Open Access Library Journal
Vol.02 No.05(2015), Article ID:68402,7 pages
10.4236/oalib.1101557
Liver Abscess Secondary to Asymptomatic Sigmoid Diverticulitis: Case Report and Literature Review
Padmavathi Mali, Sudheer R. Muduganti
Department of Internal Medicine, Marshfield Clinic, Marshfield, USA
Email: mali.padmavathi@marshfieldclinic.org
Copyright © 2015 by authors and OALib.
This work is licensed under the Creative Commons Attribution International License (CC BY).
http://creativecommons.org/licenses/by/4.0/


Received 30 April 2015; accepted 17 May 2015; published 26 May 2015
ABSTRACT
Pyogenic liver abscess commonly occurs as a complication of biliary tract and gastrointestinal infections, with diverticulitis and perforated bowel becoming leading causes in recent years. We report the first case of liver abscess as a complication of asymptomatic diverticulitis with no bacteremia, as well as colovesical fistula. And, with this case presentation, we stress the importance of considering diverticulitis in asymptomatic patients with liver abscess, as well as the importance of early and prompt treatment with antibiotics and percutaneous drainage.
Keywords:
Colovesical Fistula, Liver Abscess, Pyogenic, Sigmoid Diverticulitis
Subject Areas: Internal Medicine

1. Background
Pyogenic liver abscess (PLA) is a life threatening condition, and early recognition and treatment with antibiotics is important, along with percutaneous drainage, to prevent mortality. PLA is usually polymicrobial, and accounts for 48% of all visceral abscesses [1] [2] . Biliary tract infections were the most common etiology for PLA, but in recent years this has shifted toward gastrointestinal etiologies like diverticulitis and perforated bowel.
There have been case reports associating liver abscess and sigmoid diverticulitis, but they are rare in occurrence [3] - [5] . There are also cases reporting bacteremia from diverticulitis, asymptomatic diverticulitis, and the presence of colovesical fistula causing the liver abscess [2] [6] , but our case is the first of asymptomatic diverticulitis with no bacteremia and colovesical fistula associated with liver abscess. Even though the patient was asymptomatic, the presence of the colovesical fistula made us suspect that he could have diverticulitis eroding the urinary bladder causing the fistula. This was confirmed by computed tomography (CT) scan, and later with magnetic resonance imaging (MRI) and colonoscopy.
2. Case Report
A Caucasian male, age 59 years, with a history of hypothyroidism, and recently diagnosed with portal vein thrombosis from Factor 8 elevation, was admitted because of an abnormal CT scan of the abdomen and pelvis, done as part of workup for hematuria and urinary tract infection. The patient had not felt well for 3 months, having problems with fatigue, fever with chills, loss of appetite, and weight loss. Two months prior, he had been evaluated for ventral hernia, with the CT scan revealing multiple liver lesions consistent with metastasis, some measuring up to 4.7 cm in dimension. Further evaluation of these lesions with ultrasound and MRI of the abdomen showed no evidence of metastasis, but confirmed significant portal vein thrombosis in the right and left portal venous system.
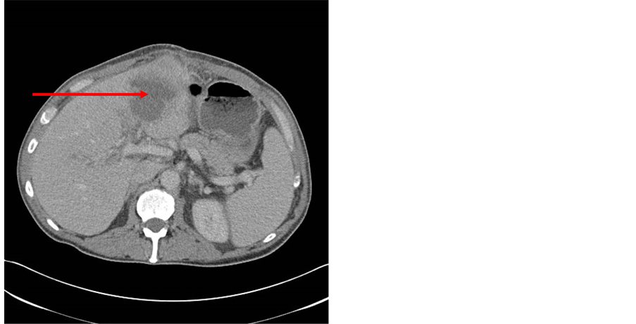
The workup for hypercoagulable state showed elevated Factor 8, which was thought the cause for the portal vein thrombosis, and he was started on Coumadin. While on Coumadin, he started having hematuria. As part of the workup for hematuria, a CT scan showed a large lobulated cystic structure within the lateral segment of the left lobe of the liver measuring 4.8 × 4.6 × 4.7 cm with a rim of surrounding edema in the left lobe, suggestive of hepatic abscess (Figure 1(a)). Thickening of the sigmoid colon wall and urinary bladder thickening adjacent to the inflamed sigmoid colon was also demonstrated, as well as a lobular collection filled with stool, air, and fluid along the posterior margin of the sigmoid colon. This was thought to be a large inflamed diverticulum (Figure 1(a)). The CT scan also showed air in the antidependent portion of the urinary bladder, suggestive of a fistula between the urinary bladder and sigmoid colon, suspicious for cancer of the sigmoid colon eroding into the urinary bladder, causing the fistula. For these reasons, the patient was admitted to the hospital.
Upon admission, his vital signs included blood pressure 155/86 mmHg, pulse rate 122 bpm, temperature 99.3˚F, and oxygen saturation 99% on room air. He denied abdominal pain, although on palpation he had mild tenderness of the right lower quadrant. Laboratory workup s showed white blood cell (WBC) count of 10.6 × 1000/µL, haemoglobin 9.7 g/dL, hematocrit 30.8%, platelets 444 u/L, sodium of 131 mmol/L (normal 135 - 145), blood urea nitrogen (BUN) 13 mg/dL, and creatinine 0.7 mg/dL. Blood cultures were negative. Urinalysis

Figure 1. (a) Showing liver abscess (arrow) Abdominal/pelvis region computed tomography scan image showing large lobulated cystic structure within the lateral segment of the left lobe of the liver measuring 4.8 × 4.6 × 4.7 cm with a rim of surrounding edema in the left lobe, suggestive of hepatic abscess, and (b) Showing sigmoid diverticulitis (arrow). Thickening of the sigmoid colon wall and urinary bladder thickening adjacent to the inflamed sigmoid colon was also demonstrated, as well as a lobular collection filled with stool, air, and fluid along the posterior margin of the sigmoid colon. This was thought to be a large inflamed diverticulum.
showed 3+ esterase and was positive for nitrates. Urine cultures grew Escherichia coli, which most likely was contamination from the underlying colovesical fistula. Colonoscopy revealed no cancer but did show diverticulitis.
He was started on intravenous fluids, and his sodium improved to 136 mmol/L; BUN decreased to 8 mg/dL; and creatinine remained at 0.7 mg/dL. He had a percutaneous drain placed after aspiration of the liver abscess. He received intravenous ciprofloxacin and metronidazole, and subsequently the cultures from the abscess fluid grew fusobacterium. He received 2 weeks of intravenous antibiotics in the hospital. He became afebrile and his WBC decreased to 4.1 × 1000/µL. He was discharged with 10 days of oral antibiotics and scheduled for outpatient surgical repair of the sigmoid diverticulitis and colovesical fistula. His anticoagulation was held in anticipation of surgery.
Approximately 2 months after discharge, the patient underwent sigmoid colectomy, takedown and curettage of the colovesical fistula, explant of abdominal wall mesh, and primary closure of an abdominal wall hernia defect, as he also had recurrent ventral hernia. He received packed red blood cell transfusion after the surgery, and was discharged in stable condition. A repeat sonogram as an outpatient showed a collapsed left hepatic abscess and a region of decreased echogenicity measuring 2.2 × 1.1 cm (transverse by antero-posterior) compared to 4.8 × 4.6 × 4.7 cm when he was initially admitted to the hospital.
The patient recovered, and 2 months after surgery was able to carry on pre-disease performance without any restrictions. He completed 6 months of anticoagulation, after which Coumadin was discontinued. Repeat antiphospholipid level was negative after 6 months. The portal vein thrombosis was therefore thought to have been due to the intra-abdominal pathology, rather than a hypercoagulable state.
3. Discussion
There are three types of liver abscesses: pyogenic, amebic, and fungal. Pyogenic liver abscesses (PLA), like that diagnosed in our patient, are the most common and are mostly polymicrobial. They account for 48% of visceral abscesses and 13% of intra-abdominal abscesses [1] and are common in Western countries. Amebic and fungal liver abscesses are more common in Asia and Africa. Over the past few decades, the cause of liver abscesses has shifted from appendicitis to biliary and gastrointestinal tract etiology. Mortality has been reduced due to early diagnosis and prompt treatment with antibiotics and drainage.
Our patient had presented with signs of liver abscess like fever, chills but has not had abdominal pain or severe abdominal tenderness. The finding of colovesical fistula on CT scan made us suspect that perforated sigmoid diverticulitis might have eroded into the urinary bladder. Also, the fluid from the abscess grew Fusobacterium, which is an anaerobic, gram negative organism encountered in intra-abdominal infections, suggesting an intra-abdominal source was the likely cause of liver abscess. These findings made us consider diverticulitis as the cause of liver abscess.
This patient had a satisfactory recovery on oral antibiotics after undergoing sigmoid resection and removal of the source. The biopsy from the sigmoid colon confirmed diverticulitis with perforated diverticulum. Diverticulitis can spread hematogenously as well as contiguously, resulting in multiple intra-abdominal abscess and hepatic abscess.
In patients presenting with liver abscess, it is important to consider sigmoid diverticulitis as the possible cause. As asymptomatic sigmoid diverticulitis can cause liver abscess, all patients with liver abscess with unclear aetiology should have a barium enema or other imaging to confirm diverticulitis. Prompt treatment with antibiotics and drainage and resection of the inflamed colon is needed. To expand on the discussion of our patient’s case, we present a review of the literature on pyogenic liver abscess and its etiology, diagnosis, and management.
Thirty to sixty percent of liver abscess cases [7] are due to biliary tract obstruction from stones or malignancy, leading to contamination of bile, subsequent cholangitis, and multiple abscesses in the liver. Approximately 20% of cases are due to infections via portal circulation. Infections from gastrointestinal and pelvic organs, like appendicitis, were a common cause a few decades back; however, diverticulitis, perforated peptic ulcer, and perforated bowel have become the leading causes in the recent years [8] - [12] . Inflammatory bowel disease and peritonitis are other causes. Hematogenous spread via the hepatic artery secondary to bacteremia from infective endocarditis, pyelonephritis, and immunosuppressed states accounts for 15% of cases. Rare occurrences of liver abscesses result from trauma and/or penetration of a foreign body, and in 20% of patients, the cause is cryptogenic, having no apparent cause [8] - [12] .
PLAs are usually polymicrobial, with mixed enteric facultative and anaerobic species being the most common pathogens. Streptococcus milleri (e.g., Streptococcus anginosus) and gram positive cocci are frequently reported [2] . Escherichia coli, Proteus, and Enterococcus are some other causes. Burkholderia pseudomallei is one of the causes that should be considered in patients from endemic areas (Southeast Asia and Northern Australia). Klebsiella liver abscess (KLA) syndrome occurs in the absence of hepatobiliary disease and is monomicrobial. Positive cultures from the fluid are found in 90% of patients, and intestinal organisms like E. coli, Klebsiella, and Proteus are commonly isolated. Candida should also be considered in patients with compromised immune status.
Klebsiella liver abscess is mostly reported in Asians, and is common in diabetics. The diagnosis of KLA is with imaging and sending the fluid for culture [13] - [15] . Treatment includes parenteral antibiotics, which later are continued for 4 to 6 weeks, and percutaneous drainage. Rarely does metastasis occur [16] [17] .
A nationwide analysis in Taiwan [18] from 1996 through 2004 on 29,700 cases collected from the National Health insurance database showed a significant increase in annual incidence of PLA. The incidence was found to be 14.87 cases/100,000 population/year (17.94 male cases/100,000 population and 11.65 female cases/100,000 population), and the annual increase of incidence was 0.86 cases/100,000 population. But, death from pyogenic liver abscess decreased over time, likely because of improved diagnostic tools and advancements in medical care. However, malignancy, renal disease, and pneumonia were associated with higher incidence of deaths. Diabetes mellitus and malignancy were associated with a 10-fold increased risk, renal disease with a 3-fold increase, and pneumonia with a 4-fold increase in mortality. As expected, therapeutic procedures, like abscess drainage, were associated with lower incidence of mortality. Another study showed that men are more likely to develop PLA than women (3.3 vs 1.3 per 100,000) [19] . Additionally, patients with liver transplant, diabetes, and/or history of malignancy are more prone to develop PLA, with a mortality of 0.22 per 100,000.
Fever (≥38.1˚C seen in 90% of cases) and chills are the most common clinical manifestations. Right upper quadrant abdominal pain, jaundice, weight loss, nausea, and vomiting are other common manifestations. Rupture of the abscess with peritonitis may be seen occasionally. Sepsis may be present in 25% of the cases. Less commonly, cough or hiccups occur due to irritation of the diaphragm.
The most common laboratory abnormalities are hyperbilirubinemia, elevated WBC count (in 68% of cases), low albumin level (70% of cases), and elevated serum alkaline phosphatase level (67% of cases) [20] . Other liver function tests such as AST may also be mildly elevated. In a multivariate analysis [10] , age 60 years and older, blood urea nitrogen > 20 mg/dL, serum creatinine > 2 mg/dL, total bilirubin > 2 mg/dL, and albumin < 2.5 gm/dL were independent significant factors predicting mortality.
Ultrasound is the preferred modality for diagnosis, but CT scan can detect small abscesses (<0.5 cm), with higher specificity for multiple small abscesses. Abscesses are hypo-echoic on ultrasound, and further diagnosis is done by needle aspiration, with the abscess fluid sent for gram stain and aerobic and anaerobic cultures. Blood cultures also need to be performed, as they are positive in approximately 50% of cases [10] . Sensitivity and specificity of gram stain of the liver abscesses are 90% and 100%, respectively, for gram-positive cocci (GPC), and 52% and 94% for gram-negative bacilli (GNB). Sensitivities of the blood cultures for any GPC and GNB present in the liver abscess are 30% and 39%, respectively. Although gram stains and blood cultures offer incomplete detection of the microbial contents of pyogenic liver abscesses, both tests should always accompany liver abscess cultures [21] . Direct aspiration of potentially infected fluid collections is the most reliable method of obtaining specimens for culture and should be used to guide therapy [22] .
Significant changes have occurred in the etiology, diagnosis, bacteriology, treatment, and outcome in patients with pyogenic liver abscesses over the past four decades. However, mortality remains high, and proper manage- ment continues to be a challenge. Appropriate systemic antibiotics and fungal agents, as well as adequate surgical, percutaneous, and/or biliary drainage, are required for best results. Antibiotics should be promptly administered. Empiric antibiotics should be broad spectrum, with a combination of aminoglycoside and metronidazole, or clindamycin or a beta lactam with anaerobic coverage. Then, based on the sensitivities of the organism(s) identified, further antibiotic therapy should be tailored accordingly. The intravenous antibiotics should be used for 2 weeks, then switched to oral antibiotics for a total of 4 to 6 weeks. Abscesses < 2 cm that cannot be drained can be treated with antibiotics alone, but in all other cases, drainage should accompany antibiotics.
There are several drainage techniques: CT- or ultrasound-guided percutaneous drainage (with or without catheter placement), endoplastic retrograde cholangiopancreatography (ERCP) drainage, and surgical drainage. In a randomized study, percutaneous aspiration was successful in only 60% of patients after one or two aspirations, but catheter drainage was successful in 100% of patients, showing that percutaneous catheter drainage is more effective than needle aspiration in the treatment of liver abscesses. This may be due to the fact that drainage catheters are left in place until the drainage stops, which is usually for a week. Needle aspiration, if limited to two attempts, has a high failure rate [23] . And, percutaneous drainage is considered to have failed if the abscess cavity recurs or if the condition worsens after 72 hours of drainage. In such cases, repeat percutaneous or surgical drainage is needed.
The indications for surgical drainage are: 1) abscesses > 5 cm in size; 2) multiple and/or loculated abscesses; 3) abscesses not amenable to percutaneous drainage secondary to location (e.g., those located on the dome of the liver); 4) failure of antibiotic therapy; 5) co-existence of intra-abdominal disease that warrants surgery; 6) failure of percutaneous drainage; and 7) laparotomy with surgical drainage to eliminate the source of infection that seeds the liver.
PLA has been reported as the initial manifestation of several types of cancer, such as silent colorectal cancers and advanced colonic polyps [24] [25] . The mucosal defects may be a route for bacterial invasion into the portal system, with subsequent hematogenous spread to the liver, resulting in the abscess formation. Retrospective studies in Taiwan report that cryptogenic PLA can be a sign of colorectal cancers, especially among female diabetic patients [25] , and that the highest incidence of all cancers (colorectal cancer, liver and biliary tract cancer) occur in 90 days of diagnosis of PLA [26] . Also, the incidence of liver cancer or colorectal carcinoma in the 3 years following diagnosis of PLA was 7.9 and 5.3 times greater, respectively, than standardized population rates. PLA caused by Klebsiella pneumoniae had a significantly higher rate of subsequent colorectal cancer than did patients with non-K. pneumoniae PLA [27] . The percentage of patients with K. pneumoniae and diabetes mellitus having colorectal cancer or laterally spreading tumor was 66.7% compared to 8.6% from other causes [28] . Therefore, colonoscopy should be considered for the detection of hidden colonic malignant lesions in patients with cryptogenic pyogenic liver abscesses, especially in those patients with K. pneumoniae and diabetes mellitus and over 60 years of age.
Primary liver cancer presenting as PLA has also been reported [29] . The mechanism of abscess development is postulated to be that tumor necrosis causes thrombi to flow through the blood supply and causes a biliary obstruction, leading to superimposed infection and abscess development. A retrospective study of nine patients who presented with PLA were later confirmed to have either hepatocellular carcinoma or intrahepatic cholangiocarcinoma. Elevated alpha-fetoprotein and carbohydrate antigen 19-9 suggests hepatocellular carcinoma and intrahepatic cholangiocarcinoma, respectively, in patients with signs and symptoms typical of PLA. However, alpha-fetoprotein and carbohydrate antigen 19-9 have both positive and negative predictive diagnostic value, so imaging modalities such as contrast-enhanced triple phase CT, along with laboratory tests, are needed to confirm the diagnosis, possibly avoiding further needle biopsy and percutaneous drainage. Surgical resection is the cure, with survival higher in patients who received hepatectomy.
4. Conclusion
PLA is a rare but significant life threatening condition if not detected and treated promptly. Clinicians need to start treatment with antibiotics and percutaneous drainage and send the fluid for microbiology culture, then adjust antibiotics accordingly. Referral for surgical drainage in cases with large, septated, or multiple abscesses, and/or in those with underlying disease is also needed. The presence of colovesical fistula should also be noted. Association of PLA with cancers, especially colorectal carcinoma, has been reported, so colonoscopy is therefore indicated, especially in those patients with K. pneumonia, diabetes mellitus, or over the age of 60 years. Therefore, as with the presented case, any patient presenting with liver abscess and colovesical fistula, should also be considered to have diverticulitis, as the bacteria can seed via portal circulation into the liver, causing the liver abscess.
Cite this paper
Padmavathi Mali,Sudheer R. Muduganti, (2015) Liver Abscess Secondary to Asymptomatic Sigmoid Diverticulitis: Case Report and Literature Review. Open Access Library Journal,02,1-7. doi: 10.4236/oalib.1101557
References
- 1. Altemeier, W.A., Culbertson, W.R., Fullen, W.D. and Shook, C.D. (1973) Intra-Abdominal Abscesses. American Journal of Surgery, 125, 70-79.
http://dx.doi.org/10.1016/0002-9610(73)90010-X - 2. Murarka, S., Pranav, F. and Dandavate, V. (2011) Pyogenic Liver Abscess Secondary to Disseminated Streptoccus anginosus from Sigmoid Diverticulitis. Journal of Global Infectious Diseases, 3, 79-81.
http://dx.doi.org/10.4103/0974-777X.77300 - 3. Knowles, R. and Rinaldo, J.A. (1960) Pyogenic Liver Abscess Secondary to Sigmoid Diverticultis: Report of Two Cases. Gastroenetertology, 38, 262-266.
- 4. Wang, Y.J., Wen, S.C., Chien, S.T., King, J., Hsuea, C.W. and Feng, N.H. (2005) Liver Abscess Secondary to Sigmoid Diverticulitis: A Case Report. Journal of Internal Medicine of Taiwan, 16, 289-294.
- 5. Al Hajjar, N., Crisan, D., Grigorescu, M. and Boruah, P. (2012) Acute Diverticulitis—An Unusual Cause of Liver Abcesses in a Young Man: A Case Report. Chirurgia (Bucur), 107, 267-272.
- 6. Wallack, M.K., Brown, A.S., Austrian, R. and Fitts, W. (1976) Pyogenic Liver Abscess Secondary to Asymptomatic Sigmoid Diverticulitis. Annals of Surgery, 184, 241-243.
http://dx.doi.org/10.1097/00000658-197608000-00018 - 7. Lederman, E.R. and Crum, N.F. (2005) Pyogenic Liver Abscess with a Focus on Klebsiella pneumoniae as a Primary Pathogen: An Emerging Disease with Unique Clinical Characteristics. American Journal of Gastroenterology, 100, 322-331.
http://dx.doi.org/10.1111/j.1572-0241.2005.40310.x - 8. Tsui, W.M., Chan, Y.K., Wong, C.T., Lo, Y.F., Yeung, Y.W. and Lee, Y.W. (2011) Hepatolithiasis and the Syndrome of Recurrent Pyogenic Cholangitis: Clinical, Radiologic, and Pathologic Features. Seminars in Liver Disease, 31, 33-48.
http://dx.doi.org/10.1055/s-0031-1272833 - 9. Bertel, C.K., van Heerden, J.A. and Sheedy, P.F. (1986) Treatment of Pyogenic Hepatic Abscesses. Surgical vs Percutaneous Drainage. Archives of Surgery, 121, 554-558.
http://dx.doi.org/10.1001/archsurg.1986.01400050072009 - 10. Chou, F.F., Sheen-Chen, S.M., Chen, Y.S., Chen, M.C., Chen, F.C. and Tai, D.I. (1994) Prognostic Factors for Pyogenic Abscess of the Liver. Journal of the American College of Surgeons, 179, 727-732.
- 11. Herman, P., Pugliese, V., Montagnini, A.L., Salem, M.Z., Machado, M.A., da Cunha, J.E., Bacchella, T., Machado, M.C. and Pinotti, H.W. (1997) Pyogenic Liver Abscess: The Role of Surgical Treatment. International Surgery, 82, 98-101.
- 12. Mischinger, H.J., Hauser, H., Rabl, H., Quehenberger, F., Werkgartner, G., Rubin, R. and Deu, E. (1994) Pyogenic Liver Abscess: Studies of Therapy and Analysis of Risk Factors. World Journal of Surgery, 18, 852-858.
http://dx.doi.org/10.1007/BF00299085 - 13. Wang, J.-H., Liu, Y.-C., Lee, S.S.-J., Yen, M.-Y., Chen, Y.-S., Wang, J.-H., Wann, S.-R. and Lin, H.-H. (1998) Primary Liver Abscess due to Klebsiella pneumoniae in Taiwan. Clinical Infectious Diseases, 26, 1434-1438.
http://dx.doi.org/10.1086/516369 - 14. Yang, C.C., Yen, C.H., Ho, M.W. and Wang, J.-H. (2004) Comparison of Pyogenic Liver Abscess Caused by Non-Klebsiella pneumoniae and Klebsiella pneumoniae. Journal of Microbiology, Immunology and Infection, 37, 176-184.
- 15. Chan, K.S., Chen, C.M., Cheng, K.C., Hou, C.C., Lin, H.J. and Yu, W.L. (2005) Pyogenic Liver Abscess: A Retrospective Analysis of 107 Patients during a 3-Year Period. Japanese Journal of Infectious Diseases, 58, 366-368.
- 16. Fang, C.-T., Chuang, Y.-P., Shun, C.-T., Chang, S.-C. and Wang, J.-T. (2004) A Novel Virulence Gene in Klebsiella pneumoniae Strains Causing Primary Liver Abscess and Septic Metastatic Complications. Journal of Experimental Medicine, 199, 697-705.
http://dx.doi.org/10.1084/jem.20030857 - 17. Fung, C.-P., Chang, F.-Y., Lee, S.-C., Hu, B.-S., Kuo, B.I., Liu, C.-Y., Ho, M. and Siu, L.K. (2002) A Global Emerging Disease of Klebsiella pneumoniae Liver Abscess: Is Serotype K1 an Important Factor for Complicated Endophthalmitis? Gut, 50, 420-424.
http://dx.doi.org/10.1136/gut.50.3.420 - 18. Tsai, F.-C., Huang, Y.-T., Chang, L.-Y. and Wang, J.-T. (2008) Pyogenic Liver Abscess as Endemic Disease, Taiwan. Emerging Infectious Diseases, 14, 1592-1600.
http://dx.doi.org/10.3201/eid1410.071254 - 19. Kaplan, G.G., Gregson, D.B. and Laupland, K.B. (2004) Population-Based Study of the Epidemiology of and the Risk Factors for Pyogenic Liver Abscess. Clinical Gastroenterology and Hepatology, 2, 1032-1038.
http://dx.doi.org/10.1016/S1542-3565(04)00459-8 - 20. Rahimian, J., Wilson, T., Oram, V. and Holzman, R.S. (2004) Pyogenic Liver Abscess: Recent Trends in Etiology and Mortality. Clinical Infectious Diseases, 39, 1654-1659.
http://dx.doi.org/10.1086/425616 - 21. Chemaly, R.F., Hall, G.S., Keys, T.F. and Procop, G.W. (2003) Microbiology of Liver Abscesses and the Predictive Value of Abscess Gram Stain and Associated Blood Cultures. Diagnostic Microbiology and Infectious Disease, 46, 245-248.
http://dx.doi.org/10.1016/S0732-8893(03)00088-9 - 22. Everts, R.J., Heneghan, J.P., Adholla, P.O. and Reller, L.B. (2001) Validity of Cultures of Fluid Collected through Drainage Catheters versus Those Obtained by Direct Aspiration. Journal of Clinical Microbiology, 39, 66-68.
http://dx.doi.org/10.1128/JCM.39.1.66-68.2001 - 23. Rajak, C.L., Gupta, S., Jain, S., Chawla, Y., Gulati, M. and Suri, S. (1998) Percutaneous Treatment of Liver Abscesses: Needle Aspiration versus Catheter Drainage. American Journal of Roentgenology, 170, 1035-1039.
http://dx.doi.org/10.2214/ajr.170.4.9530055 - 24. Lim, W.C. and Lim, C.C. (2004) Silent Colorectal Carcinoma and Pyogenic Liver Abscess. Journal of Gastroenterology and Hepatology, 19, 945-946.
http://dx.doi.org/10.1111/j.1440-1746.2004.03509.x - 25. Lai, H.-C. and Lin, H.-C. (2010) Cryptogenic Pyogenic Liver Abscess as a Sign of Colorectal Cancer: A Population-Based 5-Year Follow-Up Study. Liver International, 30, 1387-1393.
http://dx.doi.org/10.1111/j.1478-3231.2010.02327.x - 26. Kao, W.-Y., Hwang, C.-Y., Chang, Y.-T., Su, C.-W., Hou, M.-C., Lin, H.-C., Lee, F.-Y., Lee, S.-D. and Wu, J.-C. (2012) Cancer Risk in Patients with Pyogenic Liver Abscess: A Nationwide Cohort Study. Alimentary Pharmacology & Therapeutics, 36, 467-476.
http://dx.doi.org/10.1111/j.1365-2036.2012.05212.x - 27. Huang, W.-K., Chang, J.-W., See, L.-C., Tu, H.-T., Chen, J.-S., Liaw, C.-C., Lin, Y.-C. and Yang, T.-S. (2012) Higher Rate of Colorectal Cancer among Patients with Pyogenic Liver Abscess with Klebsiella pneumoniae than Those without: An 11-Year Follow-Up Study. Colorectal Disease, 14, e794-e801.
http://dx.doi.org/10.1111/j.1463-1318.2012.03174.x - 28. Jeong, S.W., Jang, J.Y., Lee, T.H., Kim, H.G., Hong, S.W., Park, S.H., Kim, S.G., Cheon, Y.K., Kim, Y.S., Cho, Y.D., Kim, J.O., Kim, B.S., Lee, E.J. and Kim, T.H. (2012) Cryptogenic Pyogenic Liver Abscess as the Herald of Colon Cancer. Journal of Gastroenterology and Hepatology, 27, 248-255.
http://dx.doi.org/10.1111/j.1440-1746.2011.06851.x - 29. Li, C., Li, G.B., Miao, R.Y., Lu, X., Zhong, S.X., Sang, X.T., Mao, Y.L. and Zhao, H.T. (2012) Primary Liver Cancer Presenting as Pyogenic Liver Abscess: Characteristics, Diagnosis, and Management. Journal of Surgical Oncology, 105, 687-691.
http://dx.doi.org/10.1002/jso.22103


