Surgical Science
Vol.08 No.12(2017), Article ID:80954,11 pages
10.4236/ss.2017.812056
The Effectiveness of Intraoperative Frozen Section Analysis of Safety Margins in Breast Conserving Surgery and the Role of Surgeon in Decreasing the Rate of Positive Margins
Omar Farouk1*, Ahmed Senbel1, Mosab Shetiwy1, Essam Attia1, Ahmed Abdallah1, Osama El-Damshety1, Ashraf Khater1, Sameh Roshdy1, Amr Abouzid1, Amr Hossam1, Islam H. Metwally1, Omar Hamdy1, Amir M. Zaid1, Mahmoud Abdelaziz1, Mohamed Elmetwally1, Adel Fathi1, Emad-Eldeen Hamed1, Khaled Abdel Wahab1, Wagdi El-Kashef2, Mohamed Hafez1, Khaled Zalata2, Mohamed Hegazy1, Adel Denewer1
1Surgical Oncology Department, Oncology Center, Faculty of Medicine, Mansoura University, Mansoura, Egypt
2Pathology Department, Faculty of Medicine, Mansoura University, Mansoura, Egypt

Copyright © 2017 by authors and Scientific Research Publishing Inc.
This work is licensed under the Creative Commons Attribution International License (CC BY 4.0).
http://creativecommons.org/licenses/by/4.0/



Received: November 11, 2017; Accepted: December 5, 2017; Published: December 8, 2017
ABSTRACT
Introduction: Nowadays the more accepted surgical option for treating early breast cancer is breast conserving surgery. The main challenge in this type of surgery is to get free safety margins without need of second surgical operation, so many breast surgeons have started to depend on intraoperative frozen sections to ensure free safety margins. Aim of work: To assess our policy that we prefer to depend on intraoperative frozen section analysis to get free safety margin in breast conserving surgery from the 1st surgery, and its oncologic outcome. Patients and Methods: This is a retrospective study conducted in Oncology Center―Mansoura University (OCMU), where the data of 219 patients with breast cancer, who were managed by breast conserving surgery with intraoperative frozen section analysis of the safety margins, was analyzed. Results: The intraoperative frozen section analysis of safety margin was negative from the start in 183 (83.6%) patients, while it was positive in 36 patients (16.4%). Intraoperative decision of margin re-excision was applied for 29 patients (13.2%) in order to reach negative margin, modified radical mastectomy was offered for 4 patients (1.8%), while nipple sparing mastectomy with immediate breast reconstruction using latissimus dorsi flap was offered for 3 patients (1.4%). The postoperative paraffin results were typical with intraoperative frozen section analysis results in 216 patients (98.6%) and different results were obtained in only 3 patients (1.4%) who were managed by modified radical mastectomy in a second operation. Only 4 patients had local recurrence (1.8%) during the period of follow-up duration which was ranged from 1 to 86 months with mean ± SD (22.3 ± 14.1). Conclusion: The intraoperative frozen section analysis of safety margins in breast conserving surgery has very high-rate typical results with the paraffin section analysis and it is very helpful in decreasing the rate of second surgical operation in cases of infiltrated margins. It should be used routinely in all cases of breast conserving surgery.
Keywords:
Breast Conserving Surgery, Intraoperative Frozen Section Analysis, Safety Margins, Breast

1. Introduction
The result of progress in radiological diagnosis of breast cancer leading to early detection of breast cancer, more breast cancers is detected at a smaller sized breast. This makes breast conserving surgery an accessible and preferable choice for many patients; this is due to the improved cosmetic and Psychic effect over the patient to preserve her breast. The breast recurrence after BCS is related to age of women, grade and size of the neoplasm, and presence of multifocality or multicentricity [1] [2] [3] [4] , whilst safety margin is the tremendous foreseeable of breast cancer local recurrence [5] [6] [7] [8] .
As a routine, the paraffin histopathological result following the breast conserving surgery will be received after few days, so if patient is in need for another operation to re-excise the residual tumor proved by positive safety margin, it will be cared out after many days later on the 1st one. The mentioned rates of re-excision in the literature ranged from 7% to 73%, with most of them reporting range between 15% - 50% [9] [10] [11] [12] .
Unfortunately, in unlucky cases the 2nd margin examined by paraffin is non-conclusive obligating the patient and surgeon to go for the 3rd time to the operating room. Imagine, the patient decision in these situations while we discuss her for the 3rd or even second operation she ask for mastectomy to avoid going again to operation if still positive margin after ongoing operation this is in spite of the early stage of her disease. Another problem for depending on paraffin, that delay in the other oncological, non-surgical lines for the patient, psychological burden over the patient and surly affecting the cosmosis of the breast [13] .
Our policy is to depend on the result of intraoperative frozen section analysis of the marginal status of the excised tumor, and if positive margins are found re-excision at same scene is done. Although, this may increase the cost and duration of the surgical operation but mostly it avoids the patient to be subjected to another operation. [13]
At Oncology Center―Mansoura University [OCMU], we have a policy to use frozen section to ensure the marginal status of the tumor resected to decrease the necessity for a second operation in case of residual tumor proved by positive marginal status. In this study, we want to estimate the validation of our policy to depend on the frozen section to ensure negative safety margin and asses the role of surgeon in decreasing the rate of positive margins.
2. Patient and Methods
This is a retrospective study conducted between 1 January 2010 till 29 February 2017, in Oncology Center―Mansoura University (OCMU), where the data of all patients with breast cancer who were exposed to BCS (Breast Conserving Surgery) with intraoperative frozen section analysis of the safety margins (219 patients) were reviewed. Patients with phylloides tumors and patients with indeterminate results or missing data were excluded from this study. The design of this study was approved by the Institutional Research Board (IRB) of the Faculty of Medicine in Mansoura University and written informed consent was obtained from all patients before enrolment.
The tumor safety margins were marked by stitches and send for frozen section analysis with an extra safety margin for more confirmation in cases when the resection margin was near to the tumor (Figure 1). If there were any positive safety margins for residual tumor so another intraoperative re-safety margin was excised.
We abstracted and recorded the following data; clinical characteristics (like age, side, site, size), radiologic findings (like microcalcifications), pathological characteristics (like preoperative biopsy, intraoperative frozen section status, paraffin section status, pathologic types, grade, staging, receptor status, surgical procedures (conventional breast conserving surgery or oncoplastic volume displacement techniques or reconstructive procedures with autologous flaps),
Figure 1. Resection of retroareolar breast tumor with safety margins marked by one stitch for the upper margin and two stitches for the medial margin with an extra-medial safety margin for more confirmation because the resection margin was near to the tumor.
number of surgical operations for each patient in order to calculate the percentage of second operation and how intraoperative frozen section analysis avoid this and follow-up visits for any local recurrent or distant metastasis and survival.
3. Results
This study evaluated 219 patients with breast cancer with mean ± SD age 48 ± 10 ranging from 23 - 76 years. The tumor affected right breast in 109 patients (49.8%) and the left breast in 110 patients (50.2%). Regarding the site; the upper outer quadrant was the affected area in 129 patients (58.9%), upper inner quadrant in 38 patients (17.4%), lower inner quadrant in 17 patients (7.8%), lower outer quadrant in 22 patients (10.0%) and retro areolar area in 13 patients (5.9%). Tumor size was ranged from 10 to 70 mm with mean ± SD (25 ± 9 mm).
Sixteen patients (7.3%) have no preoperative biopsy, 34 (15.5%) patients underwent fine needle aspiration cytology (FNAC) as preoperative biopsy, 154 patients (70.3%) subjected to core needle biopsy (CNB), 2 patients (0.9%) had an incisional preoperative biopsy and 13 patients (5.9%) had an excisional one. The preoperative pathological findings were found as follow; malignant with invasive type in 175 patients (79.9%), highly suspicious for malignancy in 16 patients (7.43%), atypical proliferative lesion in 4 patients (1.8%), ductal carcinoma in situ (DCIS) in one patient (0.5%), Paget’s disease in one patient (0.5%), fibroadenosis with sclerosis in one patient (0.5%), fibroadenosis in one patient (0.5%), benign breast lesions in 4 patients (1.8%) but highly suspicious in radiologic assessment and lastly there were 16 patients with no preoperative biopsy but highly suspicious in radiologic assessment. The demographic data of the patients were shown in Table 1.
The intraoperative frozen section analysis of safety margin was negative from the start in 183 (83.6%) patients, while it was positive in 36 patients (16.4%) (Figure 2 & Figure 3). Intraoperative decision of margin re-excision was applied for 29 patients (13.2%) in order to reach negative margin, modified radical mastectomy was offered for 4 patients (1.8%), while nipple sparing mastectomy with immediate breast reconstruction using latissimus dorsi flap was offered for 3 patients (1.4%).
The postoperative paraffin results were typical with intraoperative frozen section analysis results in 216 patients (98.6%) and different results were obtained in only 3 patients (1.4%) as follow: two patient (0.9%) with infiltrated all margins by DCIS, and one patient (0.5%) with infiltrated depth. Those 3 patients were managed by modified radical mastectomy in a second operation.
Final pathological types after paraffin section analysis were invasive ductal invasive carcinoma (IDC) in 199 (90.9%), invasive lobular carcinoma (ILC) in 10 patients (4.6%), mixed invasive type in one patient (0.5%), mucinous adenocarcinoma in 2 patients (0.9%), medullary carcinoma in 3 (1.4%), colloid carcinoma in 2 patients (0.9%) and ductal carcinoma in situ (DCIS) in 2 patients (0.9%)
Table 1. Patient demographics.
*Fine Needle Aspiration Cytology; **Core Needle Biopsy; ***Ductal Carcinoma In-Situ.
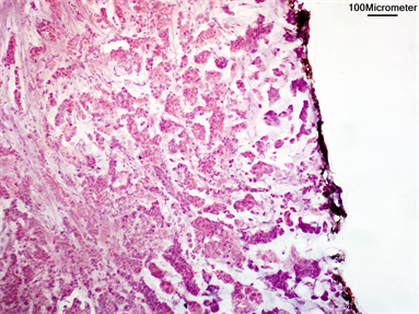
Figure 2. Positive surgical margin in intraoperative frozen section, black line indicate inked margin touched by tumor cells (Hematoxylin & eosin staining, 200x).
Figure 3. Negative surgical margin in intraoperative frozen section, black line indicate inked margin (Hematoxylin & eosin staining, 100x).
and pathological grade was grade 2 in 139 patients (63.5%), grade 1 in 7 patients (3.2%) and grade 3 in 59 patients (26.9%) and no available grade in 14 patients (6.4%). The results of intraoperative frozen section analysis and pathological outcome were shown in Table 2.
Breast conserving surgery was done in 212 patients (96.8%) with various techniques according to the breast volume and tumor size and its site. These surgical techniques are summarized in Table 3. Four patients (1.8%) had modified radical mastectomy and 3 patients (1.4%) had nipple sparing mastectomy with immediate breast reconstruction using latissimus dorsi flap.
The intraoperative frozen section analysis avoids second surgical operation in 216 patients (98.6%) while second surgical operation in the form of MRM was done for 3 patients (1.4%) who had different paraffin section analysis results of safety margins.
Only 4 patients had local recurrence (1.8%) during the period of follow-up duration which was ranged from 1 to 86 months with mean ± SD (22.3 ± 14.1). Distant metastasis was developed in 11 patients during this period of follow-up as the following; 4 patients (1.8%) had bone distant metastasis, one patient (0.5%) had liver metastasis, one patient (0.5%) had pleural effusion, one patient (0.5%) had bone and liver metastasis, local recurrence & contralateral nodal metastasis was developed in 2 patients (1.8%), local and regional recurrence was noticed in one patient (0.5%) and krukenberg tumor was developed in one patient (0.5%).
4. Discussion
Oncology Center―Mansoura University (OCMU) is a referral oncology center, we receive referral cases of breast cancer from Egyptian delta governments, as to the last data received from The International Agency for Research on Cancer (GLOBOCAN 2012), the breast carcinoma is considered the most common one affecting female all over the world with some increased incidence with the developing countries [14] .
Table 2. The results of intraoperative frozen section analysis and pathologic outcome.
*Modified Radical Mastectomy; **Nipple Sparing Mastectomy with Immediate Breast Reconstruction using Latissimus Dorsi Flap.
Table 3. Surgical and oncologic outcome.
Conserving the osmosis of the patient breast is now the corner stone for treating breast cancer. That is why breast conserving surgery became more popular either among surgeons and patients. Breast conserving surgery resects the tumor with safety margin but what is the warranty that is no residual tumor? Some surgeons may depend on the preoperative radiological diagnosis and gross resection intraoperative with waiting the result of the paraffin histopathological about safety margins. Some prefer wide margin, however it may be difficult to gain due to size of the breast and tumor site [13] . The other strategy is to depend on the intraoperative frozen section analysis.
The disadvantage of depending on paraffin section analysis are that we may need another operation with more risk of anesthesia, delay to start adjuvant therapy lines for the patients, psychological trauma to the patient that she need another operation and surly more cost and the patient´s work disturbance [15] .
In our work we depend mainly on the preoperative radiological and clinical assessment for intraoperative resection guide and frozen section to be sure of clear safety margin with discussion of other surgical option with patient preoperatively if we need it. Our result revealed that intraoperative frozen section analysis confirmed negative margin for residual malignancy in 183 patients (83.6%) positive for residual malignancy need more remargin in 36 patients (16.4%). For other patients with positive margins; intraoperative decision for re-excision was applied for 29 patients (13.2%) for attempt to gain another negative safety margin guided by intraoperative frozen section analysis which was successful in this issue, modified radical mastectomy was offered for 4 patients (1.8%) due to either patient desire or extensive DCIS or due to the breast being small in volume not allowing more resection of margins, while nipple sparing mastectomy with immediate breast reconstruction using latissimus dorsi flap was offered for 3 patients (1.4%). Our rate of positive margin was low (16.4%) in comparison to other authors in literature e.g. 57% [13] , 30.3% [16] and 25% [15] .
This low rate for re-excision in our work could be explained as we are usually resecting from the start margins being grossly free as possible as we can surly with the balance of cosmetic outcome. The postoperative paraffin results corresponded with intraoperative frozen in 216 patients (98.6%) and different results had occurred only in 3 patients (1.4%), this is little less than mentioned by Osako et al. (4%) [16] .
The benefit of our strategy in surgical planning that is patient subjected only to one surgery, one anesthesia risk and one hospital admission as possible, moreover psychological suffering of one operation is less than two operations. Limitations are the need for special surgical training, expertise pathologist, equipment for frozen and apparently more cost but in total we think it is less cost.
5. Conclusion
The intraoperative frozen section analysis of safety margins in breast conserving surgery has very high-rate typical results with the paraffin section analysis and we can depend on it in decreasing the rate of second surgical operation in cases of infiltrated margins. It should be used routinely in all cases of breast conserving surgery.
Funding
Authors disclose no funding sources.
Competing Interests
Authors disclose no potential conflicts of interest.
Cite this paper
Farouk, O., Senbel, A., Shetiwy, M., Attia, E., Abdallah, A., El-Damshety, O., Khater, A., Roshdy, S., Abouzid, A., Hossam, A., Metwally, I.H., Hamdy, O., Zaid, A.M., Abdelaziz, M., Elmetwally, M., Fathi, A., Hamed, E.-E., Wahab, K.A., El-Kashef, W., Hafez, M., Zalata, K., Hegazy, M. and Denewer, A. (2017) The Effectiveness of Intraoperative Frozen Section Analysis of Safety Margins in Breast Conserving Surgery and the Role of Surgeon in Decreasing the Rate of Positive Margins. Surgical Science, 8, 499-509. https://doi.org/10.4236/ss.2017.812056
References
- 1. Kurtz, J.M., Jacquemier, J., Amalric, R., Brandone, H., Ayme, Y., Hans, D., et al. (1990) Breast-Conserving Therapy for Macroscopically Multiple Cancers. Annals of Surgery, 212, 38-44. https://doi.org/10.1097/00000658-199007000-00006
- 2. Jobsen, J.J., van der Palen, J., Ong, F. and Meerwaldt, J.H. (2003) The Value of a Positive Margin for Invasive Carcinoma in Breast-Conservative Treatment in Relation to Local Recurrence Is Limited to Young Women Only. International Journal of Radiation Oncology, Biology, Physics, 57, 724-731. https://doi.org/10.1016/S0360-3016(03)00644-8
- 3. Arriagada, R., Le, M.G., Rochard, F. and Contesso, G. (1996) Conservative Treatment versus Mastectomy in Early Breast Cancer: Patterns of Failure with 15 Years of Follow-Up Data. Institut Gustave-Roussy Breast Cancer Group. Journal of Clinical Oncology, 14, 1558-1564. https://doi.org/10.1200/JCO.1996.14.5.1558
- 4. Fisher, B., Anderson, S., Bryant, J., Margolese, R.G., Deutsch, M., Fisher, E.R., et al. (2002) Twenty-Year Follow-Up of a Randomized Trial Comparing Total Mastectomy, Lumpectomy, and Lumpectomy plus Irradiation for The Treatment Of Invasive Breast Cancer. The New England Journal of Medicine, 347, 1233-1241. https://doi.org/10.1056/NEJMoa022152
- 5. Singletary, S.E. (2002) Surgical Margins in Patients with Early-Stage Breast Cancer Treated with Breast Conservation Therapy. The American Journal of Surgery, 184, 383-393. https://doi.org/10.1016/S0002-9610(02)01012-7
- 6. Bedwinek, J.M., Brady, L., Perez, C.A., Goodman, R., Kramer, S. and Grundy, G. (1980) Irradiation as the Primary Management of Stage I and II Adenocarcinoma of the Breast: Analysis of the RTOG Breast Registry. Cancer Clinical Trials, 3, 11-18.
- 7. Park, C.C., Mitsumori, M., Nixon, A., Recht, A., Connolly, J., Gelman, R., et al. (2000) Outcome at 8 Years after Breast-Conserving Surgery and Radiation Therapy for Invasive Breast Cancer: Influence of Margin Status and Systemic Therapy on Local Recurrence. Journal of Clinical Oncology, 18, 1668-1675. https://doi.org/10.1200/JCO.2000.18.8.1668
- 8. Freedman, G., Fowble, B. and Hanlon, A. (1999) Patients with Early Stage Invasive Cancer with Close or Positive Margins Treated with Conservative Surgery and Radiation Have an Increased Risk of Breast Recurrence That Is Delayed by Adjuvant Systemic Therapy. International Journal of Radiation Oncology, Biology, Physics, 44, 1005-1015. https://doi.org/10.1016/S0360-3016(99)00112-1
- 9. Singh, M., Singh, G., Hogan, K.T., Atkins K.A. and Schroen, A.T. (2010) The Effect of Intraoperative Specimen Inking on Lumpectomy Re-Excision Rates. World Journal of Surgical Oncology, 8, 4. https://doi.org/10.1186/1477-7819-8-4
- 10. Margenthaler, J.A., Gao, F., Klimberg, V.S. (2010) Margin Index: A New Method for Prediction of Residual Disease after Breast-Conserving Surgery. Annals of Surgical Oncology, 17, 2696-2701. https://doi.org/10.1245/s10434-010-1079-z
- 11. Balch, G.C., Mithani, S.K., Simpson, J.F. and Kelley, M.C. (2005) Accuracy of Intraoperative Gross Examination of Surgical Margin Status in Women Undergoing Partial Mastectomy for Breast Malignancy. The American Journal of Surgery, 71, 22-27.
- 12. Thompson, M., Henry-Tillman, R., Margulies, A., Thostenson, J., Bryant-Smith, G., Fincher, R., et al. (2007) Hematoma-Directed Ultrasound-Guided (HUG) Breast Lumpectomy. Annals of Surgical Oncology, 14, 148-156. https://doi.org/10.1245/s10434-006-9076-y
- 13. Osborn, J.B., Keeney, G.L., Jakub, J.W., Degnim, A.C., Boughey, J.C. (2011) Cost-Effectiveness Analysis of Routine Frozen-Section Analysis of Breast Margins Compared with Reoperation for Positive Margins. Annals of Surgical Oncology, 18, 3204-3209. https://doi.org/10.1245/s10434-011-1956-0
- 14. Azim, H.A. and Ibrahim, A.S. (2014) Breast Cancer in Egypt, China and Chinese: Statistics and Beyond. Journal of Thoracic Disease, 6, 864-866.
- 15. Nafissi, N., et al. (2012) Accuracy of Intraoperative Margin Investigation by Frozen-Section in Breast Conservative Surgery. Basic and Clinical Cancer Research, 4, 16-20.
- 16. Osako, T., Nishimura, R., et al. (2015) Efficacy of Intraoperative Entire-Circumferential Frozen Section Analysis of Lumpectomy Margins during Breast-Conserving Surgery for Breast Cancer. International Journal of Clinical Oncology, 20, 1093-1101. https://doi.org/10.1007/s10147-015-0827-2





