricular Systolic Dysfunction. European Journal of Echocardiography, 10, 724-725.
http://dx.doi.org/10.1093/ejechocard/jep057 - 10. Gouveia, S., Martins, J.D.F., Costa, G., Paramés, F., Freitas, I., Rebelo, M., et al. (2011) Quadricuspid Aortic Valve— 10-Year Case Series and Literature Review. Revista Portuguesa de Cardiologia (English Edition), 30, 849-854.
http://dx.doi.org/10.1016/j.repce.2011.10.003 - 11. Jagannath, A.D., Johri, A.M., Liberthson, R., Larobina, M., Passeri, J., Tighe, D., et al. (2011) Quadricuspid Aortic Valve: A Report of 12 Cases and a Review of the Literature. Echocardiography, 28, 1035-1040.
http://dx.doi.org/10.1111/j.1540-8175.2011.01477.x - 12. Hurwitz, L.E. and Roberts, W.C. (1973) Quadricuspid Semilunar Valve. The American Journal of Cardiology, 31, 623-626.
http://dx.doi.org/10.1016/0002-9149(73)90332-9 - 13. Bakirci, E.M., Arslan, S., Degirmenci, H. and Sevimli, S. (2012) A Quadricuspid Aortic Valve Causing Moderate Aortic Regurgitation. Clinical Cardiology, 19, 632-634.
http://dx.doi.org/10.5603/CJ.2012.0116 - 14. Tai, J.M., Laghari, A.H. and Gill, C.T. (2013) Quadricuspid Aortic Valve with Aortic Regurgitation: A Rare Echocardiographic Finding. BMJ Case Reports, 2013, bcr2012006639.
http://dx.doi.org/10.1136/bcr-2012-006639 - 15. Falcone, M.W., Roberts, W.C., Morrow, A.G. and Perloff, J.K. (1971) Congenital Aortic Stenosis Resulting from a Unicommissural Valve Clinical and Anatomic Features in Twenty-One Adult Patients. Circulation, 44, 272-280.
http://dx.doi.org/10.1161/01.CIR.44.2.272 - 16. Verma, S. and Siu, S.C. (2014) Aortic Dilatation in Patients with Bicuspid Aortic Valve. The New England Journal of Medicine, 370, 1920-1929.
http://dx.doi.org/10.1056/NEJMra1207059 - 17. Saxena, A. (2005) Congenital Heart Disease in India: A Status Report. Indian Journal of Pediatrics, 72, 595-598.
http://dx.doi.org/10.1007/BF02724185




