Open Journal of Pathology
Vol.06 No.03(2016), Article ID:69312,9 pages
10.4236/ojpathology.2016.63019
β-Tubulin-III Is an Immunohistochemical Marker for the Early Invasive Foci of Nonmucinous Lung Adenocarcinoma
Qinghai Yang1,2, Huiling Chen2, Dehua Zeng1, Xuzhou Wang1, Zhiyong Zheng1*
1Department of Pathology, Dongfang Hospital, Fujian Medical University, Fuzhou, China
2Fuzhou Maixin Biotech Inc., Fuzhou, China

Copyright © 2016 by authors and Scientific Research Publishing Inc.
This work is licensed under the Creative Commons Attribution International License (CC BY).
http://creativecommons.org/licenses/by/4.0/


Received 10 June 2016; accepted 26 July 2016; published 29 July 2016
ABSTRACT
Objective: The present study is to investigate the expression of CD34, β-Tubulin-III and Collagen IV-Laminin in adenocarcinoma in situ (AIS), the AIS component of minimally invasive adenocarcinoma (MIA), and early invasive foci, in order to find a valuable immunohistochemical marker for discriminating AIS and its early invasive foci. Methods: A total of 51 AIS patients and 88 MIA patients were included in the present study. In addition, 40 atypical adenomatous hyperplasia (AAH) patients and 54 invasive adenocarcinoma (IA) patients were included as control. Immunohistochemical staining of β-Tubulin-III, CD34, CD31, F8 and Collagen IV-Laminin was performed by serial sectioning. β-Tubulin-III was used to show invasive adenocarcinoma foci, CD34 was used to indicate interstitial cells in AIS, CD31 and F8 were used to identify capillary endothelial cells in tumor tissues, and Collagen IV-Laminin was used to visualize the basement membrane component of AIS. Results: The basement membranes and interstitial cells of AAH, AIS and the AIS component of MIA had positive expression of CD34, while mucinous AIS and various invasive adenocarcinomas had no CD34-positive basement membranes or interstitial cells. Invasive cancers such as alveolar adenocarcinoma, papillary adenocarcinoma, micropapillary adenocarcinoma and solid adenocarcinoma had strong positive expression of β-Tubulin-III, while AAH, AIS and the AIS component of MIA, and invasive mucinous adenocarcinoma had negative expression of β-Tubulin-III. AAH, AIS and the AIS component of MIA were surrounded by basement membranes with positive expression of Collagen IV-Laminin, AIS and the AIS component of MIA had significantly thickened basement membranes, and none of invasive adenocarcinomas was surrounded by basement membranes. Conclusions: The present study demonstrates that immunohistochemical staining of CD34, β-Tubulin-III, and Collagen IV-Laminin discriminates AIS component of lung adenocarcinoma from early invasive foci, with the efficacy of β-Tubulin-III being the best. Staining of β-Tubulin- III precisely identifies the early invasive foci of MIA, and can be used as a marker for the identification of the early invasive foci of nonmucinous lung adenocarcinoma.
Keywords:
CD34, β-Tubulin-III, Lung Adenocarcinoma, MIA

1. Introduction
Treatment strategies for lung adenocarcinoma at different stages are different, and the pathological staging of lung adenocarcinoma has great significance in the clinical treatment and prognosis of the disease. Noguchi et al. show that adenocarcinoma in situ (AIS) may develop into invasive adenocarcinoma (IA), which is characterized as Noguchi type A (simple adherent growth), Noguchi type B (adherent growth with stromal hyperplasia and alveolar collapse), and Noguchi type C (adherent growth accompanied by local infiltration and stromal hyperplasia) [1] . According to lung adenocarcinoma classification agreed by 2011 International Association for the Study of Lung Cancer, American Thoracic Society, and European Respiratory Society (IASLC/ATS/ERS) meeting, the staging of lung adenocarcinoma is conducted by morphological properties after hematoxylin and eosin staining [2] - [4] . However, some problems usually occur in the practical applications of these diagnostic standards. For example, there are no clear morphological boundaries for the transitions among adherent growth, alveolar growth, and invasive growth for Noguchi type C [5] . The development of adherent growth into cluster growth, simple nipple growth, nipple-like growth, and micro nipple-like growth may be a continuous progress [6] . However, cluster growth can also directly develop into micro nipple-like adenocarcinoma [7] [8] . Therefore, it is difficult to identify early invasive foci of lung adenocarcinoma using only hematoxylin and eosin staining.
Roh et al. report that interstitial cells of adherent adenocarcinoma have positive expression of CD34, while interstitial cells of invasive adenocarcinoma have negative expression of CD34 [9] . In addition, IA has positive expression of β-Tubulin-III, while both pulmonary atypical adenomatous hyperplasia (AAH) and AIS have negative expression of β-Tubulin-III. In the present study, we investigate the expression of CD34, β-Tubulin-III and Collagen IV-Laminin in AIS, minimally invasive adenocarcinoma (MIA) and early invasive foci.
2. Materials and Methods
2.1. Patients
A total of 51 AIS patients and 88 MIA patients admitted in our hospital between January 2007 and September 2014 were included in the present study. In addition, 40 AAH patients and 54 IA patients were included as control (Table 1). All patients received high-definition CT chest radiography. AAH was mainly treated by local excision, and AIS, MIA, and IA were mainly treated by lobectomy. In addition, lymphadenectomy and postoperative chemotherapy were also performed on IA patients. Samples excised during surgeries were fixed by neutral formalin, paraffin-embedded, and subjected to hematoxylin and eosin staining and immunohistochemical staining (TTF-1, Napsin A, CK7, P63, CK5/6, CD56, CgA, and Syn). Diagnosis of lung adenocarcinoma was performed following the new classification by 2011 IASLC/ATS/ERS. Follow-ups of patients were conducted via outpatient, letter or telephone. Follow-ups were terminated when recurrence or metastasis occurs. All procedures were approved by the Ethics Committee of Dongfang Hospital, Fujian Medical University. Written informed consents were obtained from all patients or their families.
2.2. Immunohistochemistry
For the staining of β-Tubulin-III, CD34, CD31, F8 and Collagen IV-Laminin, paraffin-embedded specimens were cut into 4 μm sections. Sections for CD34 (QBEnd/10; Thermo Fisher Scientific, Waltham, MA, USA), β- Tubulin-III (TUJ1; Covance, Princeton, NJ, USA), CD31 (Thermo Fisher Scientific, Waltham, MA, USA) and F8 (Zymed, Thermo Fisher Scientific, Waltham, MA, USA) staining were submerged into citrate (0.01 M, pH 6.0), and autoclaved for antigen repair. For Collagen IV (PHM-12; Thermo Fisher Scientific, Waltham, MA, USA)-Laminin (LAM-89; Sigma-Aldrich, St. Louis, MO, USA) staining, the samples were digested with 0.05% protease XXIV (P8038; Sigma-Aldrich, St. Louis, MO, USA) for 40 min. Other procedures were performed according to the manufacturer’s manuals (EliVisionTM plus; Maixin Biotech. Co., Ltd., Fuzhou, China). CD31 and F8 were used to visualize the capillary endothelial cells in lung adenocarcinoma tissues, being in comparison to
Table 1. Clinical pathological data.
Note: AAH, atypical adenomatous hyperplasia; AIS, adenocarcinoma in situ; MIA, minimally invasive adenocarcinoma; IA, invasive adenocarcinoma.
CD34-positive interstitial cells. Collagen IV-Laminin was used to identify basement membrane components of lung adenocarcinoma that were in contrast to CD34-positive basement membrane components in lung adenocarcinoma.
2.3. Immunohistochemical Evaluation
To evaluate the immunohistochemical scores, positive staining of β-Tubulin-III was indicated by cytoplasm staining, and positive staining of CD34 was indicated by staining of basement membrane and interstitial cells. Negative expression scored 0 point, positive expression <25% scored 1 point, positive expression between 25% and 50% scored 2 points, positive expression between 50% and 75% scored 3 points, and positive expression between 75% and 100% scored 4 points. Average positive expression score = total positive expression score/ number of cases.
2.4. Statistical Analysis
All results were analyzed using SPSS 19.0 statistical software (IBM, Armonk, NY, USA). Data of each group were expressed as means ± standard deviations. Comparison between two groups was performed using Mann- Whitney U test. Comparison among multiple groups was performed using Kruskal-Wallis H test. Lung cancer recurrence or metastatic rate were subjected to univariate survival analysis by Kaplan-Meier method, and tested using log-rank method. All tests were bilateral. Differences are statistically significant if P < 0.05.
3. Results
3.1. The Basement Membranes and Interstitial Cells of AAH, AIS and the AIS Component of MIA Have Positive Expression of CD34, While Mucinous AIS and Various Invasive Adenocarcinomas Have No CD34-Positive Basement Membranes or Interstitial Cells
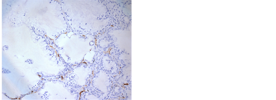
To measure the expression of CD34 and F8, immunohistochemistry was performed. Strong positive expression of CD34 was observed in the basement membrane of AIS, while moderate positive expression of CD34 was observed in interstitial cells of AIS (Figure 1(a)). In addition, strong positive expression of CD34 was observed in the basement membrane and interstitial cells of adherent adenocarcinoma of MIA and IA (Figure 1(b)). All interstitial cells of acinar adenocarcinoma in MIA and IA showed negative expression of CD34, but acinar adenocarcinoma with non-invasive growth was surrounded by basement membranes with positive expression of CD34 (Figure 1(c)), and acinar adenocarcinoma with invasive growth was not surrounded by CD34-positive basement membranes (Figure 1(d)). In CD34 staining images, it is difficult to discriminate tumor interstitial cells with positive expression of CD34 from vascular endothelia. And the vascular endothelial cells showed positive expression of CD31 and F8. By comparing CD31 and F8 staining images, basement membranes with positive expression of CD34 were differentiated from interstitial cells (Figure 1(b) and Figure 2(a), Figure 2(b)). The basement membranes and interstitial cells of AAH had negative or weak positive expression of CD34 (Figure 1(e)). Other invasive cancers such as papillary adenocarcinoma, micropapillary adenocarcinoma and solid adenocarcinoma were not surrounded by basement membranes, but their interstitial cells had negative CD34 expression. In addition, the basement membranes and interstitial cells of noncancerous alveolar tissues and mucinous adenocarcinoma had no CD34 expression (Figure 1(f)). The vascular endothelial cells in all groups showed positive expression of CD34. Statistical analysis showed that the average CD34-positive expression score of IA patients was significantly lower than those of AAH, AIS and MIA patients (P < 0.05) (Table 2). These results suggest that the basement membranes and interstitial cells of AAH, AIS and the AIS component of MIA have positive expression of CD34, while mucinous AIS and various invasive adenocarcinomas have no CD34-positive basement membranes or interstitial cells.


Figure 1. Immunohistochemical staining of CD34 in (a) adherent adenocarcinoma (Noguchi type A) (×200), (b) adherent adenocarcinoma (Noguchi type B) (×100), (c) alveolar adenocar-cinoma of MIA (×100), (d) adherent adenocarcinoma (upper half) and alveolar invasive adenocarcinoma (lower half) (×50), (e) AAH (×100), and (f) mucinous adenocarcinoma (×50).

Figure 2. Immunohistochemical staining of F8 (a) and CD31 (b) in adherent adenocarcinoma (Noguchi type B) in the same region shown in Figure 1(b) (×100).
Table 2. Average positive expression scores (positive rates) of CD34 and β-Tubulin-III in tumor tissues.
Note: AAH, atypical adenomatous hyperplasia; AIS, adenocarcinoma in situ; MIA, minimally invasive adenocarcinoma; IA, invasive adenocarcinoma. *P < 0.05 compared with AAH or AIS; **P < 0.05 compared with AAH, AIS or MIA.
3.2. Invasive Cancers Such as Alveolar Adenocarcinoma, Papillary Adenocarcinoma, Micropapillary Adenocarcinoma and Solid Adenocarcinoma Have Strong Positive Expression of β-Tubulin-III, While AAH, AIS and the AIS Component of MIA, and Invasive Mucinous Adenocarcinoma Have Negative Expression of β-Tubulin-III
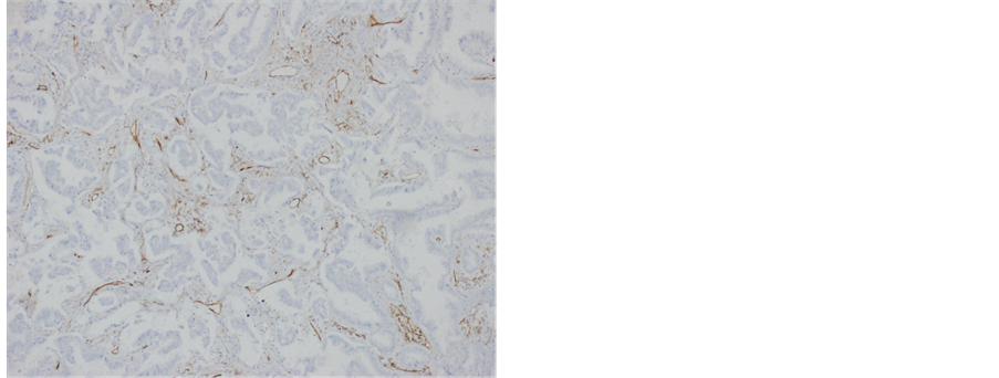
To detect the expression of β-Tubulin-III, immunohistochemistry was employed. Tumor cells of both AAH and AIS patients showed negative expression of β-Tubulin-III. In addition, adherent adenocarcinoma of MIA and IA group showed negative expression of β-Tubulin-III. Alveolar adenocarcinoma in MIA and IA groups that was surrounded by basement membranes had positive expression of β-Tubulin-III (Figure 1(c) and Figure 3(a)). Invasive alveolar adenocarcinoma that was not surrounded by basement membranes showed strong positive expression of β-Tubulin-III (Figure 1(d) and Figure 3(b)). Other invasive cancers such as papillary adenocarci- noma, micropapillary adenocarcinoma and solid adenocarcinoma showed strong positive expression of β-Tub- ulin-III (Figures 3(c)-(f)). Noncancerous alveolar tissues and mucinous adenocarcinoma showed negative expression of β-Tubulin-III. Statistical analysis showed that the average β-Tubulin-III-positive expression score of IA patients was significantly higher than those of AAH, AIS and MIA patients (P < 0.05) (Table 2). These results indicate that invasive cancers such as alveolar adenocarcinoma, papillary adenocarcinoma, micropapillary adenocarcinoma and solid adenocarcinoma have strong positive expression of β-Tubulin-III, while AAH, AIS and the AIS component of MIA, and invasive mucinous adenocarcinoma have negative expression of β-Tubulin- III.


Figure 3. Immunohistochemical staining of β-Tubulin-III in (a) alveolar adenocarcinoma of MIA in the same region shown in Figure 1(c) (×100), (b) adherent adenocarcinoma (upper half) and alveolar invasive adenocarcinoma (lower half) in the same region shown in Figure 1(d) (×50), (c) alveolar adenocarcinoma that invaded pleura and micropapillary adenocarcinoma of the alveolar cavity (×50), (d) papillary adenocarcinoma (×100), (e) micropapillary adenocarcinoma (×100), and (f) solid adenocarcinoma (×200).
3.3. AAH, AIS and the AIS Component of MIA Are Surrounded by Basement Membranes with Positive Expression of Collagen IV-Laminin, AIS and the AIS Component of MIA Have Significantly Thickened Basement Membranes, and None of Invasive Adenocarcinomas Is Surrounded by Basement Membranes
For the staining of Collagen IV-Laminin, immunohistochemistry was used. Both AAH and AIS had complete basement membranes, while AIS had significantly thickened basement membranes. Adherent adenocarcinoma of MIA and IA showed significantly thickened basement membrane surrounding. Non-invasive alveolar carcinoma of MIA and IA was surrounded by basement membranes, while invasive alveolar carcinoma was not surrounded by basement membranes. Other invasive cancers such as papillary adenocarcinoma, micropapillary adenocarcinoma, solid adenocarcinoma and invasive mucinous adenocarcinoma were not surrounded by basement membranes. After comparing with CD34 staining images, the basement membranes of tumor tissues had expression of CD34 (Figure 1(c) and Figure 4). These results suggest that AAH, AIS and the AIS component of MIA are surrounded by basement membranes with positive expression of Collagen IV-Laminin, AIS and the AIS component of MIA have significantly thickened basement membranes, and none of invasive adenocarcinomas is surrounded by basement membranes.
3.4. Invasive Adenocarcinomas Result in the Lowest Cumulative Survival Rate among All Groups
To determine the tumor-free cumulative survival rate, 233 patients were followed up in 3 - 85 months after the surgery and the data were analyzed using Kaplan-Meier method. The recurrence and metastasis rate for AAH group was 0/40 (0%); that for AIS group was 0/51 (0%); that for MIA group was 1/88 (1.14%); and that for IA group was 20/54 (37.04%). Statistical analysis showed that the survival rate of IA group was significantly lower than those of AAH, AIS and MIA groups (P < 0.05) (Figure 5). The result indicates that invasive adenocarcinomas result in the lowest cumulative survival rate among all groups.

Figure 4. Immunohistochemical staining of Collagen IV-Laminin in (a) AAH (×200), (b) adherent adenocarcinoma (Noguchi type B) (×200), and (c) alveolar invasive adenocarcinoma (×100).
Figure 5. Tumor-free cumulative survival rates in AAH, AIS, MIA, and IA groups. Lung cancer recurrence or metastatic rate were subjected to univariate survival analysis by Kaplan-Meier method, and tested using log- rank method.
4. Discussion
The early invasive boundaries of most tumors are defined as the breakthrough of the basement membranes. However, there are still some limitations when using basement membrane staining to observe cancer breakthrough, because local inflammation usually leads to blurry or disappeared staining of basement membranes in intraepithelial tumors. Some researchers use interstitial changes after breakthrough of basement membranes to judge the invasion of intraepithelial tumors. For example, the interstitial cells in bronchioloalveolar carcinoma [9] , in situ breast cancer [10] [11] , or in situ colon neuroendocrine carcinoma [12] have positive expression of CD34. However, tumor interstitial cells show negative expression of CD34 after development into metastatic tumor [10] [13] . After epithelial tumors break through basement membranes, tumor cells develop new markers that attract attention from researchers. Although efforts have been made, few ideal markers are already found [14] - [16] . Therefore, the diagnostic means for the early invasion of tumors is still hematoxylin and eosin staining. In clinical diagnosis of lung adenocarcinoma, accurate classification of early invasive foci has become an important problem since 2011 IASLC/ATS/ERS meeting. The main difficult point lies in the unclear boundary between adherent adenocarcinoma and invasive alveolar adenocarcinoma. Therefore, it is difficult to accurately identify early invasive foci of lung adenocarcinoma using only hematoxylin and eosin staining.
In previous researches, β-Tubulin-III is mainly used in chemotherapy resistance studies of lung cancer or other cancers [17] [18] . However, there is no report on the use of β-Tubulin-III as a marker to identify the early invasive foci of lung adenocarcinoma. In the present study, we compared nonmucinous AIS and the AIS component of MIA with early invasive foci using immunohistochemical staining of CD34, β-Tubulin-III and Collagen IV-Laminin. The results show that the three methods are all successful in differentiating the AIS component of lung adenocarcinoma from early invasive foci. β-Tubulin-III staining indicates IA components, while CD34 and Collagen IV-Laminin staining shows AIS region. Therefore, β-Tubulin-III staining is the most effective method to identify IA components among the three.
In the follow-ups of the 233 patients, recurrence and metastatic rate of AAH and AIS groups was 0%, that of MIA group was 1.14%, and that of IA group was 37.04%. Tumor-free cumulative survival rate of IA group was significantly lower than the other three groups. The result of follow-ups demonstrates that the three markers are reliable auxiliary indicators for the diagnosis of early invasive foci of lung adenocarcinoma. In conclusion, immunohistochemical staining of β-Tubulin-III, CD34 and Collagen IV-Laminin is effective in discriminating AIS component of lung adenocarcinoma from early invasive foci, with the efficacy of β-Tubulin-III being the best. Staining of β-Tubulin-III precisely identifies the early invasive foci of MIA, and can be used as a marker for the identification of the early invasive foci of nonmucinous lung adenocarcinoma.
5. Conclusion
In conclusion, when non-mucinous lung adenocarcinomas were in situ carcinomas, tumor cells were negative for β-Tubulin-III. When tumor invasion occurred, tumor cells became positive for β-Tubulin-III. β-Tubulin-III could be detected clearly in early invasive non-mucinous lung adenocarcinoma to avoid over- or inadequate diagnosis of microinvasive pulmonary adenocarcinoma.
Cite this paper
Qinghai Yang,Huiling Chen,Dehua Zeng,Xuzhou Wang,Zhiyong Zheng, (2016) β-Tubulin-III Is an Immunohistochemical Marker for the Early Invasive Foci of Nonmucinous Lung Adenocarcinoma. Open Journal of Pathology,06,162-170. doi: 10.4236/ojpathology.2016.63019
References
- 1. Noguchi, M., Morikawa, A., Kawasaki, M., Matsuno, Y., Yamada, T., Hirohashi, S., Kondo, H. and Shimosato, Y. (1995) Small Adenocarcinoma of the Lung. Histologic Characteristics and Prognosis. Cancer, 75, 2844-2852.
http://dx.doi.org/10.1002/1097-0142(19950615)75:12<2844::AID-CNCR2820751209>3.0.CO;2-# - 2. Travis, W.D., Brambilla, E., Van Schil, P., Scagliotti, G., Huber, R.M., Sculier, J.-P., Vansteenkiste, J. and Nicholson, A.G. (2011) Paradigm Shifts in Lung Cancer as Defined in the New IASLC/ATS/ERS Lung Adenocarcinoma Classification. European Respiratory Journal, 38, 239-243.
http://dx.doi.org/10.1183/09031936.00026711 - 3. Oskarsdottir, G.N., Bjornsson, J., Jonsson, S., Isaksson, H.J. and Gudbjartsson, T. (2016) Primary Adenocarcinoma of the Lung-Histological Subtypes and Outcome after Surgery, Using the IASLC/ATS/ERS Classification of Lung Adenocarcinoma. APMIS, 124, 384-392.
http://dx.doi.org/10.1111/apm.12522 - 4. Zhao, Z.R., Xi, S.Y., Li, W., Situ, D.R., Chen, K.M., Yang, H., Su, X.D., Lin, Y.B. and Long, H. (2015) Prognostic impact of Pattern-Based Grading System by the New IASLC/ATS/ERS Classification in Asian Patients with Stage I Lung Adenocarcinoma. Lung Cancer, 90, 604-609.
http://dx.doi.org/10.1016/j.lungcan.2015.10.026 - 5. Makimoto, Y., Nabeshima, K., Iwasaki, H., Miyoshi, T., Enatsu, S., Shiraishi, T., Iwasaki, A., Shirakusa, T. and Kikuchi, M. (2005) Micropapillary Pattern: A Distinct Pathological Marker to Subclassify Tumours with a Significantly Poor Prognosis within Small Peripheral Lung Adenocarcinoma (≤ 20 mm) with Mixed Bronchioloalveolar and Invasive Subtypes (Noguchi’s Type C Tumours). Histopathology, 46, 677-684.
http://dx.doi.org/10.1111/j.1365-2559.2005.02126.x - 6. Nagano, T., Ishii, G., Nagai, K., Ito, T., Kawase, A., Takahashi, K., Nishimura, Y., Nishiwaki, Y. and Ochiai, A. (2010) Structural and Biological Properties of a Papillary Component Generating a Micropapillary Component in Lung Adenocarcinoma. Lung Cancer (Amsterdam, Netherlands), 67, 282.
http://dx.doi.org/10.1016/j.lungcan.2009.04.014 - 7. Motoi, N., Szoke, J., Riely, G.J., Seshan, V.E., Kris, M.G., Rusch, V.W., Gerald, W.L. and Travis, W.D. (2008) Lung Adenocarcinoma: Modification of the 2004 WHO Mixed Subtype to Include the Major Histologic Subtype Suggests Correlations between Papillary and Micropapillary Adenocarcinoma Subtypes, EGFR Mutations and Gene Expression Analysis. The American Journal of Surgical Pathology, 32, 810-827.
http://dx.doi.org/10.1097/PAS.0b013e31815cb162 - 8. Maeda, R., Isowa, N., Onuma, H., Miura, H., Harada, T., Touge, H., Tokuyasu, H. and Kawasaki, Y. (2009) Lung Adenocarcinomas with Micropapillary Components. General Thoracic and Cardiovascular Surgery, 57, 534-539.
http://dx.doi.org/10.1007/s11748-009-0436-y - 9. Roh, M.S., Choi, J.W., Lee, H.W., Kwon, H.C., Park, T.H., Choi, P.J., Lee, C.H. and Cheon, B.K. (2005) Differential Expression of CD34 and Smooth Muscle Actin in the Stroma of Small Lung Adenocarcinoma with Mixed Bronchioloalveolar and Invasive Components. Korean Journal of Pathology, 39, 158-163.
- 10. Chauhan, H., Abraham, A., Phillips, J., Pringle, J., Walker, R. and Jones, J. (2003) There Is More than One Kind of Myofibroblast: Analysis of CD34 Expression in Benign, in Situ, and Invasive Breast Lesions. Journal of Clinical Pathology, 56, 271-276.
http://dx.doi.org/10.1136/jcp.56.4.271 - 11. Savooji, J., Shakil, F., Islam, H., Liu, D. and Seiter, K. (2016) CD34(+) Therapy-Related Acute Promyelocytic Leukemia in a Patient Previously Treated for Breast Cancer. Stem Cell Investigation, 3, 7.
http://dx.doi.org/10.21037/sci.2016.03.03 - 12. Shinji, S., Naito, Z., Ishiwata, T., Tanaka, N., Furukawa, K., Suzuki, H., Seya, T., Kan, H., Tsuruta, H. and Matsumoto, S. (2006) Neuroendocrine Cell Differentiation of Poorly Differentiated Colorectal Adenocarcinoma Correlates with Liver Metastasis. International Journal of Oncology, 29, 357.
http://dx.doi.org/10.3892/ijo.29.2.357 - 13. Kuroda, N., Nakayama, H., Miyazaki, E., Toi, M., Hiroi, M. and Enzan, H. (2005) The Distribution of CD34-Positive Stromal Cells and Myofibroblasts in Colorectal Carcinoid Tumors. Histology and Histopathology, 20, 27-33.
- 14. Grunnet, M. and Sorensen, J. (2012) Carcinoembryonic Antigen (CEA) as Tumor Marker in Lung Cancer. Lung Cancer, 76, 138-143.
http://dx.doi.org/10.1016/j.lungcan.2011.11.012 - 15. Roberts, P.J., Stinchcombe, T.E., Der, C.J. and Socinski, M.A. (2010) Personalized Medicine in Non-Small-Cell Lung Cancer: Is KRAS a Useful Marker in Selecting Patients for Epidermal Growth Factor Receptor-Targeted Therapy? Journal of Clinical Oncology, 28, 4769-4777.
http://dx.doi.org/10.1200/JCO.2009.27.4365 - 16. Salnikov, A.V., Gladkich, J., Moldenhauer, G., Volm, M., Mattern, J. and Herr, I. (2010) CD133 Is Indicative for a Resistance Phenotype But Does Not Represent a Prognostic Marker for Survival of Non-Small Cell Lung Cancer Patients. International Journal of Cancer, 126, 950-958.
- 17. Yu, J., Gao, J., Lu, Z., Gong, J., Li, Y., Dong, B., Li, Z., Zhang, X. and Shen, L. (2014) Combination of Microtubule Associated Protein-Tau and β-Tubulin III Predicts Chemosensitivity of Paclitaxel in Patients with Advanced Gastric Cancer. European Journal of Cancer, 50, 2328-2335.
http://dx.doi.org/10.1016/j.ejca.2014.06.017 - 18. McCarroll, J.A., Gan, P.P., Liu, M. and Kavallaris, M. (2010) βIII-Tubulin Is a Multifunctional Protein Involved in Drug Sensitivity and Tumorigenesis in Non-Small Cell Lung Cancer. Cancer Research, 70, 4995-5003.
http://dx.doi.org/10.1158/0008-5472.CAN-09-4487
NOTES
*Corresponding author.















