Open Journal of Orthopedics
Vol.05 No.06(2015), Article ID:57548,5 pages
10.4236/ojo.2015.56021
Giant Myositis Ossificans Circumscribed Post Traumatic of Gluteus and Adductor Muscles: Case Report
Koné Samba1*, Touré Stanislas1, Bana Abdoulaye1, Dogba Eric1, Doukouré Brahima2, Ngandeu Nawé Astrid3, Koffi Gérard1, Vangah Marius4, Mègné Estelle3, Allou Sylvain1
1Service de Chirurgie Orthopédique et Traumatologique, C.H.U de Cocody, Abidjan, Ivory Coast
2Service d’Anatomie Pathologie du C.H.U de Cocody, Abidjan, Ivory Coast
3Service de Rhumatologie, C.H.U de Cocody, Abidjan, Ivory Coast
4Service de Chirurgie Orthopédique et Traumatologique, C.H.U de Bouake, Bouake, Ivory Coast
Email: *k.samba06@gmail.com
Copyright © 2015 by authors and Scientific Research Publishing Inc.
This work is licensed under the Creative Commons Attribution International License (CC BY).
http://creativecommons.org/licenses/by/4.0/



Received 29 May 2015; accepted 26 June 2015; published 30 June 2015
ABSTRACT
Myositis ossificans circumscribed is a bone and cartilage heterotopic non neoplastic proliferation inside the soft tissues. It is a benign focal heterotopic ossification process of soft tissues, and a rare disorder that occurs spontaneously or after local trauma. Clinical and radiographic appearances are quite hustler. A careful histological examination of biopsy straightens diagnosis is necessary. There is no consensus in support (surgical or/and medical). From Benign prognosis, evolution of this pathology is usually favorable. The authors report a case of giant myositis ossificans circum- scribed post-traumatic localized on gluteus and adductor muscles of the right hip on a 26-year-old man. Through a review of literature the mechanism, the diagnostic methods and therapeutic will be discussed.
Keywords:
Giant, Myositis Ossifying, Gluteus and Adductor Muscles, Biopsy

1. Introduction
Myositis ossificans circumscribed is a heterotopic non-neoplasic bone and cartilage soft tissues proliferation, developing from the interstitial conjunctive tissue [1] . This heterotopic proliferation occurs independently from general conditions of phosphocalcic metabolism, and is due to variable etiologies: traumatical (post surgical [2] , or other traumatisms [3] ), or spontaneous non traumatic (neurological [4] genetic [5] , unknown).
It may occurs spontaneously [6] -[8] or after trauma [1] -[3] . Clinical and radiological aspects are noisy and are the main problem of diagnosis, especially in its debutant or monstrous form. The anatomopathology provides the diagnostic of certitude [9] . We present here a case of unusual location of a giant post traumatic myositis ossifying circumscribed (MOC) on a young adult’s gluteus and adductor muscles. The treatment was medical and surgical. The evolution was satisfying after 18 months.
2. Case Report
It’s a 26 years old man who consulted for pain and right hip swelling since one year. Symptoms began after an injury in the right hip after sportive activity. He presented pain and swelling of the right hip with relative functional impairment. The patient would have taken a self-medication by no steroidal anti-inflammatory drugs, through local and general administration, and a traditional treatment. The evolution was marked by a gradual swelling size increase. A progressive general body state alteration and skin fistulisation motivated the consultation in specialized areas. There was an alcohol-smoking intoxication and toxicomania not confessed. Physical examination noticed a vicious attitude of the right hip and the right knee, in flexum, fixed, and a quadricipital atrophy.
The swelling was at the right thigh root. It was oval with a rugby ball form. The tumor was fixed, hard with fluctuating areas on the external limit. She was hot, painful, but just sensitive on some places. The skin in front had an orange appearance with collateral venous circulations (Figure 1). On the lateral and posterior-external swelling face sat an orifice measuring 5 cm of diameter and 3 cm of deep. The edges of the hole were inflammatory, regular and background dirty filled with necrotic tissue without festering collection.
We noticed a limitation of the right hip and knee movements with a vicious attitude.
There was no satellite lymphadenopathy, no neurovascular disorder downstream or another observed bone deformation. There were a leukocytosis and an inflammatory syndrome.
The right hip x-ray objectified hetero-nodular ossification clusters, at the level of the hip soft parts (Figure 2). Ultrasound put in evidence a heterogeneous mass, made of clod calcifications on gluteal region and adductor muscles, with a thickening of the soft parts near.
The scanner objectified a mixed calcified and necrotic tumor process of the right hip soft tissues, without obvious bone damages (Figure 3).
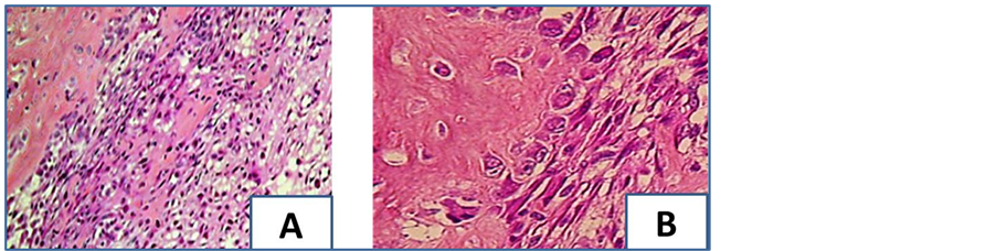
A biopsy was performed and the anatomopathological exam evoked a myositis ossifying circumscribed (Figure 4). Regarding the histological results a revision surgery for tumor resection was proposed. Excision of the tumor was only partial because of hemodynamic instability during surgery.
On post-operative period, analgesic treatment, anti-inflammatory drugs and probabilistic antibiotic therapy were started. Lower limb was put in traction pasted in bed during 03 weeks, and rehabilitation sessions were undertaken. The patient was followed during 18 months. At the clinical control we noticed a tumor involution and a local drainage flow. Muscle weakness was persistent and was responsible of a limp on walking. Radiographic control showed a regression of the calcifications clusters, and no evident sign of local recurrence.
3. Discussion
Post traumatic myositis ossificans is a non hereditary heterotopic ossification which occurs after a traumatism or
Figure 1. Local appearance of right hip large swelling with a collateral venous circulation, hip and knee vicious attitude, atrophy, skin opening.
Figure 2. Pelvis’s radiographies (A) antero-posterior; (B) (medio-lateral) showing multiple hetero-nodular ossifications, in clusters at soft parts of right hip, respect of the femoral cortical. (no cortical rupture, no cortical lysis).
Figure 3. Pelvis CT scan, reconstruction (A) a side view; (B) a front view; (C) a view from below) showing: huge mixed (calcified-necrotic) tumor process of gluteus and adductor of the right hip; these calcium formations made of compact bone does not affect pelvic girdle and proximal femur. It has not reached bone (bone is separated from proliferation by a clear border).
Figure 4. Microscopic appearance of myositis ossifying (A) 100 magnifications; (B) (400 magnifications) showing: biphasic tumor proliferation of fusiform cells and spans osteomas with a regular osteoblastic border. Ossification in crowns.
repeated microtraumatism [10] [11] on teenager and adult. It is also known as post-traumatic heterotopic ossification, non-hereditary heterotopic ossification and myositis ossificans circumscripbed [12] [13] . This type of MOC is a rare disorder [9] , it has never been observed previously in our service. Already described in the literature [3] -[8] [14] [15] ; but none were located inside the gluteus and hip adductor muscles. The monstrous clinical aspect is witness of a chronic evolution of the pathology. This can be explained by the delay in consultation which could be justified by the lack of financial resources. Because of the lack of financial resources, hospitals are less frequented by patients for the benefit of traditional or religious healers.
Unfortunately traditional therapy remains an actual topic in our regions despite their practice heavy of consequences.
The etiopathogenicity of the MOC is not yet fully elucidated. The most accepted hypothesis is that the formation of ectopic bone as a result of a neuro-vascular local disorder. This disorder causes the muscle and connective tissue fibroblasts metaplasia that will lead to the organization and the ossification of an intramuscular hematoma [16] . The existence of an injury reported by some authors [1] -[3] is also found in our case. Sometimes it can occur spontaneously without trauma [6] -[8] [15] ;
For that reason it is called by some author spseudomalignant Myositis ossificans due to diagnostic confusion of this benign lesion with a malignant lesion [16] .
According to Leriche R. and Amendola MA [17] [18] , Myositis ossificans would usually evolve in three phases. In the acute phase, the MOC is presenting by the apparition of a painful soft part mass, with a sudden or progressive unset as it was our case; with a variable volume followed by local inflammatory signs; the biological investigation show an inflammatory syndrome varied with the level of local phenomenon.
After this installation unset (4 to 6 weeks) arrives the chronical phase of maturation (4 - 6 months). This phase is characterized by decrease of tumefaction, inflammatory signs and pain.
The MOC regression is spontaneous and progressive in a 1 to 2 years period, with symptoms disappearance.
Rare cases of spontaneous non traumatic myositis ossificans have been described in children [19] -[21] .
It exists genetic causes which explain those spontaneous non traumatic forms on child, as Fibrodysplasia ossificans progressiva (FOP). The FOP is an autosomal dominant genetic transmitted disease more commonly known as Münchmeyer or the “stone man” disease’s. It is characterized by the onset in childhood, to episodes of ossification in the muscles, tendons, ligaments , sitting mainly at the level of the cervical and dorsal region, and associated bone malformations of foot and thorax malformations [5] [22] [23] .
Concerning teens or young adults, post traumatic myositis ossificans circumscribed is sometime described. At this age it is a non hereditary heterotopic ossification which occurs after a traumatism, repeated micro-trauma- tism [10] [11] or can be post surgical [2] .
Many authors underlines difficulty of MOC diagnosis [7] [24] [25] because its clinical and radiological aspects can be misleading and make us discuss several diagnostics: post traumatic infectious process as osteo- myelitis; osteogenic sarcoma; chondrosarcoma; osteosarcoma or Munch Meyer disease. We think that perio- steal appositions aspect or crown calcifications of the cortical bone are not specific to MOC. Whatever, the persistence of a transparent normal area between the lesion and the nearing bone has to permit us to retain a benign lesion [26] .
The scanner, angiography and ultrasound may be useful [8] -[14] , but the diagnostic of certitude is provided by anatomopathological exam [9] . However interpretation of histological sections is not free from difficulties, because they can cause confusion with a malignant lesion [7] [24] [25] .
MOC therapeutic is not yet well codified; certainly because of its rarity. Currently from literature no consensus emerges between medical or surgical methods.
In our case we had two methods because of the enormity of the tumor invasion, its fistulization to the skin and functional gene generated. In this monstrous or giant form a skin opening is possible.
For Brofen [20] , excision has indication only in a case of severe pain or important prolonged functional impact. More supporters of the medical treatment offer a combination of anti-inflammatory and bisphosphonate that would limit emergence of the ossifications [7] -[27] .
After the 18th month, the clinical general aspect was satisfactory as evidenced by the literature review data’s which emphasize a spontaneous favorable evolution [20] . If some authors [7] -[20] recurrences are exceptional, for others [27] , they are the result of an early surgical resection and are always followed by healing after re-in- tervention. The MOC is reported as having a good prognosis [16] -[21] . However it can be at the origin of functional sequels as was the case of our patient.
4. Conclusion
Myositis ossifying circumscribed is a heterotopic non neoplastic bone and cartilage proliferation inside soft tissues. It is a rare pathology. This case reports should distinguish itself by: unusual location; its extension to two muscles groups; its giant size and finally the skin complication. Clinical and paraclinical examinations are sometimes misleading. Only an atomo-pathological exam allows this diagnosis. The treatment was surgical and medical. Despite its benign prognosis, evolution may be tainted by functional sequels.
Conflict of Interests
The authors declare no conflict of interest.
Author’s Contributions
All the authors contributed to the writing of this manuscript and had read and approved the final version.
References
- Thorndike, A. (1940) Myositis Ossificans Traumatica. Journal of Bone Joint Surgery, 22, 315-323.
- Neal, B., Gray, H., MacMahon, S. and Dunn, L. (2002) Incidence of Heterotopic Bone Formation after Major Hip. ANZ Journal of Surgery, 72, 808-821. http://dx.doi.org/10.1046/j.1445-2197.2002.02549.x
- Petropoulos, A.S. and Sferopoulos, N.K. (1997) Myosite Ossifiante Post-Traumatique du Muscle Psoas Iliaque. Revue de Chirurgie Orthopédique, 83, 747-751.
- Baccar, S., Glon, Y., Miquel, A., Rocher, L., Kone, T., Benyoussef, H. and Blery, M. (2003) Imagerie des Tumeurs Primitives des Parties Molles. Feuillet de Radiologie, 43, 391-417.
- Garcia-Pinzas, J., Wong, J.E. and Fernández, M.A. (2013) Fibrodysplasia Ossificans Progressiva: Diagnosis in Primary Care. Revista Paulista de Pediatria, 31, 124-128. http://dx.doi.org/10.1590/S0103-05822013000100020
- Gougeon, J. and Dousset, M. (1970) La Myosite Ossifiante Circonscrite Non Traumatique. Observation Anatomo-Clinique d’un cas et revue générale. Revue du Rhumatisme, 37, 367-373.
- Crouzet, J. and Chomette, G. (1983) Myosite Ossifiante Circonscrite non Traumatique. Difficultés Diagnostiques. À propos d’une observation. Revue du Rhumatisme, 50, 213-216.
- Battistelli, J.M., Pauline-Balas, D., et al. (1988) Myosite Ossifiante Circonscrites non Traumatique à localisation cervicale. Apport de la tomodensitométrie. Annales de Pédiatrie, 35, 59-63.
- Serratrice, G. (1988) Pathologie médicale des muscles striés du squelette, EncyclMéd Chir (Paris-France). Appareil Locomoteur, 10, 12 p.
- Järvinen, Ta.H., Järvinen, T.L.N., Kääriäinen, M., et al. (2007) Muscle Injuries: Optimising Recovery. Best Practice & Research. Clinical Rheumatology, 21, 317-331. http://dx.doi.org/10.1016/j.berh.2006.12.004
- Buselli, P., Coco, V., Notarnicola, A., et al. (2010) Shock Waves in the Treatment of Post-Traumatic Myositis Ossificans. Ultrasound in Medicine & Biology, 36, 397-409. http://dx.doi.org/10.1016/j.ultrasmedbio.2009.11.007
- Yochum, T.R. and Rowe, L.J. (1996) Essentials of Skeletal Radiology. 2nd Edition, Williams and Wilkins, Baltimore.
- Miller, A.E., Davis, B.A. and Beckley, O.A. (2006) Bilateral and Recurrent Myositis Ossificans in an Athlete: A Case Report and Review of Treatment Options. Archives of Physical Medicine and Rehabilitation, 87, 286-290. http://dx.doi.org/10.1016/j.apmr.2005.09.002
- Diaine, B., Kurzenne, J.Y., Hofman, P. and Coussement, A. (1993) Myosite ossifiante circonscrite pseudo-tumorale de la paroi thoracique. Apport respectif de l’échographie, de la tomodensitométrieet de l’IRM. Journal de Radiologie, 74, 87-90.
- Traoré, O., Yilboudo, J., Cissé, R., Compaoré, T.M, Bandré, E. and Ouiminga, R.M. (1998) La myosite ossifiante circonscrite non traumatique. Revue de Chirurgie Orthopédique, 84, 79-83.
- Ogilvie-Harris, D.J. and Fornasier, V.L. (1980) Pseudomalignant Myositis Ossificans: Heterotopic New-Bone Forma- tion without a History of Trauma. Journal of Bone and Joint Surgery, 62, 1274-1283.
- Leriche, R. and Policard, A. (1926) Les problèmes de la physiologie normale et pathologique de l’os. Masson et Cie, Paris.
- Amendola, M.A., Glazer, G.M., Agha, F.P., Francis, I.R. and Weatherbee, L. (1983) Myositis Ossificans Circumscripta: Computed Tomographic Diagnosis. Radiology, 149, 775-779. http://dx.doi.org/10.1148/radiology.149.3.6647854
- Tachdjian, M.O. (1990) Pediatric Orthopedics. 2nd Edition, W.B. Saunders Company, Philadelphia, 2169-2171.
- Bronfen, C., Touzet, P.H., Peuchmaur, M., Prieur, A.M. and Rigault, P. (1993) Myosite ossifiante circonscrite non traumatique chez l’enfant. Revue de la littérature: A propos d’un cas simulant une tumeur maligne. Revue de Chirurgie Orthopédique, 79, 229-234.
- Cushner, F.D. and Morwessel, R.M. (1995) Myositis Ossificans in Children. Orthopedics, 18, 287-291.
- Miao, J., Zhang, C. and Wu, S. (2012) Genetic Abnormalities in Fibrodysplasia Ossificans Progressiva. Genes & Genetic Systems, 87, 213-219. http://dx.doi.org/10.1266/ggs.87.213
- Chalabi-Benabdallah, A., Zoubir, S., Bendoubaba, R. and Mebarki, F. (2008) SFP-P203―Génétique―La maladie de 2 cas. Archives de Pédiatrie, 15, 1003. http://dx.doi.org/10.1016/S0929-693X(08)72332-7
- Goldman, A.B. (1976) Myositis Ossificans Circumscripta: A Benign Lesion with a Malignant Differential Diagnosis. American Journal of Roentgenology, 106, 32-40.
- Mathonnet, M., Longis, B. and Moulies, D. (1992) Myosite ossifiante circonscrite non traumatique. Problème diagnostique. Ann Orthop Ouest, 24, 91-94.
- Bernard, M., Coumbaras, M., Zeitoun, F., Arrivé, L., Tubiana, J.M. and LeHir, P. (2003) Spectre radiologique évolutif de la myosite ossifiante circonscrite. Journal de Radiologie, 84, 54-56.
- Masquelet, A.C. and Nordin, J.Y. (1992) Ossifications et tumeurs musculaires en Pathologie chirurgical tome 3. Masson, Paris.
NOTES

*Corresponding author.





