Open Journal of Thoracic Surgery
Vol.08 No.02(2018), Article ID:85113,7 pages
10.4236/ojts.2018.82004
Successful Management of Pulmonary Tumor Embolism from Renal Cell Carcinoma
Kayo Sugiyama1*, Hirotaka Watanuki1, Masaho Okada1, Yasuhiro Futamura1, Ikuo Sugimoto2, Kogenta Nakamura3, Katsuhiko Matsuyama1
1Department of Cardiac Surgery, Aichi Medical University Hospital, Nagakute, Japan
2Department of Vascular Surgery, Aichi Medical University Hospital, Nagakute, Japan
3Department of Urology Surgery, Aichi Medical University Hospital, Nagakute, Japan

Copyright © 2018 by authors and Scientific Research Publishing Inc.
This work is licensed under the Creative Commons Attribution International License (CC BY 4.0).
http://creativecommons.org/licenses/by/4.0/



Received: April 1, 2018; Accepted: June 4, 2018; Published: June 7, 2018
ABSTRACT
Although invasion of renal cell carcinoma (RCC) into the inferior vena cava is common, pulmonary tumor embolism is rare. We present a case of a pulmonary tumor embolism from type II papillary renal cell carcinoma successfully treated using a staged approach. Such staged procedures are particularly effective in cases of massive renal tumors. Pulmonary tumor embolectomy using normothermic cardiopulmonary bypass is considerably less invasive than under deep hypothermic circulatory arrest.
Keywords:
Pulmonary Tumor Embolism, Renal Cell Carcinoma, Papillary Cell Carcinoma

1. Introduction
The relationship between neoplastic disease and thromboembolic disorders has been recognized since 1865 [1] . Thromboembolic pulmonary emboli are identified more frequently than tumor pulmonary emboli.
Tumor pulmonary embolism is exceedingly difficult to recognize and the optimal treatment strategy for such situations involving both primary and metastatic lesions is still controversial. We describe the successful staged treatment of pulmonary tumor emboli from advanced renal cell carcinoma (RCC) with local extension into the inferior vena cava (IVC) with radical nephrectomy followed by elective pulmonary tumor embolectomy using cardiopulmonary bypass.
2. Case Report
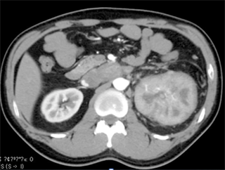
A 47-year-old man was referred to our institute with an enlarging left RCC. Computed tomography scanning revealed a large enhanced mass in the left kidney (Figure 1(a)) and local extension into the infrahepatic IVC (Figure 2) with pulmonary tumor embolism (Figure 3(a)). The embolism was located at the proximal portion of the right pulmonary artery, with no suspicious lesions in the left lung. As the mass of the RCC had been rapidly increasing in size for the past 2 months, early surgery was scheduled.
On the day before nephrectomy, catheter embolization of the left renal arteries was carried out by radiologists in order to decrease the size of tumor (Figure 4(a)). On the following day, radical nephrectomy and resection of the extended tumor in the IVC were performed through a median laparotomy. Although invasion of Gerota’s fascia was observed, there was no metastasis to the lymph nodes. After inspection of the IVC through a longitudinal incision, the cylindrical tumor tissue was found to occupy the entire left renal vein and IVC (Figure 4(b) and Figure 4(c)). The tumor was completely resected along with the wall of the left renal vein and the IVC directly closed using linear suturing. Computed tomography scanning performed immediately after the surgery found no new lesions in the pulmonary arteries.
On the following day, through a median sternotomy, cardiopulmonary bypass was established with bicaval drainage and ascending aortic cannulation. The tumor embolus appeared just beneath the orifice of the right pulmonary artery (Figure 5(a)). The adhesion between the tumor and the pulmonary intima was mild, and the tumor was easily extracted using Jamieson’s suction device without intimal injury (Figure 5(a)). A pathologic assessment revealed type II papillary renal cell carcinoma that was diagnosed as kidney metastasis.
After sufficient anticoagulant treatment, the patient was discharged without any complications (Figure 1(b), Figure 3(b)). He is currently doing well with no evidence of recurrent disease or other metastases at a follow-up of 10 months. Follow up computed tomography revealed no recurrences and other metastases.


Figure 1. (a) Preoperative computed tomographic scan showing a large enhanced mass in the left kidney; (b) Postoperative computed tomographic scan showing no recurrences and other metastases.
Figure 2. Computed tomography scan showing local extension of the left renal tumor into the infrahepatic inferior vena cava (white arrow heads).


Figure 3. (a) Preoperative computed tomography scan showing tumor embolism in the right pulmonary artery (white arrow head); (b) Postoperative computed tomography scan showing no pulmonary tumor emboli.



Figure 4. (a) Catheter embolization of the left renal arteries; (b) The resected left kidney showing renal cell carcinoma; (c) Tumor tissue extending throughout the entire left renal vein and inferior vena cava (white arrow heads).


Figure 5. (a) Intraoperative view showing complete resection of the right pulmonary tumor emboli (white arrow head) using Jamieson’s suction device (black arrow head); (b) Resected tumor with processes extending into the right pulmonary artery.
3. Discussion
The relationship between neoplastic disease and thromboembolic disorders has been recognized since 1865, when Armand Trousseau first reported a high incidence of venous thrombosis in a series of patients with gastric carcinoma [1] . Thromboembolic pulmonary emboli are identified more frequently than tumor pulmonary emboli. In 65,181 cancer patients, 1708 patients with pulmonary emboli were identified (2.6%) [2] . In them, thrombotic pulmonary emboli were identified in 1514 patients, tumor pulmonary embolus was identified in 124 patients and tumor invasion was identified in 69 patients [2] . In the present case, according to the pathological findings, pulmonary embolus was tumor embolism.
Although RCC invades the venous system in approximately 5% to 10% of cases [3] [4] , involvement of the circulation of the right side of the heart system, including the pulmonary artery, is extremely rare (0.6% - 1%) [4] [5] [6] [7] . The successful removal of a pulmonary embolus secondary to RCC was first reported by Daughtry in 1977 [8] [9] . Aggressive surgical resection is the only curative option for RCC extending into the IVC or beyond into the right atrium and pulmonary arteries as chemotherapy and radiotherapy produce only marginal palliative results [3] [5] [10] . Removal of the thrombus improves not only respiratory distress or right heart failure, but also the prognosis of patients with RCC. However, even in the current era, the in-hospital mortality of this condition can reach 40% and morbidity occurs in up to 47% of patients [5] .
Kayalar et al. recommended concomitant removal of pulmonary tumor embolism and primary renal tumor to decrease the duration of ventilation and hospital stay compared with a staged approach [3] . However, the use of cardiopulmonary bypass has been associated with higher overall blood loss, a greater rate of coagulopathy, and longer operative times [3] [9] . In addition, deep hypothermic circulatory arrest could increase the incidence of perioperative renal failure, neurological complications, and coagulation disorders [5] [10] . On the contrary, Isringhaus et al. reported the opposite strategy, in which embolectomy precedes nephrectomy [11] . Fortunately, in our case, the primary renal tumor extending to the IVC could be completely removed without the use of cardiopulmonary bypass and the pulmonary tumor embolism was only located at the proximal portion of the right pulmonary artery. Therefore, a staged radical nephrectomy and pulmonary tumor embolectomy using normothermic cardiopulmonary bypass was selected since the location of the embolism did not necessitate deep hypothermic circulatory arrest. If radical nephrectomy is not possible without the use of cardiopulmonary bypass due to extended tumor invasion into the IVC, concomitant surgery with cardiopulmonary bypass should be considered. Figure 6 shows our strategy for the cases of RCC with tumor pulmonary emboli (Figure 6). However, patients with multiple pulmonary tumor emboli or those with embolus lodged in the distal pulmonary artery may not be suitable for surgical intervention.
The present patient was slightly younger and at a more advanced stage than in previous reports. The pathological examination of the resected specimen showed it to be type II papillary renal cell carcinoma. This type presents as an advanced high-grade tumor in young patients and is frequently associated with ganglial metastasis and venous invasion. The overall and disease-free survival rates of this type are poorer than type I tumors [12] . Complete surgical resection offers 40% to 70% 5-year survival in the absence of metastases or lymph node involvement, while survival is significantly lower (0% - 20%) if metastases are present [5] .
Long-term survival in patients with advanced RCC and pulmonary tumor embolism has been previously shown to be poor. However, early and aggressive surgical options may improve the patients’ chances at survival.
Figure 6. Sociodemographic and clinical characteristics of the RCC cases with pulmonary tumor emboli.
IVC filter was not planned because the RCC extended to the infrahepatic IVC. Therefore, after nephrectomy, computed tomography scanning was performed to detect new pulmonary tumor emboli.
4. Conclusion
For treatment of advanced RCC with pulmonary tumor embolism, complete surgical resection and a multidisciplinary approach are imperative. A staged procedure using normothermic cardiopulmonary bypass without deep hypothermic circulatory arrest is less invasive and is associated with less blood loss.
Disclosures
The authors have no conflicts of interest to disclose. This study did not receive any specific funding.
Author’s Contributions
Study conception: KS; Data collection: KS, FY, MO; Analysis: KS, HW, KM; Investigation: KS, IS, KN, KM; Writing: KS, KM; Funding acquisition: KS; Critical review and revision: all authors; Final approval of the article: all authors; Accountability for all aspects of the work: all authors.
Acknowledgements
We thank Honyaku Center for reviewing and editing the manuscript. We thank our colleagues for their helpful comments.
Cite this paper
Sugiyama, K., Watanuki, H., Okada, M., Futamura, Y., Sugimoto, I., Nakamura, K. and Matsuyama, K. (2018) Successful Management of Pulmonary Tumor Embolism from Renal Cell Carcinoma. Open Journal of Thoracic Surgery, 8, 19-25. https://doi.org/10.4236/ojts.2018.82004
References
- 1. Rickles, F.R. and Edwards, R.L. (1983) Activation of Blood Coagulation in Cancer: Trousseau’s Syndrome Revisited. Blood, 62, 14-31.
- 2. Sakuma, M., Fukui, S., Nakamura, M., et al. (2006) Cancer and Pulmonary Embolism: Thrombotic Embolism, Tumor Embolism, and Tumor Invasion into a Large Vein. Circulation Journal, 70, 744-749. https://doi.org/10.1253/circj.70.744
- 3. Kayalar, N., Leibovich, B.C., Orszulak, T.A., et al. (2010) Concomitant Surgery for Renal Neoplasm with Pulmonary Tumor Embolism. The Journal of Thoracic and Cardiovascular Surgery, 139, 320-325. https://doi.org/10.1016/j.jtcvs.2009.04.021
- 4. Chiappini, B., Savini, C., Marinelli, G., et al. (2002) Cavoatrial Tumor Thrombus: Single-Stage Surgical Approach with Profound Hypothermia and Circulatory Arrest, including a Review of the Literature. The Journal of Thoracic and Cardiovascular Surgery, 124, 684-688. https://doi.org/10.1067/mtc.2002.124295
- 5. Gaudino, M., Lau, C., Cammertoni, F., et al. (2016) Surgical Treatment of Renal Cell Carcinoma with Cavoatrial Involvement: A Systematic Review of the Literature. The Annals of Thoracic Surgery, 101, 1213-1221. https://doi.org/10.1016/j.athoracsur.2015.10.003
- 6. Paw, P. and Jamieson, S.W. (1997) Pulmonary Thromboendarterectomy for the Treatment of Pulmonary Embolism Caused by Renal Cell Carcinoma. The Journal of Thoracic and Cardiovascular Surgery, 114, 295-297. https://doi.org/10.1016/S0022-5223(97)70164-8
- 7. Noguchi, K., Hori, D., Nomura, Y., et al. (2012) Renal Cell Carcinoma with Tumor-Thrombus Extension into the Right Ventricle. Annals of Vascular Diseases, 5, 376-380. https://doi.org/10.3400/avd.cr.11.00067
- 8. Daughtry, J.D., Stewart, B.H., Golding, L.A., et al. (1977) Pulmonary Embolus Presenting as the Initial Manifestation of Renal Cell Carcinoma. The Annals of Thoracic Surgery, 24, 178-181. https://doi.org/10.1016/S0003-4975(10)63730-7
- 9. Kubota, H., Furuse, A., Kotsuka, Y., et al. (1996) Successful Management of Massive Pulmonary Tumor Embolism from Renal Cell Carcinoma. The Annals of Thoracic Surgery, 61, 708-710. https://doi.org/10.1016/0003-4975(95)00744-X
- 10. Vogt, P.R., Ensner, R., Pretre, R., et al. (1999) Less Invasive Surgical Treatment of Renal Cell Carcinomas Extending into the Right Heart and Pulmonary Arteries: Surgery for Renal Cell Carcinoma. Journal of Cardiac Surgery, 14, 330-333. https://doi.org/10.1111/j.1540-8191.1999.tb01004.x
- 11. Isringhaus, H., Naber, M. and Kopper, B. (1987) Successful Treatment of Tumor Embolism of a Hypernephroma with Complete Occlusion of the Left Pulmonary Artery. The Thoracic and Cardiovascular Surgeon, 35, 65-66. https://doi.org/10.1055/s-2007-1020199
- 12. Pignot, G., Elie, C., Conquy, S., et al. (2007) Survival Analysis of 130 Patients with Papillary Renal Cell Carcinoma: Prognostic Utility of Type 1 and Type 2 Subclassification. Urology, 69, 230-235. https://doi.org/10.1016/j.urology.2006.09.052
Abbreviations
Renal Cell Carcinoma (RCC), Inferior Vena Cava (IVC).



