Open Journal of Pathology
Vol.08 No.04(2018), Article ID:86639,9 pages
10.4236/ojpathology.2018.84014
Toxico-Pathological Studies of Foeniculum vulgare Plant in Mice
F. A. Al-Hizab1*, Y. A. Hussein2, M. M. Hasseeb1, S. E. M. Barakat1, M. S. Moqbel1
1Department of Pathology, College of Veterinary Medicine, King Faisal University, Al-Ahsa, KSA
2Department of Forensic Medicine and Toxicology, College of Veterinary Medicine, Alexandria University, Alexandria, Egypt

Copyright © 2018 by authors and Scientific Research Publishing Inc.
This work is licensed under the Creative Commons Attribution International License (CC BY 4.0).
http://creativecommons.org/licenses/by/4.0/



Received: March 11, 2018; Accepted: August 11, 2018; Published: August 14, 2018
ABSTRACT
Background and objective: Foeniculum vulgare-Mill (Umlliferae), is widely used in the Arabian Peninsula for treating various human and animal diseases. There is need to insure the safety of this plant as a remedy that could be used for a long time. This study aimed to determine the LD50 of the aerial parts of Foeniculum vulgare in mice, as well as to investigate its toxic pathological effects. Methodology: A total of eighty (80) albino mice of both sexes, weighing 25 - 30 g, were used in the present study. Ten (10) mice were used for the determination of LD50 of Foeniculum vulgare in mice. Fifty (50) mice were used in the acute toxicity, and twenty (20) mice were used to study the subacute toxicity of the aerial parts of Foeniculum vulgare juice. Results: the present results revealed that the LD50 of Foeniculum vulgare juice in mice was 9.772 mg/kg/body weight (BW). On the other hand, mice received 0.9 mg/kg/BW of Foeniculum vulgare juice intraperitoneally showed slightly closed eyes intermittent convulsions itching of the nose and increased respiratory rate and abdominal movements. Histopathological examination of the liver showed hepatocytic degeneration and necrosis, congestion with perivascular mononuclear cell infiltrations and peribiliary mononuclear cell aggregations. Whereas the spleen of mice showed depletion of lymphocytes and mononuclear as well as multinuclear cells. The duodenum showed sub-epithelial congested blood vessels, numerous areas of lymphocytic infiltrations and vascular and hydropic degeneration of epithelial cells lining the duodenal Brunner’s glands. Moreover, the kidney showed degenerated tubular epithelial cells, congestion with excess of mononuclear cells, necrotic and desquamated epithelial cells of the proximal convoluted tubules. The lung of mice showed congestion, emphysema with variable degrees of mononuclear cell infiltrations and peribronchial congested blood capillaries and mononuclear cell infiltration. Conclusion: It could be concluded that Foeniculum vulgare juice is toxic to mice when administered in a dose of 9.772 mg/kg/BW. However, the recommended dose for treatment could be less than 0.98 ml/kg BW. (1/10 of the LD50) of Foeniculum vulgare juice.
Keywords:
Foeniculum vulgare, Hepatotoxicity, Nephrotoxicity, Histopathological Changes

1. Introduction
Foeniculum vulgare-Mill (F. vulgare), common name fennel, sweet fennel, family Umbelliferae is a common herb that grows in many countries especially in the Mediterranean region. It has been known as a diuretic, emmenagogue, as well as an antibacterial [1] [2] [3] . The morphology, ethnomedicinal applications, phytochemistry, pharmacology, and toxicology of Foeniculum vulgare was extensively reviewed [4] . Recently, the ripe fruit of F. vulgare is widely utilized in Arabian folk medicine systems as a stimulant, digestive, appetizer, diuretic, and an infantile febrifuge. Several studies have shown the importance of F. vulgare as a folk medicine in the Arabian Peninsula. However, the toxic effect of the plant is poorly investigated.
Shah et. al. (1991) [5] studied the acute (24-h) and chronic (90-day) oral toxicity of the ethanolic extracts of Foeniculum vulgare fruit and aerial parts in mice. They concluded that the extract failed to show spermatotoxic effects and no significant acute or chronic mortality were observed in mice given F. vulgare fruits and aerial parts orally.
The acute toxicity (LD50) of F. vulgare extract given intraperitoneally to Swiss albino mice was previously described [6] . The method involved the administration of 5 different doses of the extract to 5 groups of mice. The mortality in each group was recorded within 24 h. LD50 was estimated from the graph of percentage (%) mortality (converted to probit) against log-dose of the extract―probit 5 being 50%.
In addition, Hussein, Y. A. (2014) [7] reported that the aerial parts of Foeniculum vulgare given orally were toxic to ruminants and all animals showed loss of appetite, bloat and nervous signs.
Recently, several studies have investigated the use of plant-derived essential oils in the treatment of skin dermatophytosis [8] [9] [10] . Hong, Z. (2015) [11] showed that F. vulgare has better antifungal activity than the commonly used antifungal agents.
The therapeutic values of F. vulgare as a herbal medicine is related to its numerous chemical compounds, therefore it has been used as an antispasmodic [12] , antifungal and antioxidant [13] , in the treatment of lung cancer as well as in the prevention of thrombosis and atherosclerosis [14] and as osteoporosis in various bone disorders in elderly people [15] .
The objective of the present study was to investigate the toxic pathological effect of F. vulgare juice of aerial parts in mice.
2. Materials and Methods
2.1. Materials
2.1.1. Plant Material
The aerial parts of Foeniculum vulgare Mill. (leaves and stem) were freshly collected from different farms in Al-Ahsa region, Kingdom of Saudi Arabia. Approximately 2 kg of fresh plant material were minced and squeezed to obtain juice. The juice was then filtered through filter paper.
2.1.2. Animals
Eighty Wistar albino mice of both sexes, aged 6 - 7 weeks, weighing 25 - 30 g, obtained from the College of Veterinary Medicine, (KFU), were used in this investigation during October, 2016. Animals were apparently healthy and were fed on commercial pellets, (obtained from the Grain Silos and Flour mills Organization-Riyadh). Animals were housed at + 30˚C. Humidity was controlled in the range of 30% - 70% with a light/dark cycles of 12:12. The mice were allowed free access to tap water and feed. Throughout the days of experiment, all animals were observed daily for signs of toxicity. All animals were then killed at the termination of the experiment.
2.2. Methods
2.2.1. Determination of the LD50 in Mice
According to the method of Weil, C., (1952) [16] for determination of the toxic dose of LD50, exploratory trials were performed in five groups each of two mice of both sexes. Fresh juice of F. vulgare was administered intraperitoneally (i.p) in doses of 0.1 (4 ml/kg), 0.2 (8 ml/kg), 0.3 (12 ml/kg), 0.4 (16 ml/kg) and 0.5 (20 ml/kg) to mice in the five groups to determine the smallest toxic dose of the plant to start with.
2.2.2. Acute Toxicity
F. vulgare juice at a dose 0.2 ml/animal (8 ml/kg), was considered as the minimal dose to cause signs of toxicity in mice. This dose was multiplied by a constant factor 1.2 and administrated orally for each succeeding group of mice, as a single dose. Five groups of mice each of 10 mice were used. The fifth group was kept as control. Mortality rate was recorded after 24 hours. The schedule of dosing is shown in Table 1.
Table 1. Calculation of LD 50 in mice.
2.2.3. Subacute Toxicity
Twenty adult mice of both sexes were allocated into two equal groups (10 mice each). The 1st group was daily injected intraperitoneally (i.p) with 1/10 of the LD50 (0.98 ml/kg BW) for 7 days. The second group was injected by saline solution as a control. All mice were kept under observation throughout the experiment. The animals were killed after one week.
2.2.4. Pathological Methods
All animals were killed at the end of the experiment, dissected and thoroughly examined for detection of any abnormalities. Tissue specimens were routinely taken from the liver, lung, kidneys, spleen and different parts of the intestine. Tissue samples for histopathology were fixed in 10 per cent neutral buffered formalin (NBF), later processed in paraffin and sectioned at 4 µm. Finally, all sections were routinely stained with hematoxylin and eosin (H & E) using Ehrlich, Alum haematoxylin [17] .
3. Results
3.1. The LD 50 in Mice
The LD50 value for Foeniculum vulgare-Mill. Juice in albino mice was 9.772 ml/kg.BW. after i.p injection according to the method of Weil, C. (1952) [16] .
3.2. Clinical Signs
Appearance of slightly closed eyes, and hop or jump movement with elevation of the tail, were the remarkable signs exhibited by most of the experimental mice especially those in the acute toxicity groups. Moreover, the mortality rates in these mice were shown in Table 1. In the subacute toxicity groups, mice showed irritable intermittent convulsions, itching of the nose, increased respiratory rate and abdominal movements.
3.3. Histopathologic Changes
Figures 1-5 showed the histopathological changes in liver, spleen, duodenum, kidney and lung of mice injected intraperitoneally (i.p) with 1/10 of the LD50 (0.98 ml/kg bwt) of Foeniculum vulgare for 7 days.
Moderate to severe hepatocytic degeneration and necrosis combined with congestion and mononuclear inflammatory cells infiltration were observed in the livers of mice (Figures 1(a)-(e)). In addition, spleen showed aggregation of both mononuclear and multinuclear inflammatory cells (Figure 2). In duodenum of mice, vacuolar and hydropic degeneration of brunner’s glands epithelial cells as well as subepithelial blood vessels congestion and mononuclear inflammatory cells aggregations were observed (Figure 3(a) and Figure 3(b)).
Kidneys of mice showed degeneration, necrosis and desequmoated epithelial cells of renal tubules combined with congestion and mononuclear cells infiltration (Figure 4(a) and Figure 4(b)). Moreover, emphysema, peribronchial congestion as well as various degree of mononuclear inflammatory cells infiltration were seen in lungs of mice (Figure 5(a) and Figure 5(b)).
4. Discussion
According to the classification of Loomis TA. (1968) [18] , Foeniculum vulgare-Mill juice is considered slightly toxic. However, there is relatively limited literature
Figure 1. (a) Liver of mice 7 days PI (post-intoxication), showed hepatocytic degeneration and necrosis, congestion with perivascular mononuclear cell infiltrations. H & E. ×160; (b) Liver of mice 7 days PI, showed hepatocytic degeneration and necrosis with mononuclear cell aggregation. H & E. ×160; (c) Liver of mice 7 days PI, showed mild Hepatocytic degeneration, dilated central vein with paracentral mononuclear cell aggregation. H & E. ×160; (d) Liver of mice 7 days PI, showed excess of Peribiliary mononuclear cell infiltration abd congested capillaries. H & E. ×160; (e) Liver of mice 7 days PI, showed variable degrees of Hepatocytic degeneration with some dark eosinophilic stained coagulative necrotic hepatocytes. H & E. ×160.
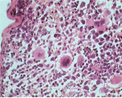
Figure 2. Spleen of mice 7 days PI, showed depletion of the lymphocytes with some large mononuclear as well as multinuclear cells. H & E. ×160.
Figure 3. (a) Duodenum of mice 7 days PI, showed subepithelial congested blood vessel and numerous areas of lymphocytic infiltration. H & E. ×160; (b) Duodenum of mice 7 days PI, showed vacuolar and hydropic degeneration of the epithelial cells for the duodenal Brunner’s glands. H & E. ×160.
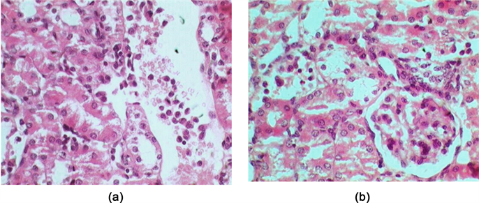
Figure 4. (a) Kidney of mice 7 days PI, showed degenerated tubular PI epithelial cells, congestion with excess of intravascular as well as intertubular mononuclear inflammatory cells. H & E. ×160; (b) Kidney of mice 7 days showed degenerated, necrotic and desquamated epithelial cells that lining for some of the proximal convoluted tubules. H & E. ×160.
Figure 5. (a) Lung of mice 7 days PI, showed congestion, emphysema with a variable degree of mononuclear cell infiltrations. H & E. ×160; (b) Lung of mice 7 days PI, to show the peribronchial congested blood capillaries and mononuclear cell infiltrations. H & E. ×160.
concerning the acute toxicity of Foeniculum vulgare juice. Recently, many authors have mentioned the acute toxicity of several extracts of F. vulgare seeds. Finney, D. J. (1964) [19] and Nassar et al. (2010) [20] reported that, the crude hexane, methylene chloride, ethyle acetate and methanol extracts of Foeniculum vulgare-Mill, showed antinociceptive and anti-inflammatory activity without showing signs of toxicity.
The symptoms of toxicity exhibited by mice in this study included closed eyes, abnormal movement (hop or jump), intermittent convulsions, itching of the nose, increased respiratory rate and abdominal movements.
Several authors have studied the effects of F. vulgare in mice and rats. Khazaei et al. (2011) [21] reported that Foeniculum vulgare induced folliculogenesis in female mice and ovary. The hypoglycemic and hepatoprotective effect of Foeniculum vulgare oil extracts in mice and rats were studied by Özbek et al., (2003) and (2004) [22] [23] . In addition, the antidiabetic effect of F. vulgare in STZ-induced diabetic rats was investigated by El-Soud et al. (2011) [24] . However, the histopathological changes following the administration of F. vulgare to mice are not fully investigated. In the present study, several histopathological alterations were observed in the liver (Figures 1(a)-(e)), spleen (Figure 2), duodenum (Figure 3(a) and Figure 3(b)), kidney (Figure 4(a) and Figure 4(b)) and lung (Figure 5(a) and Figure 5(b)). Moderate to severe hepatocytic degeneration and necrosis combined with mononuclear cells infiltration were observed in the livers of mice. As the liver is the organ that protects the individual against toxic injury, it seems that the dose of F. vulgare given to mice in this study exceeded the capacity of the liver to repair the damage. Many authors reported that toxic plants have induced similar liver damage in different animal species [25] [26] [27] [28] . The results of the present study have also revealed that F. vulgare induced toxic damage in kidney tissues. It is well known that the kidney is the target organ for many plant toxins. Several authors have reported different histopathological alterations in kidney tissues following the administration of certain toxic plants to different animal species [25] [26] [29] . In addition, the results of the present study have shown that F. vulgare induced mild histopatholological changes in lung, spleen and duodenum of mice. It seems that the observed histopathological alterations are indicative of plant toxicosis. However, the mechanisms by which F. vulgare causes injury to all these vital organs needs further analysis and investigations concerning the isolation, characterization and concentration of the active constituents in F. vulgare.
In this experiment we used the aerial parts of F. vulgare without identified which is the toxic part of the plant. Therefore, investigations in to the appropriate isolation, characterization and concentration of the active constituents of the plant are very vital to indicate it’s modes of actions.
Conclusion: Foeniculum vulgare leaves juice is slightly toxic to mice. More research is needed to consider the safe usage of F. vulgare as traditional medicine to human and animals.
Acknowledgements
The researchers are grateful to scientific research deanship, King Faisal University (KFU), Saudi Arabia for funding this project No. 16876.
Cite this paper
Al-Hizab, F.A., Hussein, Y.A., Hasseeb, M.M., Barakat, S.E.M. and Moqbel, M.S. (2018) Toxico-Pathological Studies of Foeniculum vulgare Plant in Mice. Open Journal of Pathology, 8, 123-131. https://doi.org/10.4236/ojpathology.2018.84014
References
- 1. Said, H.M. (1973) A/Biruni’s Book on Pharmacy or Materia Medica. Hamdard National Foundation, Karachi, 358.
- 2. Muckensturm, B., Foechterlen, D., Reduron, J.P., Danton, P. and Hildenbrand, M. (1997) Phytochemical and Chemotaxonomic Studies of Foeniculum vulgare. Biochemical Systematics and Ecology, 25, 353-358. https://doi.org/10.1016/S0305-1978(96)00106-8
- 3. Kaur, G.J. and Arora, D.S. (2009) Antibacterial and Phytochemical Screening of Anethum graveolens, Foeniculum vulgare and Trachyspermum ammi. BMC Complementary and Alternative Medicine, 9, Article 30. https://doi.org/10.1186/1472-6882-9-30
- 4. Badgujar, S.B., Patel, V.V. and Bandivdekar, A.H. (2014). Foeniculum vulgare Mill: A Review of Its Botany, Phytochemistry, Pharmacology, Contemporary Application, and Toxicology. BioMed Research International, 2014, 32. https://doi.org/10.1155/2014/842674
- 5. Shah, A.H., Qureshi, S. and Ageel, A.M. (1991) Toxicity Studies in Mice of Ethanol Extracts of Foeniculum vulgare Fruit and Ruta chalepensis Aerial Parts. Journal of Ethnopharmacology, 34, 167-172. https://doi.org/10.1016/0378-8741(91)90034-B
- 6. Khazaei, M. and Salehi, H. (2006) Protective Effect of Falcaria vulgaris Extract on Ethanol-Induced Gastric Ulcers in Rat. Iranian Journal of Pharmacology and Therapeutics, 5, 43-46.
- 7. Hussein, Y.A. (2014) Aerial Parts of Foeniculum vulgare Toxicity to Ruminants. Personal Communication, Al Hofof.
- 8. Bajpai, V.K., Yoon, J.I. and Kang, S.C. (2009a) Antifungal Potential of Essential Oil and Various Organic Extracts of Nandina domestica Thunb. against Skin Infectious Fungal Pathogens. Applied Microbiology and Biotechnology, 83, 1127-1133. https://doi.org/10.1007/s00253-009-2017-5
- 9. Bajpai, V.K., Yoon, J.I. and Chul Kang, S. (2009b) Antioxidant and Antidermatophytic Activities of Essential Oil and Extracts of Metasequoia glyptostroboides Miki ex Hu. Food and Chemical Toxicology, 47, 1355-1361. https://doi.org/10.1016/j.fct.2009.03.011
- 10. Romagnoli, C., Andreotti, E., Maietti, S., Mahendra, R. and Mares, D. (2010) Antifungal Activity of Essential Oil from Fruits of Indian Cuminum cyminum. Pharmaceutical Biology, 48, 834-838. https://doi.org/10.3109/13880200903283715
- 11. Hong, Z., Chen, X.P. and Liang, J.N. (2015) In Vitro Antifungal Activity and Mechanism of Essential Oil from Fennel (Foeniculum vulgare L.) on Dermatophyte Species. Journal of Medical Microbiology, 64, 93-103. https://doi.org/10.1099/jmm.0.077768-0
- 12. Ostad, N., Soodi, M. and Sariffzadeh, M. (2001) The Effect of Fennel Essential Oil on Uterine Contraction as a Model for Dysmenorrhoeal: Pharmacology and Toxicology Study. Journal of Ethnopharmacology, 76, 299-304. https://doi.org/10.1016/S0378-8741(01)00249-5
- 13. Singh, M.P. and Panda, H. (2005) Medicinal Herbs with Their Formulations. Daya Publishing House, Delhi, 97-408.
- 14. Vardavas, C.I., Majchrzak, D., Wagner, K.H., Elmadfa, I. and Kafatos, A. (2006) Lipid Concentrations of Wild Edible Greens in Crete. Food Chemistry, 99, 822-834. https://doi.org/10.1016/j.foodchem.2005.08.058
- 15. Zahra, M., Masoud, S., Abbas, S., Gholamreza, K. and Arezoo, A. (2012) Effects of Foeniculum vulgare Ethanol Extract on Osteogenesis in Human Mecenchymal Stem Cells. Avicenna Journal of Phytomedicine, 3, 135-142.
- 16. Weil, C. (1952) Tables for Convenient Calculation of Median Effective Dose (LD50 or ED50) and Instruction in Their Use. Biometrics, 8, 249-263. https://doi.org/10.2307/3001557
- 17. Bancroft, J.D. and Gamble, M. (2008) Theory and Practice of Histological Techniques. Churchill Livingston, Nottingham, 352-360.
- 18. Loomis, T.A. (1968) Essential of Toxicology. Lea and Febiger, Philadelphia, 67-78.
- 19. Finney, D.J. (1964) Statistical Methods in Biological Assay. Charles Griffin Company Limited, London.
- 20. Nassar, M.I., Aboutabl, E.A., Makled, Y.A., El-Khrisy, E.A. and Osman, A.F. (2010) Secondary Metabolites and Pharmacology of Foeniculum vulgare Mill. Subsp. Piperitum. Revista latinoamericana de química, 38.
- 21. Khazaei, M., Montaseri, A., Khazaei, M.R. and Khanahmadi, M. (2011) Study of Foeniculum vulgare Effect on Folliculogenesis in Female Mice. International Journal of Fertility & Sterility, 5, 122-127.
- 22. Özbek, H., Öztürk, M., Bayram, I. and Ugras, S. (2003) Hypoglycemic and Hepatoprotective Effects of Foeniculum vulgare Miller Seed Fixed Oil Extract in Mice and Rats. Eastern Journal of Medicine, 8, 35-40.
- 23. Özbek, H., Ugras, S., Bayram, I., Uygan, I., Erdogan, E., Öztürk, A. and Huyut, Z. (2004) Hepatoprotective Effect of Foeniculum vulgare Essential Oil: A Carbon-Tetrachloride Induced Liver Fibrosis Model in Rats. Scandinavian Journal of Laboratory Animal Sciences, 31, 9-17.
- 24. El-Soud, N., El-Laithy, N., El-Saeed, G., Wahby, M.S., Khalil, M., Morsy, F. and Shaffie, N. (2011) Antidiabetic Activities of Foeniculum vulgare mill. Essential Oil in Streptozotocin-Induced Diabetic Rats. Macedonian Journal of Medical Sciences, 4, 139-146.
- 25. Barakat, S.E.M., Adam, S.E.I., Maglad, M.A. and Wasfi, I.A. (1985) Effects of Cissus quadrangularis on Goats and Sheep in Sudan. Revue D’Elevage Et De Medecine Veterinaire Des Pays Tropicaux, 38, 185-194.
- 26. Adam, S.E.I., Al-Qarawi, A.A. and Elhag, E.A. (2000) Effects of Various Levels of Diatery Artemisia abyssinica Leaves on Rats. Laboratory Animals, 34, 307-312. https://doi.org/10.1258/002367700780384744
- 27. Al-Hizab, F.A., Moqbel, M.S. and Barakat, S.M. (2017) Pathological Studies of Various Levels of Dietary Momordica Charantia on Wistar Rats. Journal of Animal and Veterinary Advances, 16, 43-47.
- 28. Moqbel, M., Al-Hizab, F. and Barakat, S. (2017) Clinicopathological Study on the Effects of Momordica Charantia on Streptozotocin-Induced Diabetic Wistar Rats. Open Journal of Veterinary Medicine, 7, 49-62. https://doi.org/10.4236/ojvm.2017.75006
- 29. Yosef, J.M. (2011) Identifying Frankincense Impact by Biochemical Analysis and Histological Examination on Rats. Saudi Journal of Biological Sciences, 18, 189-194. https://doi.org/10.1016/j.sjbs.2010.10.005







