Chinese Medicine
Vol.07 No.02(2016), Article ID:67350,12 pages
10.4236/cm.2016.72008
Effects of Nourishing “Yin”-Removing “Fire” Chinese Herb Mixture on the Expression of GABAB Receptors in Hypothalamus of Precocious Puberty Female Rats
Zhejun Chen, Zehui Meng, Shiran Wang, Liting Zhu, Zhanzhuang Tian*
Department of Integrative Medicine and Neurobiology, Institute of Acupuncture Research, Institutes of Brain Science, Collaborative Innovation Center for Brain Science, State Key Laboratory of Medical Neurobiology, Shanghai Medical College of Fudan University, Shanghai, China

Copyright © 2016 by authors and Scientific Research Publishing Inc.
This work is licensed under the Creative Commons Attribution International License (CC BY).
http://creativecommons.org/licenses/by/4.0/



Received 25 April 2016; accepted 12 June 2016; published 15 June 2016
ABSTRACT
Objectives: To investigate the potential role of GABAB Receptors (GABABRs) involved in the effect of Nourishing “Yin”-Removing “Fire” Chinese herb mixture (TCM) treatment on precocious puberty. Methods: Female Sprague-Dawley rats were randomly divided into four groups: normal (N), central precocious puberty (CPP) model (M), CPP fed with normal saline (S) and CPP fed with Nourishing “Yin”-Removing “Fire” Chinese herb mixture (TCM). Rats of postnatal day 5 were given a single subcutaneous injection of 240 μg danazol to establish CPP model rats. Rats of S and TCM groups were continuously administered with saline or nourishing “Yin”-removing “Fire” Chinese herb mixture since postnatal day 15. The expression of GABABRs was detected by means of real- time PCR and immunohistochemistry. Results: The expression of hypothalamic GnRH mRNA in M was significantly increased on the day of pre-puberty when compared with that of N (P < 0.01). On the day of onset-puberty, LH levels were higher in M than those in N (P < 0.01), while the serum E2 and LH levels of TCM decreased when compared with those of M (P < 0.05). On the day of pre-puberty, the number of GABAB1 receptor (GABABR1) immunoreactive cells in the arcuate nucleus (ARN) was decreased in M when compared with that of N (P < 0.05) and increased in TCM compared with that of M (P < 0.05); simultaneously, the expression of GABABR1 mRNA in hypothalamus was significantly decreased in M when compared with that of N (P < 0.01) and increased in TCM compared with that of M (P < 0.01). On the day of onset-puberty, the number of GABABR1 immunoreactive cells in medial septum (MS) was decreased in M compared with that in N (P < 0.05) and increased in TCM comparing with that of M (P < 0.05); meanwhile, the mRNA expression of GABABR1 in hypothalamus was decreased in M compared with that in N (P < 0.05), while the numbers of GABAB2 receptor (GABABR2) immunoreactive cells in the ARN, MS and diagnonal band of broca (DBB) were decreased in M when compared with those of N (P < 0.05) and increased in TCM compared with those of M (P < 0.05) on the day of onset-puberty. At the same time, the mRNA expression of GABABR2 was significantly decreased in M compared with that of N (P < 0.01). Conclusions: These results indicated that the GABABRs might involve in the curative effect of Nourishing “Yin”-Removing “Fire” Chinese herbal mixture on CPP rats.
Keywords:
Precocious Puberty, GABAB Receptors, Chinese Herb Medicine, Danazol, Rats

1. Introduction
Sexual precocity is one of the most popular endocrine disorders in children, with the incidence of 0.6% throughout the world and is ten times more common in girls than in boys. The maturation and maintenance of mammalian reproductive system depend in large part on the statement of hypothalamus-pituitary-gonadal axis (HPGA). It has been well established that pulsatile gonadotropin releasing hormone (GnRH) release, the initiator of HPGA, played a crucial role in triggering the onset of puberty [1] .
GABA is one of the primary inhibitory neurotransmitters to regulate the secretion of GnRH via its receptors in the hypothalamus [2] . GABA receptors were widely distributed throughout the CNS and had two major subtypes: ionotrophic GABAA receptor (GABAAR) and metabotrophic GABAB receptor (GABABR). It has been proved that GABAAR might play a part in the curative effect of Chinese Herb Mixture on CPP through up- regulating its expression [3] . In many nuclei of hypothalamus there exist GABAB receptors, even can be seen in GnRH neurons [4] . The activation of GABABR can inhibit the secretion of GnRH [5] . The present study aims to investigate whether GABABR may take a part in mediating the curative effects of nourishing “Yin” -removing “Fire” herbal mixture on female precocious rats and further explore the therapeutic mechanism of the herbal mixture in CPP.
2. Methods
2.1. Animal Model of Central Precocious Puberty
Female Sprague-Dawley rats at postnatal day 3 with their mothers were purchased from Medical Experimental Animals Center of Chinese Academy of Sciences (Shanghai, China). Animals were housed under laminar flow in an isolated room with controlled temperature of about 22˚C under a 12-h light/dark cycle with lights on from 7:00 am to 7:00 pm. All rats were randomly divided into four groups: normal (N), precocious puberty model (M), model exposed to saline (S) and model exposed to Nourishing “Yin”-Removing “Fire” Chinese herb mixture (TCM). The model litters at postnatal day 5 (P5) were given a single subcutaneous injection of 240 μg danazol (Hualian Pharm Ltd., Shanghai, China) dissolved in 25 μl mixture of propylene glycol-ethanol (1:1, v/v) [6] , and allowed to grow without further treatment. From P15, rats of TCM and S were fed with TCM or the same volume normal saline every day at a dose of 1 mL/100g body weight. Animals were weaned on P21, and then vaginal opening was examined daily afterwards. At the day of vaginal opening in M, rats of all four groups were decapitated with blood and hypothalamus tissue collected.
All experiments procedures involving the use of animals were conducted in accordance with NIH Guidelines and were reviewed and approved by Animal Use and Care Committee for the Fudan University.
2.2. The Nourishing “Yin”-Removing “Fire” Chinese Herbal Mixture
The nourishing “Yin”-removing “Fire” Chinese herbal mixture prescription is mainly composed of 10 medi- cinal plants: 15 g of Rehmannia glutinosa (Sheng di), 9 g each of Scrophularia buergeriana (Xuanshen), Anemarrhena asphodeloides (Zhimu), Cortex Phellodendri (Huang bai), Paeonia suffruticosa Andr. (Dan pi), Alisma plantago-aquatica L. var. orientale Sam. (Zexie), Prunella vulgaris L. (Xia kucao), 12 g of Carapaxet Plastrum Testudinis (Guijia), 30 g of Fructushordei germinate (Mai ya), and 6 g of GentianascabraBge (Long Dan Cao) [7] . All the above crude drugs were boiling gently in 1000 mL water for 40 min. The mixture was kindly provided by the Department of Integrative Medicine, Children’s Hospital of Fudan University, 60 mL/bottle (including crude drug 3.3 g per mL).
2.3. Hormone Measurement by ELISA
At the time of sacrificed, the trunk blood of all rats was collected. The serum was separated by centrifugation and stored at −80˚C until assayed. The gonadotropin and estradiol levels were determined by ELISA Kits (eBioscience, USA) according to the manufacturer’s specifications.
2.4. Tissue Collection and Total RNA Preparation
The rat brains in every group (n = 6) were rapidly removed and hypothalamus were separated immediately and frozen in liquid nitrogen. The target regions, including mediobasal hypothalamus and the suprachiasmatic preoptic areas were dissected. Total hypothalamic RNA was extracted by “Trizol Regent” (Invitrogen Inc., America) according to the manufacturer’s instructions. The concentration of RNA was estimated by spectrophotometry with UV absorbance at 260 nm and 280 nm. The purity and integrity of the RNA were checked spectroscopically before carrying out the analytical procedures.
2.5. Quantitative Real-Time PCR (QRT-PCR)
Prior to conducting real-time reverse transcriptase-PCR, the total RNA was digested with RNase-free DNase I (Invitrogen, Carlsbad, CA), by which possible contamination of genomic DNA. The Super Scrip III reverse transcription system (Invitrogen Corp, Carlsbad, CA, USA) was used for reverse transcription with 2 μg of total RNA according to the manufacturer’s specifications. The primers used for GABAB receptors and GnRH were designed and synthesized by Invitrogen with standard purity. To determine the sensitivity and efficiency of the amplification, PCR assay linearity ranges were previously established for each gene cDNA. Quantitative Real- Time PCR was carried out in IQ5 Real-time PCR system (Bio-Rad). The amplification protocol was as follows: an initial denaturing step at 95˚C for 2 min followed by 40 cycles of a 95˚C for 10 sec, 60˚C for 30 sec, and 72˚C for 30 sec. Following amplification, a dissociation curve analysis was performed to insure purity of PCR products. All real-time experiments were run in triplicate and a mean value was used for the determination of mRNA levels. The relative linear quantity of the target gene was calculated using the formula 2−ΔΔCt. Therefore, the data were expressed an n-fold change in gene expression normalized to a reference gene (β-actin) and relative to a calibrator sample. The primer sequences for GABAB receptors and GnRH mRNA were listed in Table 1.
2.6. Immunohistochemical Analysis
Samples from the four groups were obtained on the day of pre-puberty (postnatal 21 days, n = 5), onset-puberty (the day of vaginal opening, about postnatal 24 days, n = 5). Animals were deeply anesthetized with Pentobarbital and then perfused with phosphate-buffered saline followed by 4% paraformaldehyde. After perfusion was done, brains were removed and post-fixed in 4% paraformaldehyde in 0.1 M PBS (pH 7.4) with 30% sucrose,
Table 1. The primers used for amplifying each cDNA by RT-PCR.
and serial frontal sections containing the entire MS, DBB and ARN (30 μm) were made on a cryostat, and stored at −20˚C in tissue culture wells containing 0.1 M PBS (pH 7.4) plus 0.02% sodium azide until further processed.
Briefly, Slices were washed three times with PBS, and then blocked with blocking buffer (5% normal goat serum, 1% BSA, 0.1% Triton X-100 in PBS) for 30 min at room temperature. Immunohistochemistry was performed using polyclonal antibodies to GABABR (anti-GABABR1 1:1000, abcam ab55051; anti-GABABR2 1:100, abcam ab52248) for 48 h at 4˚C, followed by incubation in biotinylated goat anti-rabbit IgG for 90 min and avidin biotin complex for 60 min. GABABR immunoreactivities were visualized in 3,3'-diaminobenzidine as a chromogen.
Specificity of GABABR staining was determined by omitting primary antibody to identify non-specific staining.
2.7. Statistics Analysis
Statistical analysis of the data was performed by SPSS version 21.0. All data are presented as means ± SEM. Statistical analysis was performed on raw data using one-way analysis of variance (ANOVA), with the significance concentrations of P < 0.05 in two-tailed testing chosen. Comparisons among groups were made using the Student’s t-test.
3. Results
3.1. Effects of Nourishing “Yin”-Removing “Fire” Chinese Herb Mixture on the Timing of Vaginal Opening of CPP Rats
The day of vaginal opening, as an indicator of puberty onset, were significantly advanced in M when compared with those of N. While the day of vaginal opening were relatively delayed in TCM when compared with those of M (Figure 1(b)).
3.2. Effects of Nourishing “Yin”-Removing “Fire” Chinese Herb Mixture on Serum E2 and LH Levels
On the day of onset-puberty, serum E2 levels seem to have a rise tendency in M comparing to those of N and serum E2 levels of TCM rats decreased comparing with those of M (P < 0.05), while LH levels were higher in M than those in N (P < 0.01) and they were lower in TCM than those of M (P < 0.05) (Figure 2).
3.3. Effects of Nourishing “Yin”-Removing “Fire” Chinese Herb Mixture on Hypothalamic Expression of GnRH mRNA by Real-Time PCR
On the day of pre-puberty, the expression of hypothalamic GnRH mRNA in M was significantly increased compared with those in N (P < 0.01). And they were decreased in TCM when compared with those of M (Figure 3).
On the day of onset-puberty, the expression of hypothalamic GnRH mRNA in M shows a rise tendency compared with those of N, then TCM can reverse the rise tendency in M rats (Figure 3).
3.4. Effects of Nourishing “Yin”-Removing “Fire” Chinese Herb Mixture on GABABR1 Expression of Female Precocious Puberty Rats
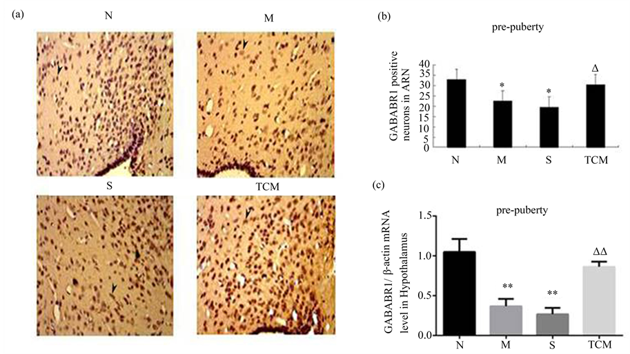
On the day of pre-puberty, the expression of GABABR1 mRNA in hypothalamus was significantly decreased in M when compared with those of N (P < 0.01), and they were significantly increased in TCM when compared with those of M (P < 0.01) (Figure 4(c)). The number of GABABR1 immunoreactive cells in ARN was decreased in M when compared with those of N (P < 0.05), and they were increased in TCM when compared with those of M (P < 0.05) (Figure 4(b)).
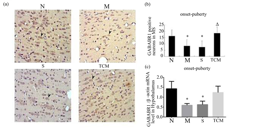
While on the day of onset-puberty, the expression of GABABR1 mRNA in hypothalamus was decreased in M compared to those of N (P < 0.05), and they have the tendency of growth in TCM comparing to those of M (Figure 5(c)). The number of GABABR1 immunoreactive cells in MS was decreased in M when compared with
Figure 1. Effects of Chinese herb mixture on the timing of vaginal opening. (a) There were less rats in T being vaginal opening than in M and S at the same time since P25. (b) The statistical results of vaginal opening day in each group. And the rats in N usually show vaginal opening from P30. N: normal, M: model, S: saline and TCM: Traditional Chinese herb mixture. *P < 0.05 vs N; ΔP < 0.05 vs M.
Figure 2. Effects of Chinese herb mixture on serum E2 and LH levels in precocious puberty rats on the day of onset-puberty. On the day of onset-puberty, serum E2 levels seem to have a rise tendency in M comparing to those of N, and TCM can reverse the rise tendency in M (P < 0.05), while LH levels were higher in M than those in N and they were lower in TCM than those of M (P < 0.05). N: normal, M: model, S: saline and TCM: Traditional Chinese herb mixture. **P < 0.01 vs N; ΔP < 0.05 vs M.
those of N (P < 0.05), and they were increased in TCM compared to those of M (P < 0.05) (Figure 5(b)).
3.5. Effects of Nourishing “Yin”-Removing “Fire” Chinese Herb Mixture on GABABR2 Expression of Precocious Puberty Female Rats
On the day of pre-puberty, the expression of GABABR2 mRNA in hypothalamus has no difference among four groups (Figure 6). On the day of onset-puberty, the expression of GABABR2 mRNA in hypothalamus was sig-
Figure 3. Effects of Nourishing “Yin”-Removing “Fire” Chinese herb mixture on GnRH mRNA expression on the day of pre-puberty and onset-puberty. On the day of pre-puberty, the expression of hypothalamic GnRH mRNA in M were significantly increased compared with those in N (P < 0.01). And they were decreased in TCM when compared with those of M. When on the day of onset-puberty, the expression of hypothalamic GnRH mRNA in M shows a rise tendency compared with those in N, then TCM can reverse the rise tendency in M rats. N: normal, M: model, S: saline and TCM: Traditional Chinese herb mixture. **P < 0.01 vs N; *P < 0.05 vs N.
Figure 4. Effects of Nourishing “Yin”-Removing “Fire” Chinese herb mixture on GABABR1 expression on the day of pre-puberty in precocious puberty female rats. On the day of pre-puberty in precocious puberty female rats, (a) immunohistochemical analysis of GABABR1 positive neurons in ARN. (b) The statistical result of (a) shows that the expression of GABABR1 in ARN was decreased in M, and increased in TCM, and (c) the mRNA expression of GABABR1 in hypothalamus was decreased in M, and increased in TCM. Black arrow indicates GABABR1 positive neurons. The magnification of the microscope image: 20×. N: normal, M: model, S: saline and TCM: Traditional Chinese herb mixture. **P < 0.01 vs N; *P < 0.05 vs N; ΔΔP < 0.01 vs M; ΔP < 0.05 vs M.
nificantly decreased in M compared to those of N (P < 0.01), and they had the tendency of growth in TCM comparing to those of M (Figure 7(d)). The number of GABABR2 immunoreactive cells in ARN (Figure 7(b)), MS (Figure 7(c)) and DBB (Figure 7(a)) were decreased in M compared to those of N (P < 0.05), and they were increased in TCM comparing to those of M (P < 0.05).
4. Discussion
Pubertal development and obtaining the capacity to reproduce are under the control of HPGA. As the initial role
Figure 5. Effects of Nourishing “Yin”-Removing “Fire” Chinese herb mixture on GABABR1 expression on the day of onset-puberty in precocious puberty female rats. On the day of onset-puberty in precocious puberty female rats, (a) immunohistochemical analysis of GABABR1 positive neurons in MS. (b) The statistical result of (a) shows that the expression of GABABR1 in MS was decreased in M, and increased in TCM, and (c) the mRNA expression of GABABR1 in hypothalamus was decreased in M, and it had a rise tendency in TCM. Black arrow indicates GABABR1 positive neurons. The magnification of the microscope image: 20×. N: normal, M: model, S: saline and TCM: Traditional Chinese herb mixture. *P < 0.05 vs N; ΔP < 0.05 vs M.
Figure 6. Effects of Nourishing “Yin”-Removing “Fire” Chinese herb mixture on GABABR2 mRNA expression on the day of pre-puberty in precocious puberty female rats. On the day of pre-puberty in precocious puberty female rats, the mRNA expression of GABABR2 in hypothalamus shows no significance in four groups.
of HPGA, GnRH are secreted by neurons situated in medial preoptic area (mPOA) and ARN [8] of hypothalamus, then GnRH arrives at pituitary to promote the secretion of FSH and LH, which can stimulate the secretion of gonadal hormones. As direct factors, gonadal hormones can maintain sexuality and improve the development of reproduction organs. Vaginal opening, an indicator of the onset of puberty, was chosen to evaluate whether model rats have been precocious puberty. Hormones such as E2 and LH were also assayed to evaluate the statement of HPGA, and the day of pre-puberty (postnatal 21) and onset-puberty (about postnatal 24) were picked to study the situation of HPGA and the role of GABABR regulating HPGA during prepubertal and peripubertal period. As the results shown, the serum E2 level of M in Figure 2 only shows a rise tendency comparing with those of N, so the statement of HPGA in M can’t be exactly represented, which needs the functional hormones assayed to entirely interpret the status of HPGA further [9] .
Figure 7. Effects of Nourishing “Yin”-Removing “Fire” Chinese herb mixture on GABABR2 expression on the day of onset-puberty in precocious puberty female rats. On the day of onset-puberty in precocious puberty female rats, the expression of GABABR2 in DBB (a), ARN (b) and MS (c) was decreased in M, and increased in TCM. And (d) the mRNA expression of GABABR2 in hypothalamus was significantly decreased in M, and it had a rise tendency in TCM. Black arrow indicates GABABR2 positive neurons. The magnification of the microscope image: 20×. N: normal, M: model, S: saline and TCM: Traditional Chinese herb mixture. **P < 0.01 vs N; *P < 0.05 vs N; ΔP < 0.05 vs M.
As is generally accepted, GnRH neurons are the final common pathway of the neuronal network controlling sexual maturation in all mammals. The complex interaction of excitatory and inhibitory neurotransmitters and hormones within the hypothalamus has something to do with the regulation of GnRH secretion. Among the neurotransmitters, GABA was the major inhibitory neurotransmitter in the hypothalamus. The roles of GABA and GABA receptors in inhibiting GnRH pulsatile release have been in a general sense studied and established.
As far as we are concerned, kisspeptin is considered to stimulate the secretion of GnRH [10] . GABA, one of the principal inhibitory neurotransmitters in the CNS, has been proved to participate in the modulation of reproduction system. GABAA [11] and GABAB receptors were both expressed within GnRH neurons. Cravo, [12] using in situ hybridization, found that the glutamic acid decarboxylase 67 (GAD-67) mRNA was expressed within 75% of KP neurons in rostral periventricular area of the third ventricle (RP3V); and the inhibitory effects of GABABR agonists on GnRH secretion can be suppressed by kisspeptin-10 [4] , which suggests that kisspeptin, a well-known stimulatory upstream neurotransmitter of GnRH, interacts with GABABR in the regulation of GnRH, and GABAergic transmission to GnRH is mediated by Estradiol [13] , as specific deletion of Esr1 from GABAergic neurons abolishes estrogen positive feedback, estrous cyclicity, and fertility [14] . In conclusion, GABABR can inhibit the secretion of GnRH to reduce the release of estradiol, while estradiol can conversely control the role of GABABR through Esr1 within GABAergic neurons to maintain a steady and proper state of HPGA.
On the day of P16 (prepubertal) and P30 (peripubertal) in normal female rats, baclofen (the GABABR agonist) has an inhibitory effect on GnRH, LH and FSH [5] . Then in OVX rats, bilateral infusion of GABA agonists (both GABAA and GABAB) into the third ventricle can decrease GnRH mRNA, and GABABR agonist tend to delay or inhibit LH surge, which depends on the dose of GABABR agonist. As our results show, more expression of GnRH mRNA (Figure 3) and higher levels of gonadotropins and estradiol (Figure 2) make M rats have an earlier day of vaginal opening (Figure 1), meanwhile, Figure 4, Figure 5 and Figure 7 show M rats got less expression of GABABR comparing with N ones, which is consistent with the inhibitory role of GABABR controlling HPGA. Furthermore, TCM can partly reverse the decline in the GABABR expression of model rats (Figure 4, Figure 5, Figure 7).
There exists the specific synthesis of GABA in the medial preoptic area (mPOA) and diagonal band of Broca (DBB), and GABA levels got an increasing in the DBB and VMN of OVX rats treated with estradiol comparing to OVX ones, which suggests that DBB could be a potential area involved in the regulation of HPGA [15] . The ARN of hypothalamus containing GABAergic neurons is thought to be an area for negative feedback [16] , and ARN GABAergic projections densely contacted the majority of GnRH neurons within the MS [17] , in details, GABAergic axons innervate the soma and dendrites of GnRH neurons [18] , and Xiao Feng Li [19] found GABA (including GABAA and GABAB) within the ARN play a role in mediating stress-induced inhibition of LH pulses in female rats, then giving bicuculline, a GABAA receptor antagonist, can restrain the suppression of pulsatile LH release by infection stress [20] . So the expressions of GABABR within ARN and MS should also be focused to study the role of GABABR in regulating HPGA. Back to our results, Figure 4 shows it is mainly on the day of pre-puberty that GABABR1 takes effect on HPGA in ARN, what’s more, Figure 7 indicates it is on the day of onset-puberty that GABABR2 play a role of controlling HPGA in ARN, MS and DBB.
Catalano PN [21] found that adult female GABABR1 KO mice got an increased GnRH secretion, but a disruption of estrous cycles and infertility. Di Giorgio [22] , using GABAB1 KO mice, found increased Gnrh1 and Gad1 expression but decreased Kiss1 expression in the medial basal hypothalamus of neonatal mice. In addition, Terasawa [23] found infusion of bicuculline into the median eminence significantly increased GnRH release and accelerated the timing of the menarche and first ovulation, however, Kurian [24] found bicuculline dramatically stimulated kisspeptin release within the medial basal hypothalamus in prepubertal monkeys. As we know, the interaction of kisspeptin and GABA receptor contributes to the regulation of GnRH. Above results suggest there exists a decreasing kiss1 expression in GABAB1 KO mice, while kisspeptin increased by giving a GABAAR antagonist to prepubertal monkeys on the contrary. So the role of GABAAR was opposite to the role of GABABR when interacts with kisspeptin while the inhibitory effect of GABABR and GABAAR on HPGA is all the same, however, the mechanism involving in the process needs to be investigated further.
The nourishing “Yin” removing “fire” Chinese herb medicine, supported by Pediatric hospital affiliated to Fudan university, can significantly improve the symptoms of precocious puberty children with bone age delayed, the Pediatric hospital found the Chinese herb medicine delayed the bone age by down-regulating the mRNA and protein levels of estrogen receptor a (ERa) in chondrocyte of rats. For further study, the Chinese herb medicine can delay the ovarian development through reducing the expression of ERa in ovary of rats [25] . An intensive study indicated that the extract of Zhimu and Huangbai can reduce the secretion of GnRH in GT1-7 cell lines [26] , the previous study of our research group also found the Chinese herb medicine reduced the hypothalamic GnRH level in rats of precocious puberty [27] . Above results contribute to the curative role of nourishing “Yin” removing “fire” on precocious puberty by inhibiting the role of HPGA. Lee [28] seems to find GABAA receptor γ2 subunit in GnRH neurons has no major effect on fertility, However GABAA receptor α1 and α3 subunits may involve in the inhibitory regulation of GnRH release and nourishing “yin” removing “fire” Chinese herb medicine inhibit the GnRH release by up-regulation of GABAA receptor α1 and α3 levels on the basis of previous study [3] .
5. Conclusion
According to the results available, on the day of pre-puberty and onset-puberty, model rats got faster puberty development than normal rats, whose hypothalamic GABABR1 got higher levels than those in model rats, while TCM increased the GABABR1 levels in the hypothalamus of precocious puberty rats to maintain the normal puberty development. In consideration of GABABR2, it may inhibit the HPGA since the day of pre-puberty for TCM only increased the hypothalamic GABABR2 levels of rats on the day of onset-puberty. So the GABAB receptor, an inhibitory neurotransmitter [29] to regulate GnRH secretion, might be involved in the effect of herbal mixture treatment on CPP, which provides new scientific experimental basis for the drug treatment of precocious puberty.
Acknowledgements
This study was financially supported by the National Natural Science Foundation (NSFC-81273894 and NSFC- 30973814) and Development Project of Shanghai Peak Disciplines-Integrated Chinese and Western Medicine.
Conflicts of Interest
We declare there exist no conflicts of interest among all authors.
Cite this paper
Zhejun Chen,Zehui Meng,Shiran Wang,Liting Zhu,Zhanzhuang Tian, (2016) Effects of Nourishing “Yin”-Removing “Fire” Chinese Herb Mixture on the Expression of GABAB Receptors in Hypothalamus of Precocious Puberty Female Rats. Chinese Medicine,07,55-66. doi: 10.4236/cm.2016.72008
References
- 1. Maggi, R., Cariboni, A.M., Marelli, M.M., Moretti, R.M., Andre, V., Marzagalli, M. and Limonta, P. (2016) GnRH and GnRH Receptors in the Pathophysiology of the Human Female Reproductive System. Human Reproduction Update, 22, pii: dmv059.
http://dx.doi.org/10.1093/humupd/dmv059 - 2. Ruka, K.A., Burger, L.L. and Moenter, S.M. (2016) Both Estrogen and Androgen Modify the Response to Activation of Neurokinin-3 and Kappa-Opioid Receptors in Arcuate Kisspeptin Neurons from Male Mice. Endocrinology, 157, 752-763.
http://dx.doi.org/10.1210/en.2015-1688 - 3. Li, J., Sun, Y.Y., Wang, S.R., Yu, J. and Tian, Z.Z. (2013) Effects of Nourishing “Yin”-Removing “Fire” Chinese Herb Mixture on the Differential Expression of GABAA Receptor α Subunits in Hypothalamus of Precocious Puberty Female Rats. Chinese Medicine, 4, 87-96.
http://dx.doi.org/10.4236/cm.2013.43013 - 4. Zhang, C., Bosch, M.A., Ronnekleiv, O.K. and Kelly, M.J. (2009) Gamma-Aminobutyric Acid B Receptor Mediated Inhibition of Gonadotropin-Releasing Hormone Neurons Is Suppressed by Kisspeptin-G Protein-Coupled Receptor 54 Signaling. Endocrinology, 150, 2388-2394.
http://dx.doi.org/10.1210/en.2008-1313 - 5. Feleder, C., Ginzburg, M., Wuttke, W., Moguilevsky, J.A. and Arias, P. (1999) GABAergic Activation Inhibits the Hypothalamic-Pituitary-Ovaric Axis and Sexual Development in the Immature Female Rat. Associated Changes in Hypothalamic Glutamatergic and Taurinergic Systems. Brain Research. Developmental Brain Research, 116, 151-157.
http://dx.doi.org/10.1016/S0165-3806(99)00087-5 - 6. Morishita, H., Takemoto, M., Kondo, H., Higuchi, K. and Aono, T. (1993) Induction of True Precocious Puberty by Neonatal Treatment with Danazol in Female Rats. Neuroscience Letters, 157, 33-36.
http://dx.doi.org/10.1016/0304-3940(93)90636-Y - 7. Sun, Y., Perry, G.N., Yu, J., Chen, B. and Tian, Z. (2010) Effect of Nourishing “Yin”-Removing “Fire” Chinese Herbal Mixture on Hypothalamic Kisspeptin Expression in Female Precocious Rats. Journal of Ethnopharmacology, 127, 274-279.
http://dx.doi.org/10.1016/j.jep.2009.11.009 - 8. Grachev, P., Millar, R.P. and O’Byrne, K.T. (2014) The Role of Neurokinin B Signalling in Reproductive Neuroendocrinology. Neuroendocrinology, 99, 7-17.
http://dx.doi.org/10.1159/000357734 - 9. Yang, X.Y., Yang, D.S., Wei, Z., Wang, J.M., Li, C.Y., Hui, Y., Lei, K.F., Chen, X.F., Shen, N.H., Jin, L.Q. and Wang, J.G. (2010) 10-Hydroxy-2-decenoic Acid from Royal Jelly: A Potential Medicine for RA. Journal of Ethnopharmacology, 128, 314-321.
http://dx.doi.org/10.1016/j.jep.2010.01.055 - 10. Sun, Y., Tian, Z., Zhao, H., Wong, S.T. and Chen, B. (2007) Characteristic of Hypothalamic Kisspeptin Expression in the Pubertal Development of Precocious Female Rats. Neuroscience Letters, 420, 12-17.
http://dx.doi.org/10.1016/j.neulet.2007.04.003 - 11. Temple, J.L. and Wray, S. (2005) Developmental Changes in GABA(A) Receptor Subunit Composition within the Gonadotrophin-Releasing Hormone-1 Neuronal System. Journal of Neuroendocrinology, 17, 591-599.
http://dx.doi.org/10.1111/j.1365-2826.2005.01348.x - 12. Cravo, R.M., Margatho, L.O., Osborne-Lawrence, S., Donato, J., Atkin, S., Bookout, A.L., Rovinsky, S., Frazao, R., Lee, C.E., Gautron, L., Zigman, J.M. and Elias, C.F. (2011) Characterization of Kiss1 Neurons Using Transgenic Mouse Models. Neuroscience, 173, 37-56.
http://dx.doi.org/10.1016/j.neuroscience.2010.11.022 - 13. DeFazio, R.A., Elias, C.F. and Moenter, S.M. (2014) GABAergic Transmission to Kisspeptin Neurons Is Differentially Regulated by Time of Day and Estradiol in Female Mice. Journal of Neuroscience, 34, 16296-16308.
http://dx.doi.org/10.1523/JNEUROSCI.3057-14.2014 - 14. Cheong, R.Y., Czieselsky, K., Porteous, R. and Herbison, A.E. (2015) Expression of ESR1 in Glutamatergic and GABAergic Neurons Is Essential for Normal Puberty Onset, Estrogen Feedback, and Fertility in Female Mice. Journal of Neuroscience, 35, 14533-14543.
http://dx.doi.org/10.1523/JNEUROSCI.1776-15.2015 - 15. Herbison, A.E., Augood, S.J. and McGowan, E.M. (1992) Expression of Glutamic Acid Decarboxylase Messenger RNA in Rat Medial Preoptic Area Neurones during the Oestrous Cycle and after Ovariectomy. Brain Research. Molecular Brain Research, 14, 310-316.
http://dx.doi.org/10.1016/0169-328X(92)90098-V - 16. Yeo, S.H. and Herbison, A.E. (2014) Estrogen-Negative Feedback and Estrous Cyclicity Are Critically Dependent Upon Estrogen Receptor-Alpha Expression in the Arcuate Nucleus of Adult Female Mice. Endocrinology, 155, 2986-2995.
http://dx.doi.org/10.1210/en.2014-1128 - 17. Moore, A.M., Prescott, M., Marshall, C.J., Yip, S.H. and Campbell, R.E. (2015) Enhancement of a Robust Arcuate GABAergic Input to Gonadotropin-Releasing Hormone Neurons in a Model of Polycystic Ovarian Syndrome. Proceedings of the National Academy of Sciences of the United States of America, 112, 596-601.
http://dx.doi.org/10.1073/pnas.1415038112 - 18. Hrabovszky, E., Molnar, C.S., Nagy, R., Vida, B., Borsay, B.A., Racz, K., Herczeg, L., Watanabe, M., Kallo, I. and Liposits, Z. (2012) Glutamatergic and GABAergic Innervation of Human Gonadotropin-Releasing Hormone-I Neurons. Endocrinology, 153, 2766-2776.
http://dx.doi.org/10.1210/en.2011-2106 - 19. Li, X., Shao, B., Lin, C., O’Byrne, K.T. and Lin, Y. (2015) Stress-Induced Inhibition of LH Pulses in Female Rats: Role of GABA in Arcuate Nucleus. J Mol Endocrinol, 55, 9-19.
http://dx.doi.org/10.1530/JME-15-0084 - 20. Lin, Y.S., Li, X.F., Shao, B., Hu, M.H., Goundry, A.L.R., Jeyaram, A., Lightman, S.L. and O’Byrne, K.T. (2012) The Role of GABAergic Signalling in Stress-Induced Suppression of Gonadotrophin-Releasing Hormone Pulse Generator Frequency in Female Rats. Journal of Neuroendocrinology, 24, 477-488.
http://dx.doi.org/10.1111/j.1365-2826.2011.02270.x - 21. Catalano, P.N., Bonaventura, M.M., Silveyra, P., Bettler, B., Libertun, C. and Lux-Lantos, V.A. (2005) GABAB1 Knockout Mice Reveal Alterations in Prolactin Levels, Gonadotropic Axis, and Reproductive Function. Neuroendocrinology, 82, 294-305.
http://dx.doi.org/10.1159/000093128 - 22. Di Giorgio, N.P., Catalano, P.N., Lopez, P.V., Gonzalez, B., Semaan, S.J., Lopez, G.C., Kauffman, A.S., Rulli, S.B., Somoza, G.M., Bettler, B., Libertun, C. and Lux-Lantos, V.A. (2013) Lack of Functional GABAB Receptors Alters Kiss1 , Gnrh1 and Gad1 mRNA Expression in the Medial Basal Hypothalamus at Postnatal Day 4. Neuroendocrinology, 98, 212-223.
http://dx.doi.org/10.1159/000355631 - 23. Terasawa, E., Kurian, J.R., Guerriero, K.A., Kenealy, B.P., Hutz, E.D. and Keen, K.L. (2010) Recent Discoveries on the Control of Gonadotrophin-Releasing Hormone Neurones in Nonhuman Primates. Journal of Neuroendocrinology, 22, 630-638.
- 24. Kurian, J.R., Keen, K.L., Guerriero, K.A. and Terasawa, E. (2012) Tonic Control of Kisspeptin Release in Prepubertal Monkeys: Implications to the Mechanism of Puberty Onset. Endocrinology, 153, 3331-3336.
http://dx.doi.org/10.1210/en.2012-1221 - 25. Lu, J.P. and Cai, D.P. (2008) Regulative Effects of Chinese Herbs for Nourishing Yin and Removing Fire on Gene Expressions of Estrogen Receptor Alpha, Insulin-Like Growth Factor-1 Receptor, Epithelial Growth Factor Receptor and Protein Synthesis in Epiphyseal Growth Plate of Female Pubertal Rats. Chinese Journal of Integrated Traditional and Western Medicine, 28, 721-724.
- 26. Lee, S.H., Kwak, S.C., Kim, D.K., Park, S.W., Kim, H.S., Kim, Y.S., Lee, D., Lee, J.W., Lee, C.G., Lee, H.K., Cho, S.M., Shin, Y.J., Lee, J.Y., Kim, H. and Chang, G.T. (2016) Effects of Huang Bai (Phellodendri Cortex) and Three Other Herbs on GnRH and GH Levels in GT1-7 and GH3 Cells. Evidence-Based Complementary and Alternative Medicine, 2016, Article ID: 9389028.
http://dx.doi.org/10.1155/2016/9389028 - 27. Tian, Z.Z., Zhao, H. and Chen, B.Y. (2003) Effect of Chinese Herbal Medicine for Nourishing Yin and Purging Fire on mRNA Expressions of Gonadotropin-Releasing Hormone and Its Receptor in Precocious Puberty Model Rats. Chinese Journal of Integrated Traditional and Western Medicine, 23, 695-698.
- 28. Lee, K., Porteous, R., Campbell, R.E., Luscher, B. and Herbison, A.E. (2010) Knockdown of GABAA Receptor Signaling in GnRH Neurons Has Minimal Effects upon Fertility. Endocrinology, 151, 4428-4436.
http://dx.doi.org/10.1210/en.2010-0314 - 29. Constantin, S., Piet, R., Iremonger, K., Yeo, S.H., Clarkson, J., Porteous, R. and Herbison, A.E. (2012) GnRH Neuron Firing and Response to GABA in Vitro Depend on Acute Brain Slice Thickness and Orientation. Endocrinology, 153, 3758-3769.
http://dx.doi.org/10.1210/en.2012-1126
Abbreviations
ARN: arcuate nucleus, MS: medial septum, DBB: diagnonal band broca, HPGA: hypothalamus-pituitary-go- nadal axis, GnRH: gonadotropin releasing hormone, ANOVA: analysis of variance, mPOA: medial preoptic area, ERa: estrogen receptor a, GAD-67: glutamic acid decarboxylase-67, RP3V: rostral periventricular area of the third ventricle.
NOTES

*Corresponding author.









