International Journal of Otolaryngology and Head & Neck Surgery
Vol.05 No.01(2016), Article ID:62823,5 pages
10.4236/ijohns.2016.51004
Parathyroid Adenoma Presenting as a Giant Cystic Neck Mass
Thomas Muelleman1, Eric Rosenberger1, Clinton Humphrey1,2, Christopher G. Larsen1,2
1Department of Otolaryngology―Head and Neck Surgery, University of Kansas Medical Center, Kansas City, KS, USA
2Department of Otolaryngology―Head and Neck Surgery, St. Luke’s Hospital, Kansas City, MO, USA

Copyright © 2016 by authors and Scientific Research Publishing Inc.
This work is licensed under the Creative Commons Attribution International License (CC BY).
http://creativecommons.org/licenses/by/4.0/



Received 21 October 2015; accepted 15 January 2016; published 18 January 2016
ABSTRACT
We present a case report of a parathyroid adenoma, which presented as a giant cystic neck mass while providing thorough reviews of the pathophysiology of parathyroid adenomas and the differential diagnosis for large, cystic neck masses in adults. A 72 year old female presented to a tertiary academic medical center with a complicated past medical history and was found to have an asymptomatic central neck mass which measured 10.5 × 7.7 × 4.1 cm on ultrasound and extended from the retropharyngeal space with mass effect on the hypopharynx, esophagus, trachea, and right carotid space structures as well as the superior mediastinum. She had elevated calcium and parathyroid hormone (PTH) levels. She underwent surgical excision of this mass and had an uneventful postoperative period. Large cystic neck masses generate a wide differential diagnosis. In adults, it is important to consider the rare possibility of parathyroid adenoma, especially in patients who may not be able to communicate vague symptoms of hypercalcemia. This particular parathyroid adenoma is several orders of magnitude larger than an average parathyroid adenoma and its massive size served as a distraction for the proper diagnosis as large, cystic neck masses in adults are to be considered cancer until proven otherwise.
Keywords:
Parathyroid Adenoma, Giant Parathyroid Adenoma, Large Cystic Neck Mass, Hypercalcemia

1. Introduction
Hyperparathyroidism is a relatively rare condition usually caused by an overproduction of parathyroid hormone (PTH) due to a single parathyroid adenoma [1] . Presenting symptoms are generally secondary to hypercalcemia and include vague symptoms such as constipation, lethargy, confusion, myalgia, nausea, bone pain, and kidney stones. Hypercalcemia is much more common, affecting 1% - 4% of the adult population, with most causes related to malignancy and secretion of parathyroid hormone-related protein (PTHrP). PTH levels will be low in cases of malignancy with elevated PTHrP [1] . Laboratory analysis demonstrating elevated levels of PTH and alkaline phosphatase combined with hypophosphatemia further refines the diagnosis towards a parathyroid adenoma. A 24-hour urine collection can rule out benign familial hypocalciuric hypercalcemia.
Parathyroid gland and parathyroid adenoma identification can occur via specific radiologic studies including the technetium-99 m sestamibi scan, but can also be found incidentally on thyroid ultrasound, MRI, and computed tomography of the neck [2] . Parathyroid adenomas generally appear as hypervascular soft tissue masses but have been described in case reports as cystic masses of several centimeters [3] .
This case report illustrates a complex patient presenting for surgical resection due a giant cystic parathyroid adenoma, the size of which is the largest heretofore reported in the literature.
2. Case Report
A 72-year-old female presented from her assisted living facility for evaluation of asymptomatic hypercalcemia found on routine examination. Her past medical history was significant for mental retardation, schizoaffective disorder, diabetes mellitus, splenic lesions of unknown significance, and breast cancer. The patient was unable to offer any personal history, and her court appointed caretaker was unavailable. Review of systems revealed thirst, vague abdominal pain, and nausea. Medications at the time of otolaryngology consultation included bisphosphonate therapy (pamidronate), IV hydration, calcitonin, and IV furosemide.
Physical examination revealed a large central neck mass with significant tracheal deviation to the left without stridor or increased work of breathing. No evidence of dysphonia or dysphagia was present.
Her initial calcium level of 12.0 increased to 13.3 after admission, with PTH level of 169 (normal < 60 pg/ml). 24 hr urine calcium was not obtained secondary to inpatient therapy for hypercalcemia. Ultrasound and subsequent fine needle aspiration revealed a large, possible multi-lobed cystic mass of 7.7 × 4.1 × 10.5 cm. Fine needle aspiration (FNA) demonstrated dark fluid but found no evidence of malignancy. A slight decrease in serum calcium and PTH level occurred following FNA.
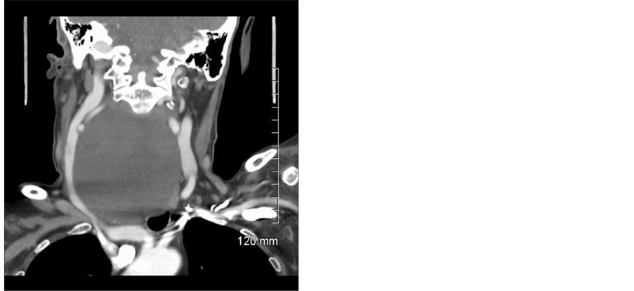
CT imaging of the neck with contrast demonstrated a complex cystic mass 8.2 × 5.6 × 10.5 cm with a 0.7 × 0.5 cm nodular and solid focus along the right lateral cyst border. The mass extended from the retropharyngeal space with mass effect on the hypopharynx, esophagus, trachea and right carotid space structures and extended into the superior mediastinum. No significant cervical lymphadenopathy was present. See Figure 1 and Figure 2.
Figure 1. Computed tomography (CT) scan with contrast of neck. This axial slice demonstrates the patient’s cystic neck mass and laryngeal deviation to the left.
Figure 2. CT scan with contrast of neck. This coronal slice highlights the cystic parathyroid adenomas proximity to the great vessels laterally as well as the descending trachea, superior mediastinum, right lung pleura, and arch of the aorta inferiorly.
Surgical excision proceeded next. Division of the platysma immediately revealed a fibrous capsule surrounding a large, dark, fluid-filled cyst. Careful dissection of the capsule was aided by removal of approximately 100 ml of cyst fluid. The cyst was adherent to the right lateral tracheal wall and the posterior and superior border of the right thyroid lobe. The right recurrent laryngeal nerve was identified inferiorly and traced to the cricothyroid joint prior to cyst wall transection. Intraoperative PTH monitoring began at time of incision, 125, decreasing to 63, five minutes after cyst isolation, and decreased to 10, five minutes after case end. The wound was then copiously irrigated with saline and closed in three layers. Intraoperative frozen section and final pathology were consistent with parathyroid adenoma. See Figure 3 [4] .
The patient tolerated the procedure well and she was admitted to the hospital as an inpatient. Her incisions healed well and calcium levels remained stable after surgery. She was then discharged back to her assisted living facility. She continued to heal well and was seen in the postoperative clinic. She continues to follow with her primary care physician.
3. Discussion
The presentation of a large, cystic neck mass in an adult provokes a broad differential diagnoses based on mass location, characteristics, symptoms, and medical history. In the pediatric population, congenital anomalies such as thyroglossal duct cyst, lymphatic malformation, branchial cleft cyst, and vascular malformation are more likely than carcinoma. [5] In adults, cystic neoplasms are assumed to be cancer until proven otherwise and their differential diagnosis includes metastatic squamous cell carcinoma (especially HPV + tumors), metastatic papillary thyroid cancer, thyroid cysts, cervical thymoma, and more uncommonly, parathyroid adenoma [6] .
Parathyroid adenomas average weight is between 0.5 and 5 g [7] . A recent large retrospective review reserved the term “giant parathyroid adenomas” for those adenomas with weight above the 95th percentile among all parathyroid adenomas, which they found to be >3.5 g [8] . Reports in the literature have highlighted giant parathyroid adenomas of smaller size than the adenoma highlighting in this case report [3] [9] -[13] . This patient’s mass was likely able grow to this large size due to social factors. She was mentally retarded and unable to convey any knowledge of the mass. Caretakers likely did not notice the mass due to its soft and pervasive nature. The mass was eventually discovered secondary to workup for several vague complaints. Her complaints of thirst, abdominal pain, and nausea were likely secondary to underlying hypercalcemia. However, these symptoms cannot be attributed with certainty to hypercalcemia given the patient’s mental status. Her laboratory levels of serum calcium and the concern for carcinoma in this patient were the two main factors that led to surgical excision [14] .
Figure 3. Histopathologic slides of a typical parathyroid adenoma. Parathyroid adenomas are characterized by uniform, polygonal chief cells with small, centrally placed nuclei. A few nests of larger oxyphil cells are present as well. Mitotic figures are rare. Adipose tissue is also rare [7] .
4. Conclusion
This case report highlights a complicated patient with a massive cystic neck mass, ultimately confirmed to be a cystic parathyroid adenoma on final pathology. The general practitioner and otolaryngologist should maintain a high level of suspicion for patients with mental retardation who present with new symptoms, even if the patient is not able to accurately describe these symptoms. Also, the case serves as a reminder to include parathyroid adenoma in the differential diagnosis of a large cystic neck mass in an adult patient.
Cite this paper
ThomasMuelleman,EricRosenberger,ClintonHumphrey,Christopher G.Larsen, (2016) Parathyroid Adenoma Presenting as a Giant Cystic Neck Mass. International Journal of Otolaryngology and Head & Neck Surgery,05,23-27. doi: 10.4236/ijohns.2016.51004
References
- 1. Wysolmerski, J.J. and Insogna, K.L. (2008) The Parathyroid Glands, Hypercalcemia, and Hypocalcemia. In: Kronenberg, H.M., Schlomo, M., Polansky, K.S., Larsen, P.R., Eds., Williams Textbook of Endocrinology, 11th Edition, WB Saunders, St. Louis, 266.
- 2. Ghervan, C., Silaghi, A. and Nemes, C. (2012) Parathyroid Incidentaloma Detected during Thyroid Sonography— Prevalence and Significance beyond Images. Medical Ultrasonography Journal, 14, 187-191
- 3. Asghar, A., Ikram, M. and Islam, N. (2012) A Case Report: Giant Cystic Parathyroid Adenoma Presenting with Parathyroid Crisis after Vitamin D Replacement. BMC Endocrine Disorders, 12, 14.
http://dx.doi.org/10.1186/1472-6823-12-14 - 4. Romanidis, K., Karathanos, E., Nagorni, E., et al. (2014) Parathyroid Adenoma Detected with 99mTc-Tetrofosmin Dual-Phase Scintigraphy: A Case Report. BMC Research Notes, 7, 335.
http://dx.doi.org/10.1186/1756-0500-7-335 - 5. Acierno, S.P. and Waldhausen, J.H. (2007) Congenital Cervical Cysts, Sinuses and Fistulae. Otolaryngologic Clinics of North America, 40, 161-176.
http://dx.doi.org/10.1016/j.otc.2006.10.009 - 6. Chen, A. and Otto, K.J. (2010) Differential Diagnosis of Neck Masses. In: Flint, P.W., Haughey, B.H., Lund, V.J., et al., Eds., Cummings Otolaryngology—Head and Neck Surgery, 5th Edition, Mosby/Elsevier, Philadelphia, 1636-1642.
http://dx.doi.org/10.1016/B978-0-323-05283-2.00117-8 - 7. Anirban, M. (2015) The Endocrine System. In: Kumar, V., Abbas, A. and Aster, J., Eds., Robbins and Cotran Pathologic Basis of Disease, 9th Edition, Saunders, Philadelphia, 1073-1139.
- 8. Spanheimer, P., Stoltze, A., Howe, J., Sugg, S., Lal, G. and Weigel, R. (2013) Do Giant Parathyroid Adenomas Represent a Distinct Clinical Entity? Surgery, 154, 714-719.
http://dx.doi.org/10.1016/j.surg.2013.05.013 - 9. Garas, G., Poulasouchidou, M., Dimoulas, A., Hytiroglou, P., Kita, M. and Zacharakis, E. (2015) Radiological Considerations and Surgical Planning in the Treatment of Giant Parathyroid Adenomas. The Annals of The Royal College of Surgeons of England, 97, e64-e66.
http://dx.doi.org/10.1308/003588415X14181254789682 - 10. Ebina, K., Miyoshi, Y., Izumi, S., et al. (2015) A Case of Adolescent Giant Parathyroid Adenoma Presenting Multiple Osteolytic Fractures and Postoperative Hungry Bone Syndrome. Clinical Case Reports, 3, 835-840.
http://dx.doi.org/10.1002/ccr3.360 - 11. Neagoe, R., Sala, D., Borda, A., Mogoanta, C. and Muhlfay, G. (2014) Clinicopathologic and Therapeutic Aspects of Giant Parathyroid Adenomas—Three Case Reports and Short Review of the Literature. Romanian Journal of Morphology and Embryology, 55, 669-674.
- 12. Haldar, A., Thapar, A., Khan, S. and Jenkins, S. (2014) Day-Case Minimally Invasive Excision of a Giant Mediastinal Parathyroid Adenoma. The Annals of The Royal College of Surgeons of England, 96, e21-e23.
http://dx.doi.org/10.1308/003588414X13946184900480 - 13. Sisodiya, R., Kumar, S., Palankar, N. and Dinesh, B.V. (2011) Case Report on Giant Parathyroid Adenoma with Review of Literature. Indian Journal of Surgery, 75, 21-22.
http://dx.doi.org/10.1007/s12262-011-0306-6 - 14. Morris, L. and Myssiorek, D. (2009) When Is Surgery Indicated for Asymptomatic Primary Hyperparathyroidism? The Laryngoscope, 119, 2291-2292.
http://dx.doi.org/10.1002/lary.20740




