Case Reports in Clinical Medicine
Vol.07 No.03(2018), Article ID:82962,5 pages
10.4236/crcm.2018.73019
Different Magnetic Resonance Imaging Manifestations of Diabetic Chorea in a Case with Hyperglycemia and Another One with Hypoglycemia
Hodaka Yamada*, Rika Saikawa, Suzuki Daisuke, Yuko Matsumoto, Masashi Yoshida, Kazuo Hara
Department of Medicine, Division of Endocrinology and Metabolism, Jichi Medical University Saitama Medical Center, Saitama, Japan

Copyright © 2018 by authors and Scientific Research Publishing Inc.
This work is licensed under the Creative Commons Attribution International License (CC BY 4.0).
http://creativecommons.org/licenses/by/4.0/



Received: February 4, 2018; Accepted: March 9, 2018; Published: March 12, 2018
ABSTRACT
Diabetic chorea (DC) is a rare complication of diabetes. Here we describe two cases of DC; patient 1 was an 87-year-old woman with chronic kidney disease and was administered with sulphonylurea and dipeptidylpeptodase-4 inhibitor. She showed right side hemiballismus and head magnetic resonance imaging T1-weighted images revealed a high intensity area in the putamen and caudate nucleus. Patient 2 was a 51-year-old woman who was diagnosed with diabetic ketoacidosis. She showed right side hemiballism and multiple, small hyperintense regions in both the periventricular sides in diffusion weighted images. Based on the hemiballism, we concluded a diagnosis of DC in the diabetic patient, although the case presentation is rare or has atypical MRI findings.
Keywords:
Diabetes Mellitus, Hyperglycemia, Magnetic Resonance Imaging, Hemiballism

1. Introduction
Diabetic chorea (DC) is a rare neurological complication of diabetes. DC was first reported by Bed well and Schwart in 1960 as hyperglycemic encephalopathy [1] [2] . DC typically occurs with nonketotic hyperglycinemia and shows sudden onset of hemichorea-hemiballismus, especially in elderly patients, women, and Asian population. Generally, the symptoms are transient, and the neurological prognosis is good; however, the underlying mechanism of DC pathogenesis remains unclear [3] . Reportedly, a DC typically shows high intensity areas in the putamen by magnetic resonance imaging T1-weighted images (MRI T1-WI) [4] . However, there are DCs without the typical images on MRI [5] or that occur in cases of hypoglycemia, not hyperglycemia [6] . Here we describe two DC patients with different MRI findings. DC is an important differential diagnosis in diabetes mellitus patients with hemichorea-hemiballismus.
2. Case Presentation
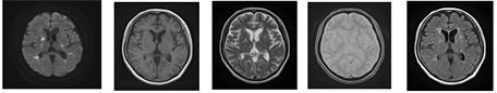
Patient 1 is an 87-year-old woman, referred to our hospital owing to right side hemiballism. She had taken 1 mg glimepiride (sulphonylurea) and 50 mg sitagliptin (Dipeptidyl peptodase-4 inhibitor; DPP-4I) for diabetes. Laboratory data on admission showed glycated hemoglobin (HbA1c) at 8.4%, plasma glucose at 68 mg/dL, and an estimated glomerular filtration rate (eGFR) of 31 ml/min/1.73 m2 suggesting chronic kidney disease. Head MRI T1-WI revealed a high intensity area in the left side of putamen and caudate nucleus, but nothing remarkable was found in diffusion weighted images (DWI) or T2-WI (Figure 1(a)). She was diagnosed as having DC due to oral hypoglycemic agents. After discontinuing glimepiride, hypoglycemia was not observed. DPP-4I leads to renal impairment; subsequently, the treatment course was changed to 5 mg Trazenta®. Following the treatment change, the daily glucose levels were 110 - 200 mg/dL and choreic movement improved. For further rehabilitation, she was transferred to another hospital on eighth day in our hospital. Patient 2 is a 51-year-old woman with uncontrolled hyperglycemia, hospitalized owing to loss of conscious. Laboratory


Figure 1. (a) Magnetic resonance imaging (MRI) findings of patient 1 showed a high intensity area in putamen and caudate nucleus in T1-weighted image (T1-WI); (b) Multiple small hyperintensities in both periventricular sides in diffusion weighted image (DWI) and fluid-attenuated inversion recovery (FLAIR), with normal looking putamen and caudate nucleus in T1-WI of patient 2. DWI; diffusion weighted image, T1-WI; T1-weighted image, T2-WI; T2-weighted image, T2*-WI; T2*-weighted image, FLAIR; fluid-attenuated inversion recovery.
data showed plasma glucose at 1290 mg/dL and pH at 7.34, but no ketonuria. After hospitalization, she started presenting right side hemiballism. We started her on an insulin and saline intravenous infusion. After 6 days, we performed a head MRI and found multiple small hyperintensities in both periventricular sides by DWI and fluid-attenuated inversion recovery (FLAIR) (Figure 1(b)). T1-WI showed no lesions in putamen and caudate nucleus. There was no evidence of carotid plaques, atherosclerosis of brain arteries, or arrhythmia. We diagnosed her as having DC with hyperosmolar hyperglycemic state. We controlled hyper glycemia using insulin injections. We administered haloperidol at 0.75 mg/day and gradually increased up to 2.25 mg/day. After glycemic control and haloperidol administration, the choreic movement improved and the patient was able to self-administer insulin injection (final dose of insulin; insulin glargine U300 19 U, insulin glulisine 2-2-2 U). She was transferred to another hospital for further rehabilitation on twenty-ninth hospital day.
3. Discussion
Patient 1 showed the typical MRI findings of DC. Because SU and DPP-4I combinations are known to cause hypoglycemia [7] , and the patient presented no hyperglycemia on admission, we considered that the use of SU and DPP-4I may have led to hypoglycemia and subsequent DC. There is also been a report of an elderly woman with type 2 diabetes and hypoglycemia associated with insulin treatment that led to DC [6] . It is possible that the hypoglycemia also associated with diabetes therapy in elderly patients may cause DC. A case series of 53 patients with DC revealed that all patients showed a high intensity in basal ganglia on the MRI T1-WI [4] . Hyper intensity in basal ganglia is a typical MRI finding and supports the clinical diagnosis of chorea in patients with diabetes. On the other hand, some cases showed no abnormalities in the basal ganglia using brain MRI [5] [8] . One case showed leukoaraiosis and multiple cortical ischemia, but no hyperintensisty in putamen [9] . A recent study reported that a DC patient with nonketoic hyperglycemia did not show any abnormalities in the brain MRI and computed tomography (CT) [10] . In our case, patient 2 did not show typical DC symptoms, such as high intensity area in basal ganglia in the brain MRI. Instead, we found multiple small hyperintensities in both periventricular sides in the DWI, but the typical putamen high intensity on the T1-WI was not found. Hyperviscosity caused by extreme hyperglycemia may produce a transient microcirculatory dysfunction of the striatum [11] . Recently, some patients had been reported to present chorea due to essential thrombocythemia or polycythemia vera [12] [13] . We think it is possible that hyperviscosity due to extreme hyperglycemia led to multiple cerebral thromboembolisms in our patient 2. In addition, the lack of evidence for atherosclerotic lesions in the carotid artery ultrasonography and the brain magnetic resonance angiography added to a lack of arrhythmias support the notion that these multiple small hyperintensities did not represent atherosclerotic lesions in our patient 2. Chang et al. proposed two types of DC: a common type showing hyperglycemia, choreic movement with typical radiographic imaging in brain MRI or CT and uncommon type showing chorea with negative imaging changes [10] . Patient 2 exhibited uncommon type of DC. However, there is no clear evidence about the uncommon DC. It is, therefore, necessary to report such patients.
Here, we describe two patients with DC and different MRI findings. The mechanistic details of DC are still unclear; however, our two patients showed not only hyperglycemia but also hypoglycemia or hyperviscosity, all of which may affect the pathophysiology of DC. In conclusion, we should consider DC when we see hemiballism in diabetic patients, even if the case presentation is rare or has atypical MRI findings.
Consent
An informed consent was obtained from the patients.
Cite this paper
Yamada, H., Saikawa, R., Daisuke, S., Matsumoto, Y., Yoshida, M. and Hara, K. (2018) Different Magnetic Resonance Imaging Manifestations of Diabetic Chorea in a Case with Hyperglycemia and Another One with Hypoglycemia. Case Reports in Clinical Medicine, 7, 220-224. https://doi.org/10.4236/crcm.2018.73019
References
- 1. Bedwell, S.F. (1960) Some Observations on Hemiballismus. Neurology, 10, 619-622. https://doi.org/10.1212/WNL.10.6.619
- 2. Schwarz, G.A. and Barrows, L.J. (1960) Hemiballism without Involvement of Luys’ Body. Archives of Neurology, 2, 420-434. https://doi.org/10.1001/archneur.1960.03840100058009
- 3. Battisti, C., Forte, F., Rubenni, E., Dotti, M.T., Bartali, A., Gennari, P., et al. (2009) Two Cases of Hemichorea-Hemiballism with Nonketotic Hyperglycemia: A New Point of View. Neurological Sciences, 30, 179-183. https://doi.org/10.1007/s10072-009-0039-5
- 4. Oh, S.H., Lee, K.Y., Im, J.H. and Lee, M.S. (2002) Chorea Associated with Non-Ketotic Hyperglycemia and Hyperintensity Basal Ganglia Lesion on T1-Weighted Brain MRI Study: A Meta-Analysis of 53 Cases Including Four Present Cases. Journal of Neurological Sciences, 200, 57-62. https://doi.org/10.1016/S0022-510X(02)00133-8
- 5. Saleh, M.M., Zacks, E.S. and Katz, J.S. (2002) Delayed Recovery of Diabetic Chorea Following Correction of Hyperglycemia. Journal of Neurology, 249, 1323-1324. https://doi.org/10.1007/s00415-002-0786-1
- 6. Paraskevas, G.P., Vlachos, G.S., Vassilopoulou, S., Anagnostou, E., Spengos, K. and Zis, V. (2012) Hypoglycemia-Induced Hemichorea in a Patient with Fahr’s Syndrome. Neurological Sciences, 33, 1397-1399. https://doi.org/10.1007/s10072-012-1096-8
- 7. Salvo, F., Moore, N., Arnaud, M., Robinson, P., Raschi, E., De Ponti, F., et al. (2016) Addition of Dipeptidyl Peptidase-4 Inhibitors to Sulphonylureas and Risk of Hypoglycaemia: Systematic Review and Meta-Analysis. BMJ, 353, i2231. https://doi.org/10.1136/bmj.i2231
- 8. Branca, D., Gervasio, O., Le Piane, E., Russo, C. and Aguglia, U. (2005) Chorea Induced by Non-Ketotic Hyperglycaemia: A Case Report. Neurological Sciences, 26, 275-277.
- 9. Piccolo, I., Sterzi, R. and Thiella, G. (1998) Chorea in Hyperglycemia. Diabetes Care, 21, 1777. https://doi.org/10.2337/diacare.21.10.1777a
- 10. Chang, X., Hong, W., Yu, H. and Yao, Y. (2017) Chorea Associated with Nonketotic Hyperglycemia: A Case Report with Atypical Imaging Changes. Medicine (Baltimore), 96, e8602. https://doi.org/10.1097/MD.0000000000008602
- 11. Kandiah, N., Tan, K., Lim, C.C. and Venketasubramanian, N. (2009) Hyperglycemic Choreoathetosis: Role of the Putamen in Pathogenesis. Movement Disorders, 24, 915-919. https://doi.org/10.1002/mds.22277
- 12. Venkatesan, E.P., Ramadoss, K., Balakrishnan, R. and Prakash, B. (2014) Essential Thrombocythemia: Rare Cause of Chorea. Annals of Indian Academy of Neurology, 17, 106-107. https://doi.org/10.4103/0972-2327.128569
- 13. Liu, G., Chang, J., Liu, Z., Qiang, Q., Gu, C., Zhang, Y., et al. (2014) Chorea Disclosing a Polycythemia Vera. Neuropsychiatric Disease and Treatment, 10, 563-565. https://doi.org/10.2147/NDT.S60694

