Case Reports in Clinical Medicine
Vol.05 No.11(2016), Article ID:71979,57 pages
10.4236/crcm.2016.511061
“Burnt-Out” Endomyocardial Fibrosis ―An Overview
Ramachandran Muthiah
Thoothukudi Medical College Hospital, Thoothukudi, India

Copyright © 2016 by author and Scientific Research Publishing Inc.
This work is licensed under the Creative Commons Attribution International License (CC BY 4.0).
http://creativecommons.org/licenses/by/4.0/



Received: October 18, 2016; Accepted: November 11, 2016; Published: November 14, 2016
ABSTRACT
Tropical endomyocardial fibrosis (EMF) is a public health problem affecting the children, young adults and elderly individuals in an epidemic fashion in the coastal districts of south India. Due to lack of resources for research in these endemic areas, its etiology remains elusive and hypotheses ranging from infections and allergic causes to malnutrition and toxins have not been tested rigorously. The disease is characterized by endocardial fibrosis and the right ventricle is the cardiac chamber most frequently affected. Patients may present clinically with heart failure and an associated AV (atrioventricular) valve regurgitation is common. Several features of the advanced disease called as “burnt-out” stage of endomyocardial fibrosis (EMF) are not fully understood. Background of these case studies described the clinical presentation, echocardiographic features and management of this late stage of the disease.
Keywords:
Endomyocardial Fibrosis, Burnt-Out Stage, Pericardial Effusion, Endocardial Calcification, “Cobra-Head” Fibrosis

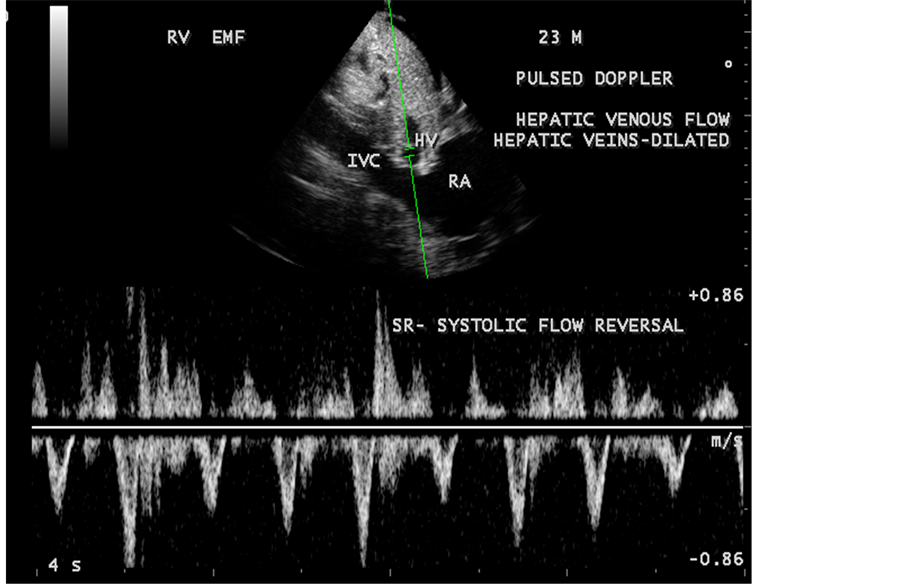
1. Introduction
Endomyocardial fibrosis (EMF) is an active and progressive disease, characterized by patchy fibrosis of endocardial surface of the heart. It was first described in West African troops serving in the Middle East and in indigenous African subjects in Uganda. It can be thought of in the same general pattern of behavior as rheumatic heart disease and increasingly recognized in the tropical and subtropical regions of the world within 15 degrees of the equator. The epidemiology of EMF is a “vanishing mystery” in the southern districts of India and the coastal belt of Thoothukudi in Tamil Nadu state is the “hot spot” for this enigmatic disease. It is the commonest cause of restrictive cardiomyopathy in Africa and worldwide and discussed as a neglected tropical disease [1] .
Review of Literature
In 1938, Arthur Williams, the foundation professor of medicine at Makerere University, Kampala, Uganda described two cases of mitral incompetence and correlated with large patches of fibrosis affecting the ventricular walls at necropsy and it is the earliest documentation of EMF in the literature. A pathologist, Jack N. P. Davis first coined the term “endomyocardial fibrosis” (EMF) while working at Mulagu hospital in Uganda and said that “he had met a new disease” [2] and it accounted for 15% of the deaths due to congestive heart failure in that hospital and delineated the clinico-pathologic features of this new restrictive cardiomyopathy and its distribution in Africa [3] in 1954 at a Royal society meeting, still called as “Davies disease” by some authors [4] . Endomyocardial fibrosis (EMF) was first reported from India at Christian Medical college, Vellore by J. D. Ball in 1953. The highest prevalence of the disease remains in the region of sub-Saharan Africa and a study in rural area of Mozambique showed that 20% of a random sample of 1063 subjects of all age groups had echocardiographic evidence of this disease with a male preponderance [5] .
The natural history of EMF is not completely understood and the disease usually comes to clinical attention in the late, chronic, burnt-out phase after remaining asymptomatic for long periods and so these cases have been reported.
2. Case Reports
Case 1. (Right ventricular endomyocardial fibrosis in psoriasis)
A 52-year-old male was admitted with symptoms of cough and breathlessness for 6 months duration. He had sudden onset of itchy skin lesions on the trunk and extremities for one month duration following the respiratory infection. Blood chemistry, ECG and X-ray chest were normal. Serum ASO (anti-streptolysin O) titer was negative. Physical examination revealed numerous, itchy, drop-shaped small salmon-pink papules, 1 - 10 mm in diameter, scaly and covered with silvery-white “micaceous scales”, predominantly seen on the trunk and limbs as shown in Figure 1 and Figure 2, suggesting the “Guttate Psoriasis”. It appears suddenly, 2 - 3 weeks after an episode of upper respiratory infection caused by group A beta-hemolytic streptococcal infection. On scratching, pinpoint bleeding occurs when the scales are removed (Auspitz’s sign) and the lesions are induced by trauma to the skin (Koebner phenomenon). It is an immune-mediated inflammatory disease that causes an increase in epidermal cell turnover with hyperproliferation of keratinocytes. The environmental, genetic and immunological factors play a role in its pathogenesis.
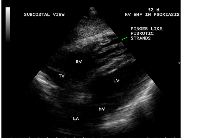
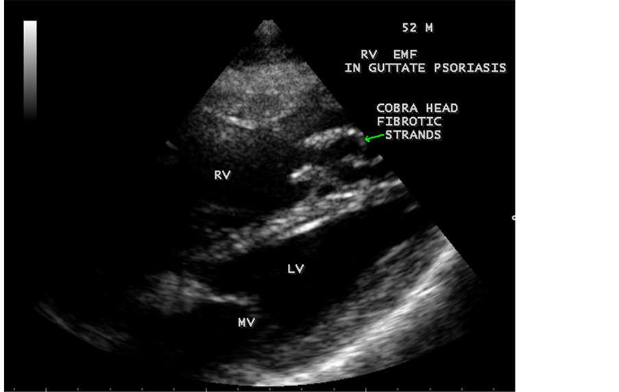
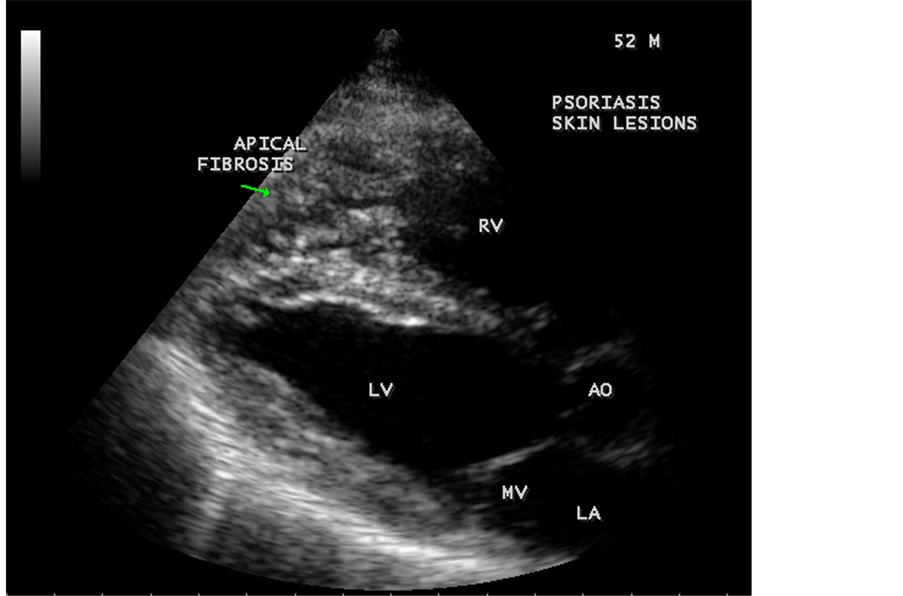
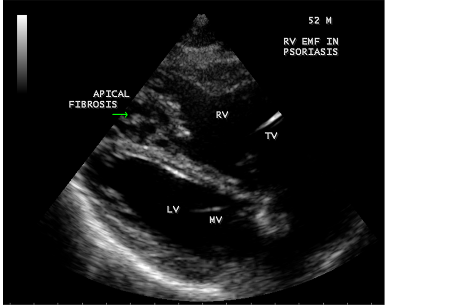
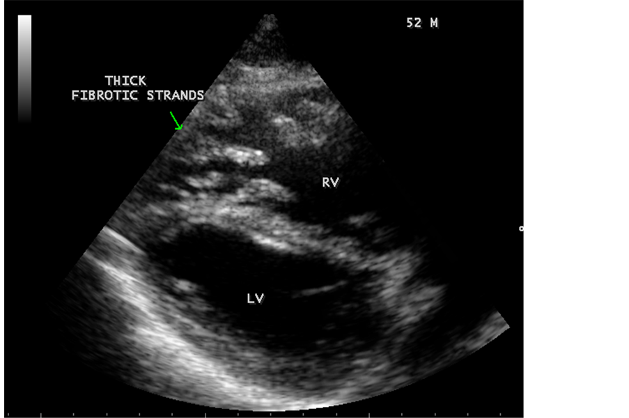
Transthoracic echocardiography revealed strong fibrous strands appearing as “finger like projections” or “cobra-head” appearance in the right ventricular apex due to fibrosis of muscular trabeculae, suggesting right ventricular endomyocardial fibrosis as shown in Figure 3 to Figure 7.
Figure 1. Guttate Psoriasis on the trunk and extremities in a 52-year-old male (Photo image taken with consent).
Figure 2. Guttate Psorisis in the back of trunk and extremities in a 52-year-old male (Photo image taken with consent).
Figure 3. Subcostal view showing the “finger like” projections of fibrous strands in the RV (right ventricular) apex suggesting Right ventricular endomyocardial fibrosis in a 52-year-old male with psoriasis.
Figure 4. Tilted apical view showing the “cobra-head” appearance of fibrous strands suggesting right ventricular endomyocardial fibrosis in a 52-year-old male with Psoriasis.
Figure 5. Parasternal long axis view showing the RV (right ventricular) apical fibrosis in a 52-year-old male with psoriasis.
Figure 6. Dense fibrosis in RV apex in Psoriasis in a 52-year-old male.
Figure 7. Thick fibrotic stands in RV apex due to fibrosis of muscular trabeculae in Psoriasis.
The patient was advised daily sun exposure, sea bathing (balneotherapy), topical moisturizers such as petrolatum jelly and a combination therapy with vitamin D analog (calcipotriol and calcipotriene) or retinoid (tazarotene) and topical steroid ointments. Psoralen is a photosensitizer for either topical (bath) or systemic use. Systemic therapy for severe cases include non-biological (retinoids (acetretin), immunosuppressives (cyclosporine or azathioprine)) and biological (protein with pharmacological activity) agents. Guttate Psoriasis is responsive to phototherapy and therapies such as UVB (short wave ultraviolet B) and PUVA (psoralen and ultraviolet A (long wave) radiation) have low efficacy and may increase the risk of malignancies such as squamous cell carcinoma and malignant melanoma. Drugs such as chloroquine, beta-blockers, aspirin or other NSAIDS (non-steroidal anti-inflammatory drugs) should be avoided. Drugs targeted on T cells (since psoriasis is related to excess T cell activity) such as efalizumab and alefacept were withdrawn since they result in progressive multifocal leukoencephalpathy.
The respiratory infection was treated with azithromycin 500 mg daily for 5 days. Psoriasis is a manifestation of EMF or both conditions result from the same etiopathological mechanisms are yet to be evaluated.
Case 2. (Right ventricular endomyocardial fibrosis in tuberculosis)
A 23-year-old male was admitted with sudden onset of ascites for one month duration. He was treated for pulmonary tuberculosis 3 years back with a positive sputum AFB (acid fast bacilli). Blood chemistry revealed as (Total count-7400 cells/cu∙mm of blood (normal-4000 to 11,000 cells/cu.mm of blood), polymorphs-70% (normal-40% to 75%), lymphocytes-22% (normal-20% to 40%), eosinophils-8% (normal-1% to 4%), ESR (erythrocyte sedimentation rate)-10 to 22 mm/hour (normal-0 to 15 mm/hour), platelets-2.5 lakhs/cu∙mm of blood and a mild elevation of serum bilirubin-total-2 mg/dl (normal―up to 1.2 mg/dl) direct-1.2 mg% (normal―up to―0.3 mg/dl), indirect- 0.8 mg% (normal-up to 0.9 mg/dl). Total serum proteins 5.2 gm% (normal-6.6 to 8.3 gm/dl), albumin-3.2 gm% (normal-3.5 to 5.0 gm/dl), globulin-2.0 gm% (normal 2.5 to 3.5 gm/dl), urea-39 mg% (normal 15 - 50 mg/dl), creatinine-0.1 mg% (normal-0.7 to 1.4 mg/dl), sugar-112 mg/dl random (normal-80 to 120 mg/dl-random sample). Ascites fluid tapping revealed an exudate (protein-3 gm%) and cytology revealed no malignant cells. Ascites fluid adenosine deaminase (ADA) activity revealed 10.4 U/L (normal <40 U/L). Physical examination revealed skeletal muscle wasting below the clavicles, elevated Jugular venous pressure (JVP) up to ear lobe with a prominent V wave, ascites and mild pedal edema as shown in Figure 8. His pulse rate was 108 bpm and blood
Figure 8. Physical appearance of RV EMF in “burnt-out stage” with heart failure, ascites and skeletal muscle wasting due to fibrosis in a 23-year-old male in tuberculosis (Photo image taken with consent) ( [25] , Figure 5(e); [33] , Figure 3(e)).
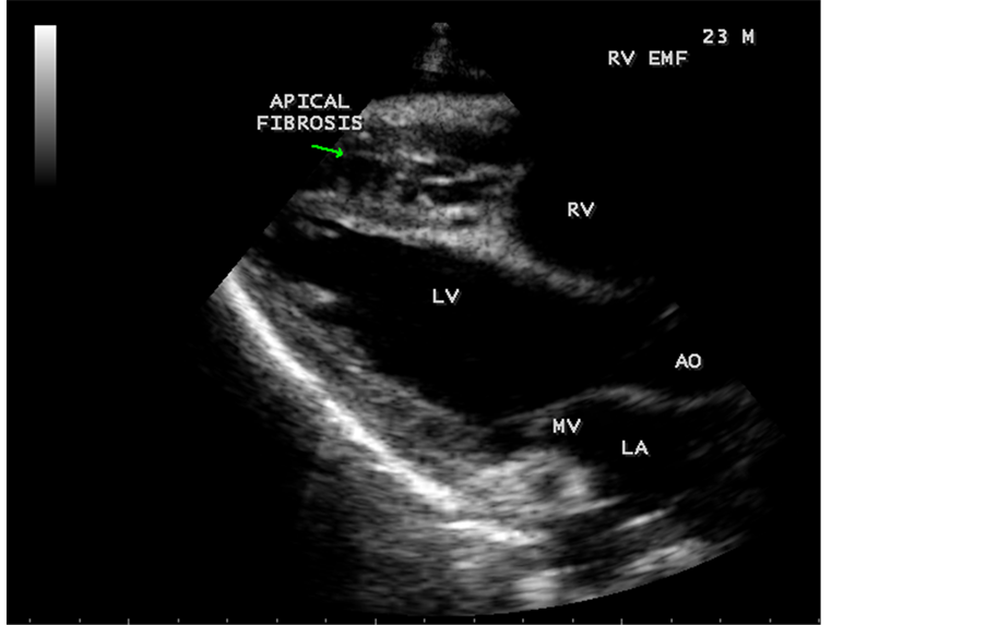
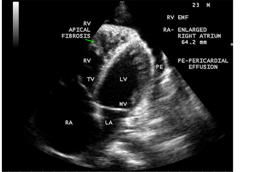
pressure 100/70 mmHg. Auscultation revealed diminished breath sounds on the right side of the chest with a dull note on percussion and a loud P2 (pulmonic component of second heart sound) with grade 2/6 soft systolic murmur over the lower left sternal border which increases in intensity with deep inspiration (Carvallo’s sign) suggesting tricuspid regurgitation. ECG revealed no arrhythmias and X-ray chest showed right- sided pleural effusion and extensive calcification over the cardiac shadow as shown in Figure 9. Transthoracic echocardiography revealed apical fibrosis of right ventricle, moderate pericardial effusion, right atrial dilatation as shown in Figure 10 and Figure 12, suggesting right ventricular endomyocardial fibrosis and severe tricuspid regurgitation as in Figure 11, Figure 13 and Figure 14 indicates coexisting pulmonary hypertension due to pulmonary damage caused by tuberculosis as shown in Figure 13 and free RV outflow tract as in Figure 15. Patient was treated with antituberculous drugs, antifailure measures such as digoxin and diuretics, ascites fluid tapping and antibiotics. He showed mild improvement in his symptoms.
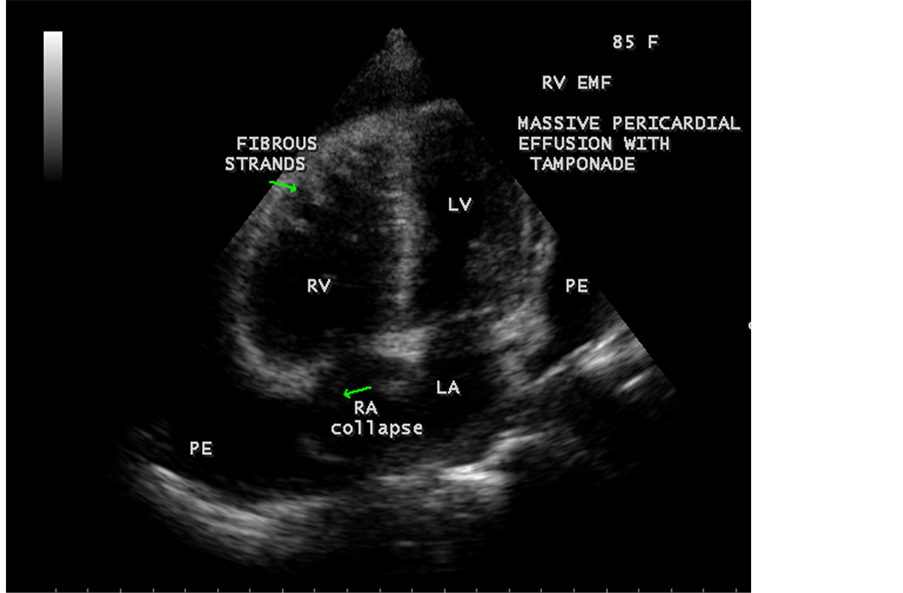
Case 3. (Right ventricular endomyocardial fibrosis with massive pericardial effusion in an 85-year-old female).
A 85-year-old obese female was admitted in the cardiac intensive care unit with sudden onset of breathlessness. X-ray chest revealed massive pericardial effusion with calcification in the right ventricular region as shown in Figure 16. ECG revealed low voltage complexes. Blood chemistry revealed normal. Transthoracic echocardiography revealed large pericardial effusion with Right ventricular apical fibrosis, suggesting right ventricular endomyocardial fibrosis as shown in Figure 17 with tamponade physiology as in Figure 18 and treated with pericardiocentesis and pericardial fluid revealed an exudate on biochemical analysis.
Figure 9. X-ray chest PA (postero-anterior) view showing right-sided pleural effusion and endocardial calcification over the left ventricle in burn-out stage of EMF (endomyocardial fibrosis). ( [18] , Figure 2―left sided pleural effusion; [24] , Figure 2(a); [25] , Figure 2(c)).
Figure 10. Parasternal long axis view showing RV (right ventricular) apical fibrosis suggesting EMF (endomyocardial fibrosis) in a 23-year-old male with tuberculosis.
Figure 11. Apical four chamber view suggesting RV (right ventricular) apical fibrosis, RA dilatation and severe tricuspid regurgitation suggesting right ventricular endomyocardial fibrosis with an extension of fibrosis in the LV apex.
Figure 12. Apical four chamber view showing the RV apical fibrosis with mild pericardial effusion in a 23-year-old male with tuberculosis.
Figure 13. CW (continuous wave Doppler) showing the tricuspid jet velocity 3.76 m/s with Pulmonary artery systolic pressure of 67 mmHg (4 × V2 (3.76 m/s)2) + RA pressure (10 mmHg), suggesting pulmonary hypertension due to coexisting lung disease (tuberculosis) in RV EMF with fibrosis extending to LV apex.
Figure 14. Pulsed Doppler showing systolic flow reversal in hepatic venous flow due to severe tricuspid regurgitation and dilated hepatic veins.
Figure 15. RV outflow tract (RVOT) is free of fibrosis and fibrous strands stand as ridge in Endomyocardial fibrosis with tuberculosis.
Figure 16. X-ray chest PA view showing massive pericardial effusion in an 85-year-old female with endocardial calcification in the right ventricle suggesting the burnt-out stage of endomyocardial fibrosis.
Figure 17. Apical four chamber view suggesting RV apical fibrosis with massive pericardial effusion.
Figure 18. Pulsed-doppler imaging showing tamponade physiology.
Case 4. Right ventricular endomyocardial fibrosis presented with atrial fibrillation in a 62-year-old female as shown in Figure 19 and Figure 20.
Case 5. Right ventricular EMF presented with complete heart block in a 75-year-old female as shown in Figure 21 and Figure 22.
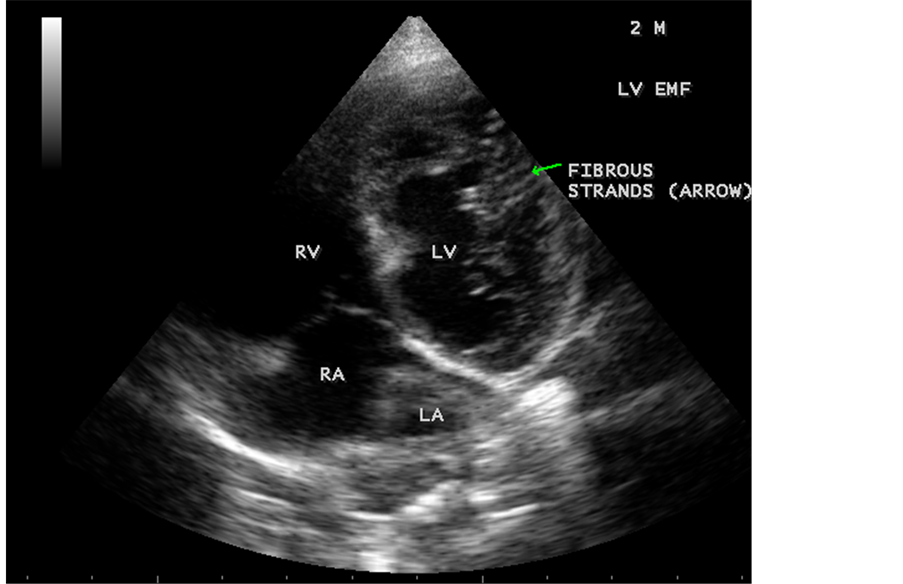
Case 6. Left ventricular endomyocardial fibrosis mimicking as Apical left ventricular hypertrophic cardiomyopathy in a 2-year-old male child as shown in Figure 23, Figure 24 and Figure 25.
Case 7. Apical right ventricular hypertrophic cardiomyopathy in a 60-year-old female mimicking as right ventricular EMF as shown in Figure 26.
Case 8. Left ventricular endomyocardial fibrosis coexisting with RHD (rheumatic heart disease) in a 60-year-old male as shown in Figure 27 and Figure 28.
The other echocardiographic manifestations of burnt-out endomyocardial fibrosis are shown in Figure 29 to Figure 84.
3. Discussion
3.1. Etiopathogenesis
The majority of EMF cases are reported from low-lying humid parts of tropical countries. Cases have been clustered along the coastal forests In Tanzania and Mozambique [6] , the coastal districts in south India and in China, the largest number of case reports from southern province of Guangxi [7] .
Figure 19. ECG Showing atrial fibrillation in a 62-year-old female with Right ventricular endomyocardial fibrosis.
The underlying etiology and its unique geographic distribution remain a great mystery in cardiology [8] . The proposed causes of endomyocardial fibrosis are listed in Table 1 given below, but none of these causes could establish itself as the reason for this enigmatic disease [9] .
Table 1. Proposed causes of endomyocardial fibrosis.
Figure 20. Apical four chamber view showing right ventricular EMF with apical fibrosis and tricuspid regurgitation in a 62-year-old female. Fibrotic plaque lesion is characterized by firm, rolled edge with rugose surface with a mushroom appearance and thus differentiating from Apical right ventricular hypertrophic cardiomyopathy as shown in Figure 26.
Figure 21. ECG showing complete heart block in a 75-year-old female with right ventricular EMF.
Figure 22. Apical four chamber view showing right ventricular EMF with apical fibrosis in a 75-year-old female.
Figure 23. Left ventricular endomyocardial fibrosis mimicking as apical left ventricular hypertrophic cardiomyopathy in a 2-year-old male child.
Figure 24. Apical four chamber view showing the endocardial fibrosis of the left ventricle in a 2-year-old male child.
Figure 25. Apical four chamber view showing diffuse endocardial fibrosis of left ventricle in 2-year-old male child.
Figure 26. Apical Right ventricular (RV) hypertrophic cardiomyopathy (asymmetric RV apical thickness of 30 mm) mimicking as right ventricular endomyocardial fibrosis in a 60-year-old female. (firm, rolled edge and a rugose surface, a characteristic feature of EMF plaque lesion is not seen and mild tricuspid regurgitation is an associated feature of apical HCM due to tricuspid valve changes).
Figure 27. Showing the thickening and calcification of mitral leaflets with flail Posterior mitral leaflet suggesting rheumatic involvement in a 60-year-old male.
Figure 28. Showing the mitral regurgitation due to PML (posterior mitral leaflet) involvement in a 60-year-old male.
Figure 29. 2D Echocardiographic imaging showing massive pericardial effusion with “cobra- head” fibrous strands in the pericardial sac suggesting the burnt- out stage of endomyocardial fibrosis in a 60-year-old male.
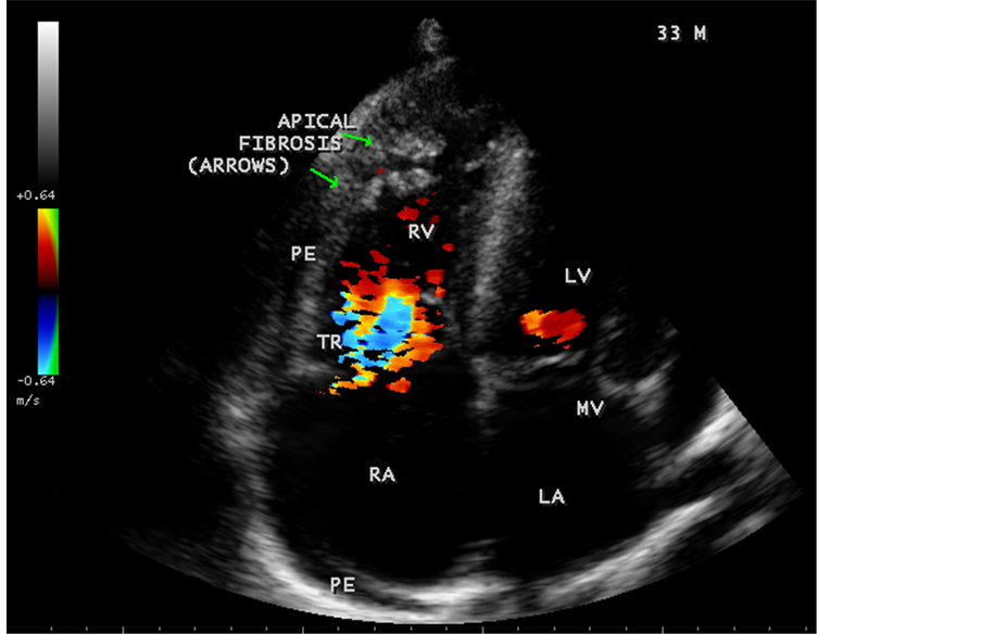
Figure 30. Showing thick fibrous strands in the right ventricle with mild pericardial effusion suggesting right ventricular endomyocardial fibrosis in a 33-year-old male.
Figure 31. Showing tricuspid regurgitation with thick fibrous strands in the Right ventricle in a 33-year-old male in RV EMF.
Figure 32. Endomyocardial fibrosis with aneurysmal right ventricle in a 67-year-old male with RV apical fibrosis.
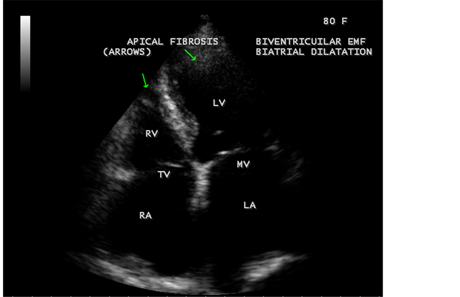
Figure 33. Endomyocardial fibrosis with biatrial enlargement in an 80-year-old female suggesting biventricular EMF ( [18] , Figure 4).
Figure 34. Biventricular EMF showing AV (atrioventricular) valve regurgitation in a 67-year-old male.
Figure 35. Endomyocardial fibrosis showing thick fibrous strands in the right atrium in a 32- year-old male and a dilated right atrium.
Figure 36. Endomyocardial fibrosis showing SEC (spontaneous echo contrast or smoke) in the right atrium in a 32-year-old male ( [18] , Figure 3).
Figure 37. Endomyocardial fibrosis presented with dilated cardiomyopathy with RV apical fibrosis in a 11-year-old male child.
Figure 38. Endomyocardial Fibrosis presented with Dilated cardiomyopathy with RV apical fibrosis in a 13-year-old male
Figure 39. Right ventricular Endomyocardial fibrosis mimicking as Ebstein anomaly in a 32- year-old male. (subendocardial inflammation spreads to endocardium and results in formation of mural thrombi, which becomes organized and undergo fibrotic change, usually begins in the delicate inflow tract and involves the apex. The apical obliteration and subvalvular fibrosis reduces the size of RV cavity leading to an apparent downward displacement of tricuspid valve which is exaggerated by giant right atrium and mimic Ebstein’s anomaly).
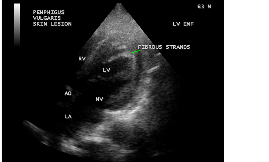
Figure 40. Left ventricular endomyocardial fibrosis in Pemphigus skin lesions in a 63-year-old male. (Pemphigus is an autoimmune blistering disease of skin and mucous membranes, characterized by intraepidermal blisters and immunologically mediated by circulating immunoglobulin G autoantibodies directed against the keratinocyte cell surfaces. Therapy is directed to reduce inflammation and antibody production by corticosteroids and immunosuppressants).
Figure 41. Endomyocardial fibrosis with biventricular enlargement in a 50-year-old female and tricuspid annular retraction.
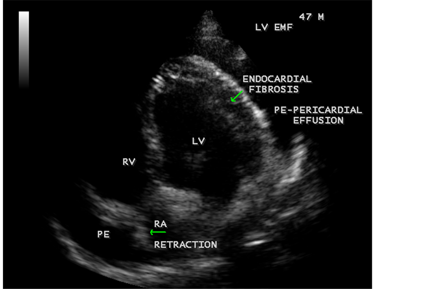
Figure 42. Showing Endomyocardial fibrosis with moderate pericardial effusion and right atrial notch (RA retraction) in a 47-year-old male.
Figure 43. Endomyocardial fibrosis showing subtricuspid fibrosis, aneurysmal right ventricle, mild pericardial effusion and right atrial notch (RA retraction) in a 14-year-old male.
Figure 44. Showing mild pericardial effusion is an initial manifestation of Endomyocardial fibrosis in a 67-year-old male.
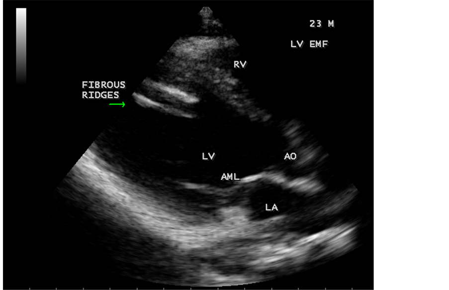
Figure 45. Endomyocardial fibrosis showing thickening of LV tendons seen as fibrous ridges as an initial manifestation of LV EMF in a 23-year-old male.
Figure 46. Showing RV EMF with fibrosed and thickenned moderator band in a 16-year-old female in cardiac type TAPVC (total anomalous pulmonary venous connection) with ASD (atrial septal defect).
Figure 47. RV EMF with ostium secundum atrial septal defect (ASD) in a 26-year-old female antenatally (Primi with 9 months amenorrhea).
Figure 48. RV EMF with ASD showing tricuspid regurgitation in a 26-year-old female antenatally (Primi with 9 months amenorrhea).
Figure 49. RV EMF with ASD in a 26-year-old female antenatally (Primi with 9 months amenorrhea).
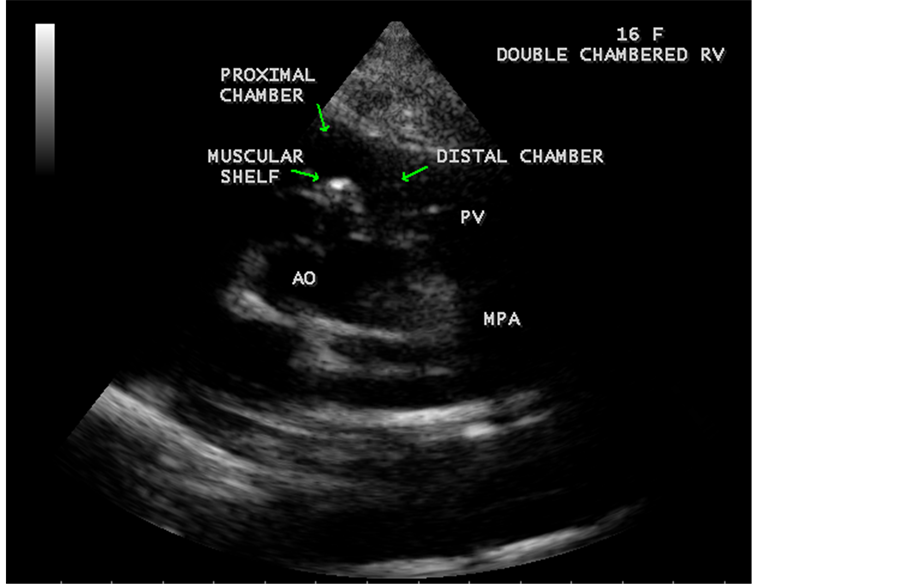
Figure 50. RV EMF in a 16-year-old female―associated with RVOT (RV outflow tract) disease― DCRV (double-chambered RV) as shown in Figure 51, Figure 52 and Figure 53.
Figure 51. Showing “Double chambered right ventricle” in a 16-year-old female.
Figure 52. Showing the muscular shelf of DCRV (double chambered right ventricle) in a 16-year- old female.
Figure 53. Showing the turbulence of flow originating from the muscular narrowing in a 16- year-old female in DCRV.
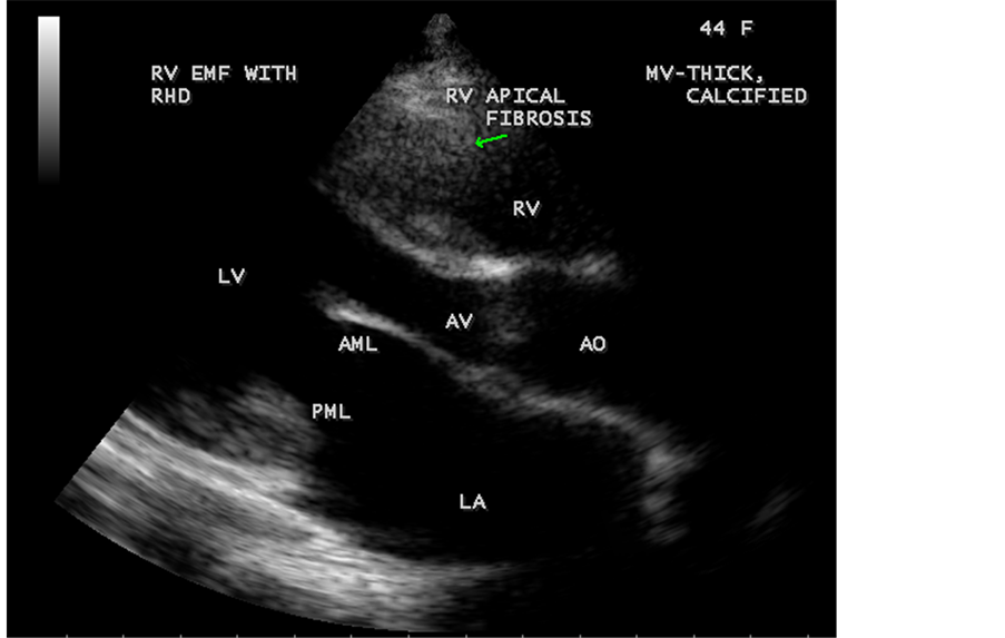
Figure 54. RV EMF with Rheumatic mitral valve involvement in a 44-year-old female―Paras- ternal long axis view. Mital valve (AML―anterior mitral leaflet, PML―posterior mitral leaflet) is thickenned and calcified.
Figure 55. RV EMF with Rheumatic mitral valve involvement in a 44-year-old female-apical four chamber view.
Figure 56. Biatrial enlargement in a 54-year-old female due to rheumatic AV (atrioventricular― mitral, tricuspid valves) involvement mimicking biatrial enlargement due to EMF as shown in Figure 33.
Figure 57. Biatrial enlargement due to rheumatic AV (atrioventricular) valve stenosis (mitral stenosis, tricuspid stenosis)―in contrast to EMF as shown in Figure 34 which is associated with AV valve regurgitation.
Figure 58. Showing the rheumatic tricuspid stenosis and tricuspid regurgitation jets in a 54-year- old female.
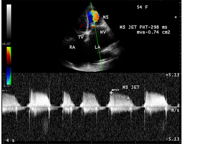
Figure 59. Showing the severe rheumatic mitral stenosis jet in a 54-year-old female.
Figure 60. RV EMF with mild pericardial effusion and mitral valve involvement in a 55-year-old male with AV (atrioventricular) valve regurgitation. TR-tricuspid regurgitation, MR-mitral regurgitation.
Figure 61. RV EMF with Apical left ventricular hypertrophic cardiomyopathy in a 47-year-old male. LV-spade shaped with ECG changes of LVH (left ventricular hypertrophy) pattern.
Figure 62. RV EMF with Apical left ventricular hypertrophic cardiomyopathy in a 65-year-old female.
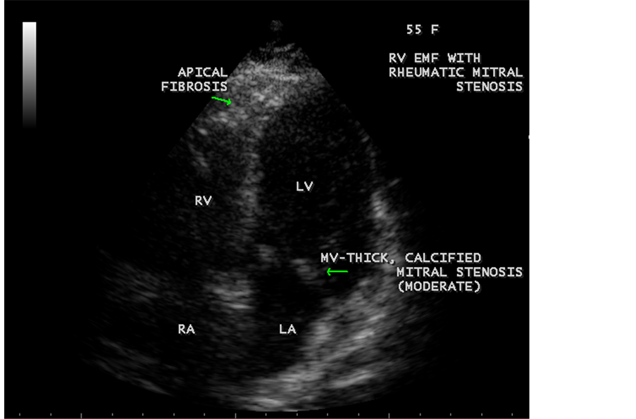
Figure 63. RV EMF associated with rheumatic mitral stenosis in a 55-year-old female.
Figure 64. RV EMF associated with ostium secundum atrial septal defect with rheumatic mitral valve involvement in a 9-year-old female with positive serum ASO titer (anti-streptolysin O).
Figure 65. RV EMF with ASD (atrial septal defect) in a 9-year-old female.
Figure 66. RV EMF with ASD-mimic Ebstein’s anomaly in a 9-year-old female (apical fibrosis extending to tricuspid valve and the valve is tethered with fibrosis and mimic Ebstein’s malformation of the tricuspid valve and the right ventricle (RV) is dilated due to left to right shunt).
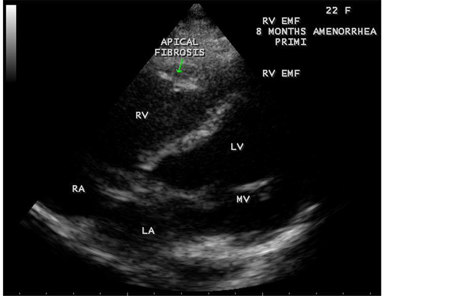
Figure 67. RV EMF in a 22-year-old female antenatally (8 months amenorrhea-primigravida).
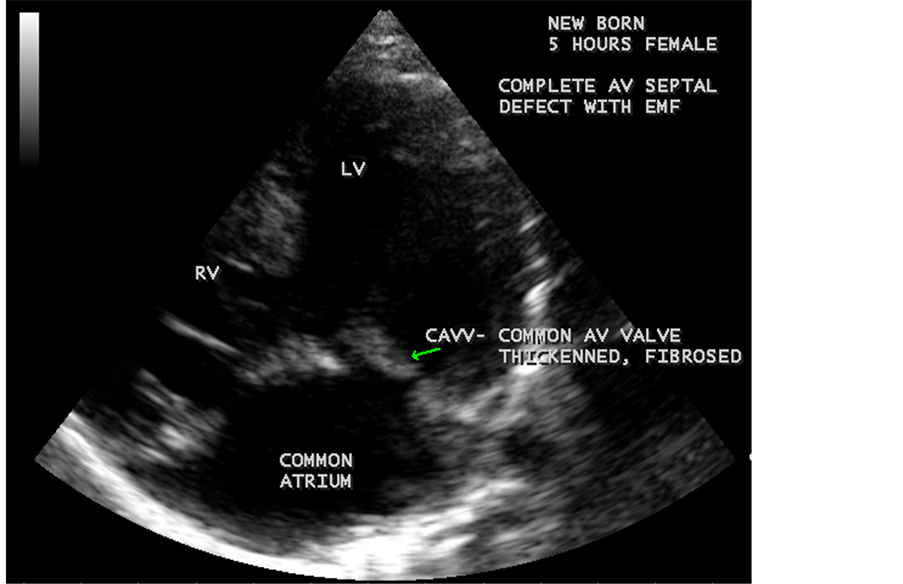
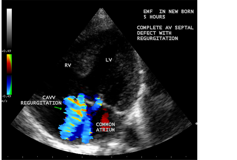
Figure 68. Showing the complete AV septal defect with fibrosis of CAVV (common AV valve) in a new born with EMF.
Figure 69. Showing the common AV (atrioventricular) valve which is thickenned and fibrosed in a newborn with EMF (endomyocardial fibrosis).
Figure 70. Showing the calcification of CAVV (common AV valve) and endocardial calcification of left ventricle in complete AV septal defect with EMF in new born.
Figure 71. Showing the subvalvular fibrosis of the CAVV (common AV valve) in EMF.
Figure 72. Showing the CAVV (common AV valve) regurgitation in new born.
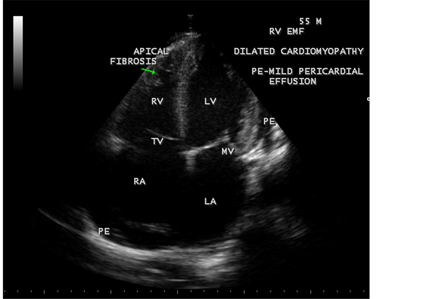
Figure 73. Showing the dilated cardiomyopathy in a 55-year-old male in EMF.
Figure 74. RV EMF with aneurysmal LV in a 56-year-old female.
Figure 75. EMF with papillary muscle fibrosis, aneurysmal LV and smoke (spontaneous echo contrast) in a 56-year-old female.
Figure 76. Showing the RV EMF-“burnt out stage” in a 42-year-old male with massive ascites (Photo image taken with consent).
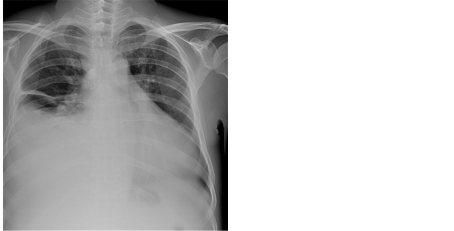
Figure 77. X-ray chest PA (postero-anterior view) showing right sided pleural effusion and cardiomegaly suggesting the aneurysmal LV (left ventricle) in RV EMF in a 42-year-old male.
Figure 78. Parasternal long axis view showing RV apical fibrosis and aneurysmal LV (left ventricle) in a 42-year-old male.
Figure 79. Tilted apical view showing the AV valve regurgitation with smoke (spontaneous echo contrast) in both ventricles in EMF in a 42-year-old male.
Figure 80. Showing the dilated hepatic veins in RV EMF in a 42-year-old male.
Figure 81. Tilted apical view showing the fibrous ridges of EMF in a 42-year-old male.
Figure 82. Tilted apical view showing the RV apical fibrosis and smoke (spontaneous echo contrast) in the left ventricle in a 42-year-old male.
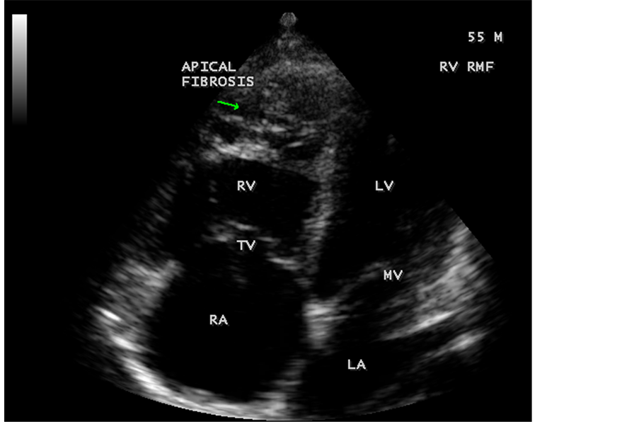
Figure 83. Classical RV EMF with apical fibrosis in a 55-year-old male.
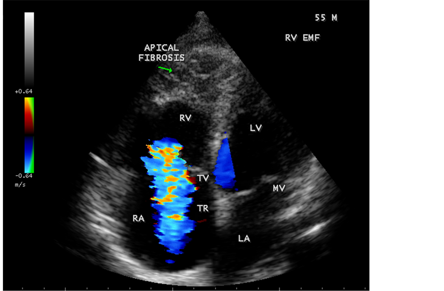
Figure 84. Classical RV EMF with apical fibrosis and tricuspid regurgitation in a 55-year-old male.
Researches in African populations showed a high prevalence of anti-heart antibodies in EMF patients when compared to those with rheumatic heart disease and it is not clear whether these autoantibodies are the cause or the result of EMF. In Mozambique, when the serum of patients were tested for the presence of anti-myocardial proteins [10] , an increased immunoglobulins G and M reactivity were detected in EMF patients [11] . The role of infectious agents appear as possible causes or triggers for this disease [12] , however, no specific organism has been consistently associated with endomyocardial fibrosis.
Presence of interstitial fibrosis, myohypertrophy, and calcification suggest a role of cytokines in its genesis [13] [14] . The inflammatory response occurring in the younger age group could manifest as calcification in the later years. Dominant right ventricular involvement, argues for toxic factors which are removed in the lungs or a factor which affects the heart when the right ventricle is dominant or predisposed, as during in utero life since the right ventricle receives most of the umbilical venous return.
3.2. Clinical Presentation
Davies described three phases of the disease in his patients from Uganda. The initial phase is an acute carditis phase, starts as a febrile episode with facial swelling and in severe cases with heart failure, progress into subacute and chronic burnt-out phase. The condition is associated with fibrosis of endocardium of right and left ventricles, involving predominantly the apices and inflow regions, resulting in impaired filling, valvular regurgitation owing to frequent involvement of papillary muscles with tethering to ventricular walls. Endocardial lesions in EMF may evolve into necrotic, thrombotic and fibrotic stages as proposed by Olsen in Uganda. Most patients have rapidly progressive heart failure, leading to death within 2 years of the initial insult [15] . However, some patients may have a steady period without any clinical deterioration and recently a high prevalence of predominantly asymptomatic cases occurred in Mozambique [16] , others may experience remissions of the clinical signs with no further progression.
When the endocardium is replaced by collagenous fibrosis (consists of collagen deposition and fibroblast proliferation), the final fibrotic stage is reached after several years of disease activity. Fibrotic obliteration of the apices of the affected ventricles is the hallmark of the disorder and fibrosis involving the papillary muscles and chordae tendineae leading to atrioventricular valve distortion and regurgitation. In the left ventricle, the fibrosis extends from the apex to the posterior mitral leaflet, usually sparing the anterior mitral leaflet and outflow tract and cause PML (posterior mitral leaflet) distortion and regurgitation. Like the peculiar geographical distribution, the fibrotic endomyocardial involvement stops short of the ventricular outflow tract like a ridge [17] as shown in Figure 15, Figure 29, Figure 31, Figure 35 and Figure 45. The fibrotic tissue often creates a nidus for thrombus formation, which can be extensive. Atrial thrombi also occur and the right atrium may be aneurysmally dilated. Aneurysmal right atrium with spontaneous echo contrast was detected in a 32-year-old male as shown in Figure 36 ( [18] , Figure 3]). In addition, there are fibrosis and granular septation extending into the underlying myocardial tissue and myocyte hypertrophy is common [19] . Fibrotic process causes tethering of leaflets into ventricular walls and may mimic Ebstein’s malformation as shown in Figure 39 and Figure 66 [20] [21] . Fibrosis increases the stiffness of the heart, resulting restrictive physiology, AV (atrioventricular) valve regurgitation which has been linked to atrial arrhythmias such as atrial fibrillation as shown in Figure 19 and Figure 20 in a 62-year-old female. Atrial fibrillation has been reported in more than 30% of patients with EMF. Fibrosis impairs activation patterns of the conduction system and may provide substrate for wave breaks and reentry [22] . Fibrosis reduces conduction velocity and cause conduction abnormalities like junctional rhythms, heart blocks as shown in Figure 21 and Figure 22 in a 75-year- old female and atrioventricular conduction delay [23] .
Endocardial calcific deposits can be present, involving diffuse areas of the ventricles and Cockshott et al. described this feature in 1967. Calcification, an impressive finding on imaging denotes a burnt-out phase of endomyocardial fibrosis (EMF) and confirming the malignant nature of the disease. Chest X-rays show varying degrees of cardiomegaly and at times typical endocardial calcifications in the left and right ventricles as shown in Figure 9 (left ventricular endocardial calcification) ( [24] , Figure 2(a)) and in Figure 16 (right ventricular endocardial calcification) ( [25] , Figure 2(c) shows calcification in both ventricles) [26] .
A large pericardial effusion is often present and noted as another peculiar feature of this disease [27] . Pericardial effusion and ascites dominate the clinical picture of right ventricular EMF [28] [29] [30] . Etiology of pericardial effusion is possibly inflammatory and EMF is to be considered as “pancarditis” since all the layers are involved. Adhesions between the parietal and visceral layers of the pericardial sac may develop and visible as strong fibrotic strands as shown in Figure 29. A right ventricular EMF presented with massive pericardial effusion was detected in a 85-year-old female as shown in Figure 16, Figure 17 and Figure 18 [31] . Cardiomegaly can be exaggerated by pericardial effusion, and pleural effusion is also a common finding as shown in Figure 9 ( [16] , Figure 2).
Giant ascites in EMF is not fully explained by congestion alone and it is due to peritoneal inflammation and reduced reabsorption of peritoneal fluid, caused by fibrosis since the fluid is an exudate with predominant lymphocytes. The triad of elevated JVP (Jugular venous pressure), ascites and hepatomegaly formed the hallmark of right ventricular EMF.
Progression to generalized edema, hypoalbuminemia, cachexia, malnutrition, skeletal muscle fibrosis (fibrosis is also present in skeletal muscles, suggesting a generalized fibrotic process that would explain remarkable skeletal muscle atrophy present in some patients) [32] in advanced disease with hepatic dysfunction as shown in Figure 8 ( [33] , Figure 3(e)).
Endomyocardial Fibrosis may present as dilated cardiomyopathy in a child as shown in Figure 37 and Figure 38 [34] . In some cases, scattered areas of fibrosis in the submitral and subtricuspid regions (subvalvular fibrosis) as shown in Figure 43 and may cause valvular regurgitation. The valvular regurgitations occur in rheumatic heart disease and the differential features are given in Table 2. It may coexist with RHD (rheumatic heart disease) rarely as shown in Figure 28, Figure 54, Figure 55 and Figure 63 [35] .
3.3. Echocardiographic Features
Today echocardiography is used as the screening tool at the community level as the diagnosis of EMF could be confirmed at the bedside. Echocardiography accurately assesses the pathological abnormalities of chronic disease and it is the gold standard technique for the diagnosis of EMF [36] . It reveals dense endomyocardial echocardiograms along different parts of the mural and valvular endocardium and AV valve dysfunction [37] as shown in Figure 3 to Figure 7, Figure 10 to Figure 15, Figure 17, Figure 18, Figure 20 to Figure 75 and Figure 78 to Figure 84. The typical feature of EMF is the obliteration of trabecular portion of the ventricle and in advanced cases, there is shrinkage of the cavities creating an apical notch, regurgitation, slow flow with spontaneous echo contrast as in Figure 36 and considerable pericardial effusion. Similar to apical notch of right ventricle, a right atrial notch is well seen as contraction (or retraction) of tricuspid annulus as in Figure 41 and right atrial notch as in Figure 42 and Figure 43, indicating the retraction of right atrial cavity as a peculiar feature of right ventricular EMF. Biventricular enlargement as shown in Figure 41 and biatrial
Table 2. Differential features of EMF (endomyocardial fibrosis) and RHD (rheumatic heart disease.
enlargement as in Figure 33 are the characteristic features of advanced stage of EMF. The fibrosed muscular trabeculae extending into the cavities from the walls of the chambers in the right ventricle visible as “cobra heads” as in Figure 4 and in pericardial sac as in Figure 29. Aneurysmal right ventricle with scattered areas of fibrosis in the sub tricuspid region and a notch in the right atrium is well seen in a 14-year-old boy as in Figure 43. Right atrial notch is frequently noticed in EMF patients as shown in Figure 42 in a 47-year-old male with left ventricular EMF and moderate pericardial effusion.
The features of burnt-out EMF (endomyocardial fibrosis) are summarized in Table 3.
3.4. Screening of Population
A left ventricular EMF mimicking apical left ventricular hypertrophic cardiomyopathy as shown in Figure 23, Figure 24 and Figure 25 in a 2-year-old male child and an apical right ventricular hypertrophic cardiomyopathy in a 60-year-old female as shown in Figure 26 mimicking as right ventricular EMF had been found by Transthoracic echocardiographic screening. A right ventricular EMF associated with Psoriasis was shown in Figure 3 to Figure 7 in a 52-year-old male and a left ventricular EMF associated with pemphigus skin lesion in a 63-year-old male as in Figure 40 were detected in this region of Thoothukudi. RV EMF associated with congenital heart diseases such as ostium secundum atrial septal defect in a 26-year-old female antenatally (Primi with 9 months amenorrhea) as shown in Figure 49 and Figure 64 to Figure 66 in a 9-year- old girl. RV EMF associated with RV outflow tract disease (“Double chambered right
Table 3. Features of burnt-out EMF (endomyocardial fibrosis).
ventricle”) in a 16-year-old female as shown in Figure 50 to Figure 53 were detected. RV EMF with rheumatic involvement of mitral valve as shown in Figure 54 and Figure 55 in a 44-year-old female and in Figure 63 in a 55-year old female. Biatrial enlargement due to rheumatic atrioventricular (AV) valves (mitral and tricuspid) involvement characterized by stenosis of the valves are illustrated in Figure 56 to Figure 59 in a 54-year-old female and it is differentiated from EMF which is characterized by AV valve regurgitation as shown in Figure 34 and Figure 60. RV EMF associated with thickening and fibrosis of moderator band in a 16-year-old female was shown in Figure 46. RV EMF associated with apical left ventricular hypertrophic cardiomyopathy was shown in a 47-year-old male as in Figure 61 and in a 65-year-old female as in Figure 62.
RV EMF was detected antenatally in a 22-year-old woman with 8 months amenorrhea as in Figure 67. Endomyocardial fibrosis with left ventricular endocardial calcification and subvalvular fibrosis was detected in a new born with complete AV (atrioventricular) septal defect as shown in Figure 68 to Figure 72. EMF associated with fibrosis of papillary muscle and aneurysmal left ventricle is shown in Figure 74 and Figure 75 in a 56-year-old female. RV EMF associated with right sided pleural effusion, massive ascites and smoke (spontaneous echo contrast) in both ventricles are shown in Figure 76 to Figure 82 in a 42-year-old male. Classical case of RV EMF was shown in Figure 83 and Figure 84 in a 55-year-old male.
3.5. Outcome
The EMF is usually progressive and the time course of decline varies [38] . Since majority of cases come to attention in the advanced stage, survival rate is averaging about 2 years after the onset of symptoms [38] . Ascites and atrial fibrillation are the poor prognostic indicators [39] . Patients with right sided disease may remain asymptomatic for several years and the relative longevity is attributed to the capacity to maintain cardiac output with a mild increase in right atrial pressure [40] and the prognosis of patients with EMF depends on the extent and distribution of the disease in the cardiac chambers.
3.6. Management
3.6.1. Medical Treatment
Medical therapy is aimed to control the symptoms with amelioration of acute illness and to prevent and treat heart failure, arrhythmias and thromboembolism. In endemic areas, small doses of diuretics and antibiotics are helpful to treat the initiating febrile illness with facial swelling. Steroids have little or no influence on the natural course of EMF [41] and antifailure measures such as digitalis, diuretics, ACE (angiotensin converting enzyme) inhibitors are utilized to treat heart failure.
Patients with advanced disease may require invasive procedures to alleviate effusion and arrhythmias. Recurrent pericardial effusion can benefit from pericardio-pleural windows or pericardio-peritoneal shunts. Management of ascites relies on frequent evacuation of fluid by paracentesis with intravenous replacement of albumin at the time of procedure is used to compensate the protein loss [42] [43] .
Patients with atrial fibrillation and thrombus or SEC (spontaneous echo contrast) may need anticoagulant therapy with warfarin and antiplatelet agents (aspirin or clopidogrel) and AV blocks may require pacemaker implantation
3.6.2. Surgical Therapy
Surgery improves survival and must be performed before the occurrence of irreversible cardiac and hepatic damage [44] . In advanced stage of EMF, surgical decortications (conservative endocardiectomy) through a relatively well preserved cleavage plane to excise the thick fibrotic endocardial plaques by “coring” and valve repair or replacement. This procedure causes reduction in ventricular filling pressures, improvement in hemodynamic status, but the operative mortality is high (15% to 25%) [45] . Long- standing ascites, extensive fibrosis and calcification, impaired myocardial function are relative contra-indications for surgery. Recurrence of fibrosis may occur after surgery, but excellent long-term survival was observed in certain cases [46] .
Cardiac transplant was done in one patient [47] .
3.7. Investigational Therapy
The presence of inflammatory markers such as C-reactive protein, cytokines (IL-5, IL-6, TNF-α) suggest that anti-inflammatory agents can be used to control the febrile illness at the initial stage and to prevent the progression of the disease similar to the role of acetyl salicylic acid in rheumatic fever. EMF is an inflammatory disorder and the fusion protein, a tyrosine kinase created by fusion of PPGFRA and FIPILI genes, found as a therapeutic target for imatinib in idiopathic hypereosinophilic syndrome has been investigated in the treatment of EMF [48] . The use of Dopamine agonists in Parkinson’s disease induce valvular fibrosis through its action on 5HT (serotonin) 2B receptors and polymorphism in this receptor may cause EMF [49] . 5HT2B receptor blockers such as “terguride” may be helpful to inhibit the fibrotic process of EMF [50] .
4. Conclusion
Endomyocardial fibrosis continues to be an enigmatic disease [51] . The final common pathway causing the endothelial damage and fibrosis is to be evaluated [52] . It has been found that “burnt-out” stage of EMF was associated with skin disease such as Psoriasis, Pemphigus and pulmonary infection caused by tuberculosis, and concluding that EMF is an immunologically mediated disorder similar to rheumatic heart disease, following an infectious origin and the nature of infection varies in different geographical areas.
Cite this paper
Muthiah, R. (2016) “Burnt-Out” Endomyocardial Fibrosis―An Overview. Case Reports in Clinical Medicine, 5, 437-493. http://dx.doi.org/10.4236/crcm.2016.511061
References
- 1. Mocumbi, A.O., Yacoub, S. and Yacoub, M.H. (2008) Neglected Tropical Cardiomyopathies: II. Endomyocardial Fibrosis: Myocardial Disease. Heart, 94, 384-390.
http://dx.doi.org/10.1136/hrt.2007.136101 - 2. Ball, J.D., Williams, A.W. and Davies, J.N. (1954) Endomyocardial Fibrosis. The Lancet, 266, 1049-1054.
http://dx.doi.org/10.1016/S0140-6736(54)91619-0 - 3. William, A.W., Ball, J.D. and Davies, J.N. (1954) Endomyocardial Fibrosis in Africa: Its Diagnosis, Distribution, and Nature. Transactions of the Royal Society of Tropical Medicine and Hygiene, 48, 290-305.
http://dx.doi.org/10.1016/0035-9203(54)90100-5 - 4. Connor, D.H., Somers, K., Hutt, M.S.R., Manion, W.C. and D’Arbela, P.G. (1967) Endomyocardial Fibrosis in Uganda (Davies’ Disease) Part I. An Epidemiologic, Clinical, and Pathologic Study. American Heart Journal, 74, 687-709.
http://dx.doi.org/10.1016/0002-8703(67)90509-1 - 5. Mckinney, B. (1975) Studies on the Experimental Production of Endomyocardial Fibrosis and Cardiomegaly of Unknown Origin by Dietary Means. American Heart Journal, 90, 206-214.
http://dx.doi.org/10.1016/0002-8703(75)90121-0 - 6. Eling, W.M.C., Jerusalem, C.R., Heinen-Borries, U.J., Hermsen, C.C. and Run-Van Breda, J.J. (1988) Is Malaria Involved in the Pathogenesis of Tropical Endomyocardial Fibrosis? Acta Leidensia, 1, 47-52.
- 7. Andy, J.J., Ogunowo, P.O., Akpan, N.A., Odigwe, C.O., Ekanem, I.A. and Esin, R.A. (1998) Helminth Associated Hypereosinophilia and Tropical Endomyocardial Fibrosis (EMF) in Nigeria. Acta Tropica, 69, 127-140.
http://dx.doi.org/10.1016/S0001-706X(97)00125-3 - 8. Andy, J.J. (1983) Helminthiasis, the Hypereosinophilic Syndrome and Endomyocardial Fibrosis: Some Observations and a Hypothesis. African Journal of Medicine and Medical Sciences, 12, 155-164.
- 9. Marijon, E. and Ou, P. (2006) What Do We Know about Endomyocardial Fibrosis in Children Of Africa? Pediatric Cardiology, 27, 523-524.
http://dx.doi.org/10.1007/s00246-006-1262-y - 10. Ikeme, A.C. (1972) The Diagnosis of Endomyocardial Fibrosis. African Journal of Medicine And Medical Sciences, 3, 327-333.
- 11. Salemi, V.M.C., Rochitte, C.E., Barbosa, M.M. and Mady, C. (2005)Clinical and Echocardiographic Dissociation in a Patient with Right Ventricular Endomyocardial Fibrosis. Heart, 91, 1399.
http://dx.doi.org/10.1136/hrt.2005.063610 - 12. Mathai, A., Kartha, C.C. and Balakrishnan, K.G. (1986) Serum Immunoglobulins in Patients with Endomyocardial Fibrosis, Indian Heart Journal, 38, 470-472.
- 13. Sivasankaran, S. (2009) Restrictive Cardiomyopathy in India: The Story of a Vanishing Mystery. Heart, 95, 9-14.
http://dx.doi.org/10.1136/hrt.2008.148437 - 14. Kartha, C.C. (1995)Endomyocardial Fibrosis. A Case for the Tropical Doctor. Cardiovascular Research, 30, 636-643.
http://dx.doi.org/10.1016/S0008-6363(96)88509-9 - 15. Mocumbi, A.O., Yacoub, S. and Yacoub, M.H. (2008) Neglected Tropical Cardiomyopathies: II. Endomyocardial Fibrosis. Myocardial Disease. Heart, 94, 384-390.
http://dx.doi.org/10.1136/hrt.2007.136101 - 16. Mocumbi, A., Ferriera, M., Sidi, D. and Yacoub, M. (2008) A Population Study of Endomyocardial Fibrosis in a Rural Area of Mozambique. New England Journal of Medicine, 359, 43-49.
http://dx.doi.org/10.1056/NEJMoa0708629 - 17. Davies, J.N. (1968) The Ridge in Endomyocardial Fibrosis. Lancet, 1, 631-632.
http://dx.doi.org/10.1016/S0140-6736(68)91250-6 - 18. Ana Olga Mocumbi (2012) Endomyocardial Fibrosis: A Form of Endemic Restrictive Cardiomyopathy. Global Cardiology Science and Practice, 1, 11. (Figure 2, Figure 3, Figure 4)
- 19. Hassan, W., Fawzy, M.E., Helaly, S.A., Hegazy, H. and Malik, S. (2005) Pitfalls in Diagnosis and Clinical, Echocardiographic, and Hemodynamic Findings in Endomyocardial Fibrosis: A 25-year Experience. Chest, 128, 3985-3992.
http://dx.doi.org/10.1378/chest.128.6.3985 - 20. Vaidyanathan, K., Agarwal, R., Sahayaraj, A., Sanker, M. and Cherian, K.M. (2009) Endomyocardial Fibrosis Mimicking Ebstein’s Anomaly: A Diagnostic Challenge. Texas Heart Institute Journal, 36, 250-251.
- 21. Schneider, U., Jenni, R., Turina, J., Turina, M. and Hess, O.M. (1998) Long Term Follow Up of Patients with Endomyocardial Fibrosis: Effects of Surgery. Heart, 79, 362-367.
http://dx.doi.org/10.1136/hrt.79.4.362 - 22. Jaiyesimi, F. (1982) Controversies and Advances in Endomyocardial Fibrosis: A Review. African Journal of Medicine and Medical Sciences, 11, 37-46.
- 23. Jaiyesimi, F., Akinyemi, O.O. and Falase, A.O. (1977) Arterial Oxygen Desaturation in Right Endomyocardial Fibrosis. African Journal of Medicine and Medical Sciences, 6, 159-163.
- 24. Vijayaraghavan, G., Cherian, G., Krishnaswami, S. and Sukumar, I.P. (1977) Left Ventricular Endomyocardial Fibrosis in India. British Heart Journal, 39, 563-568. (Figure 2(a))
- 25. Vijayaraghavan, G. and Sivasankaran, S. (2012) Tropical Endomyocardial Fibrosis in India: A Vanishing Disease! Indian Journal of Medical Research, 136, 729-738. (Figure 2(c), 5 (E))
- 26. Somers, K. and William, A.W. (1962) Intracardiac Calcification in Endomyocardial Fbrosis. British Heart Journal, 24, 324-328.
http://dx.doi.org/10.1136/hrt.24.3.324 - 27. Mousseaux, E., Hernigou, A., Azencot, M., Sapoval, M., Auguste, M., Papo, T., et al. (1996) Endomyocardial Fibrosis. Radiology, 198, 755-760.
http://dx.doi.org/10.1148/radiology.198.3.8628866 - 28. Freers, J., Mayanja-Kizza, H., Rutakingirwa, M. and Gerwing, E. (1996) Endomyocardial Fibrosis: Why Is There Striking Ascites with Little or No Peripheral Edema? Lancet, 347, 197. http://dx.doi.org/10.1016/S0140-6736(96)90383-9
- 29. Lowenthal, M.N. and Teeger, S. (2000) Endomyocardial Fibrosis with Pericardial Effusion and Endocardial Calcification. The Israel Medical Association Journal, 2, 249.
- 30. Abraham, D.C., Parry, E.H.E. and Chur, B. (1963) Chronic Pericardial Effusion Complicating Endomyocardial Fibrosis. Circulation, 20, 221.
http://dx.doi.org/10.1161/01.CIR.28.2.221 - 31. Santra, G., Sinha, P.K., Phaujdar, S. and De, D. (2012) Right Ventricular Endomyocardial Fibrosis. JAPI (Journal of the Association of Physicians of India), 60, 63-65. (Figure 1)
- 32. Freers, J., Masembe, V., Schmauz, R. and Mayanja-Kissa, H. (2000) Endomyocardial Fibrosis Syndrome in Uganda. Lancet, 355, 1994-1995.
http://dx.doi.org/10.1016/S0140-6736(05)72932-9 - 33. Verma, V.K. and Zafar, K.S. (2014) Tropical Endomyocardial Fibrosis: An Overview. International Journal of Research in Medical Sciences, 2, 1267-1277. (Figure 3E)
- 34. Chimenti, C.,Pierone,M.,Frustaci,A.,(2001) Endomyocardial Fibrosis Mimicking a Dilated Cardiomyopathy in a Child. Heart, 86(10, 73.
http://dx.doi.org/10.1136/heart.86.1.73 - 35. Saraiva, L.R., Carneiro, R.W., Arruda, M.B., Brindeiro, D. and Lira, V. (1999) Mitral Valve Disease with Rheumatic Appearance in The Presence of Left Ventricular Endomyocardial Fibrosis. Arquivos Brasileiros De Cardiologia, 72, 330-332.
http://dx.doi.org/10.1590/S0066-782X1999000300006 - 36. Mocumbi, A.O., Carrilho, C., Sarathchandra, P., Ferreira, M.B., Yacoub, M. and Burke, M. (2011) Echocardiography Accurately Assesses The Pathological Abnormalities of Chronic Endomyocardial Fibrosis. International Journal of Cardiovascular Imaging, 27, 955-964.
http://dx.doi.org/10.1007/s10554-010-9753-6 - 37. Venkitachalam, C.G., Balakrishnan, K.G. and Tharakan, J.M. (1993) Echocardiographic Findings in Endomyocardial Fibrosis. In: Valiathan, M.S., Somers, K. and Kartha, C.C., Eds., Endomyocardial Fibrosis, Oxford University Press, Dehli, 153-167.
- 38. Mishra, A., Krishna Manohar, S.R., Sankar Kumar, R. and Valiathan, M.S. (2002) Bidirectional Glenn Shunt for Right Ventricular Endomyocardial Fibrosis. Asian Cardiovascular and Thoracic Annals, 10, 351-353.
http://dx.doi.org/10.1177/021849230201000419 - 39. Da Costa, F.D.A., Moraes, C.R., Rodrigues, J.V., De Mendonca, J.T., Andrade, J.C., Buffolo, E., et al. (1989) Early Surgical Results in the Treatment of Endomyocardial Fibrosis. European Journal of Cardiothoracic Surgery, 3, 408-413.
http://dx.doi.org/10.1016/1010-7940(89)90049-3 - 40. Moraes, F., Lapa, C., Hazin, S., Tenorio, E., Gomers, C. and Moraes, C.R. (1999) Surgery for Endomyocardial Fibrosis Revisited. European Journal of Cardiothoracic Surgery, 15, 309.
http://dx.doi.org/10.1016/S1010-7940(99)00027-5 - 41. Somers, K., Patel, A.K. and D’Arbela, P.G. (1978) The Natural History of African Endomyocardial Fibrosis. In: Hayase, S. and Murao, S., Eds., Proceedings of the VIII World Congress of Cardiology, Excerpta Medica, Amsterdam, 406-413.
- 42. Somers, K. (1990) Restrictive Cardiomyopathies. In: Pongpanich, B., Sueblinvong, V. and Vongprateep, C., Eds., Pediatric Cardiology, International Congress Series, 906, Excerpta Medica, Amsterdam.
- 43. Valiathan, M.S., Balakrishnan, K.G., Sankar Kumar, R. and Kartha, C.C. (1987) Surgical Treatment of Endomyocardial Fibrosis. Annals of Thoracic Surgery, 43, 68-73.
http://dx.doi.org/10.1016/S0003-4975(10)60169-5 - 44. Joshi, R., Abraham, S. and Kumar, A.S. (2003) New Approach for Complete Endocardiectomy in Left Ventricular Endomyocardial Fibrosis. Journal of Thoracic Cardiovascular Surgery, 125, 40-42.
http://dx.doi.org/10.1067/mtc.2003.70 - 45. Yie, K., Sung, S., Kim, D. and Woo, J. (2004) Bidirectional Cavopulmonary Shunt as a Rescue Procedure for Right Ventricular Endomyocardial Fibrosis., Interactive Cardiovascular and Thoracic Surgery, 3, 86-88.
http://dx.doi.org/10.1016/S1569-9293(03)00189-0 - 46. Anbarasu, M., Krishna Manohar, S.R., Titus, T. and Neelakandhan, K.S. (2004) One-and-a-Half Ventricle Repair for Right Ventricular Endomyocardial Fibrosis. Asian Cardiovascular Thoracic Annals, 12, 363-365.
http://dx.doi.org/10.1177/021849230401200418 - 47. Freiras, H.F.G., Castro, P.P.N., Chizzola, P.R. and Bocchi, E.A. (2005) Transplante Cardiaco Em Portadora De Endomiocardio fibrose. Arquivos Brasileiro De Cardiologia, 84, 49-50.
- 48. Cools, J., De Angelo, D.J., Gotlib, J., Stover, E.H., Legare, R.D., Cortes, J., et al. (2003) A Tyrosine Kinase Created by Fusion of the PDGFRA and FIPILI genes as a Therapeutic Target of Imatinib in Idiopathic Hypereosinophilic Syndrome. New England Journal of Medicine, 348, 1201-1214.
http://dx.doi.org/10.1056/NEJMoa025217 - 49. Zanettini, R., Antonini, A., Gatto, G., Gentile, R., Tesei, S. and Pezzoli, G. (2007) Valvular Heart Disease and the Use of Dopamine Agonists for Parkinson’s Disease. New England Journal of Medicine, 356, 39-46.
http://dx.doi.org/10.1056/NEJMoa054830 - 50. Janssen, W., Schymura, Y., Novoyatleva, T., et al. (2015) 5-HT2B Receptor Antagonists Inhibit Fibrosis and Protects from RV Heart Failure. BioMed Research International, Article ID: 438403.
- 51. Bukhman, G., Ziegler, J. and Parry, E. (2008) Endomyocardial Fibrosis: Still a Mystery after 60 Years. PLoS (Public Library of Science) Neglected Tropical Disease, 2, e97.
http://dx.doi.org/10.1371/journal.pntd.0000097 - 52. Wayengera, M. (2009) Searching for New Clues about the Molecular Cause of Endomyocardial Fibrosis by Way of in Silico Proteonomics and Analytical Chemistry. PLos (Public Library of Science) One, 4, e7420.
http://dx.doi.org/10.1371/journal.pone.0007420






















































































