Open Journal of Stomatology
Vol.08 No.04(2018), Article ID:83631,9 pages
10.4236/ojst.2018.84009
Maxillary Osteitis in the Yalgado Ouedraogo Teaching Hospital: Epidemiological, Clinical and Therapeutic Aspects
T. Konsem1, M. Millogo1, V. Ili1, A. Coulibaly1, R. W. L. Ouedraogo2, L. Ouedraogo1, D. Ouedraogo1
1CHU-YO, Ouagadougou, Burkina Faso
2CHU-SS, Bobo-Dioulasso, Burkina Faso

Copyright © 2018 by authors and Scientific Research Publishing Inc.
This work is licensed under the Creative Commons Attribution International License (CC BY 4.0).
http://creativecommons.org/licenses/by/4.0/



Received: February 24, 2018; Accepted: April 7, 2018; Published: April 10, 2018
ABSTRACT
Purpose: Report the epidemiological, clinical and therapeutic aspects of maxillary osteitis. Material and Methods: This was a descriptive, cross-sectional retrospective study carried out in the Department of Stomatology and Maxillofacial Surgery of the Yalgado OUEDRAOGO Teaching Hospital, covering a period of 7 years. Results: We registered 68 cases of maxillary osteitis with an annual hospital frequency of 9.71 cases. The mean age was 27.5 years +/−4.02 with extremes of 4 years and 72 years. Farmers/herders were the most concerned in 67.65% of the cases. Reasons for consultation were dominated by swelling of the cheek in 79.41% of cases. The average time to consultation was 7 months. Tooth decays and dental avulsions were mostly implicated in etiologies in 79.41% of the cases. Treatment provided was medical and surgical. All patients received antibiotic therapy. Surgical treatment involved 51.47% of patients. The evolution was favorable in 89.70% of the patients. Sequelae were found in 58.82% of the patients. Conclusion: Maxillary osteitis is common in our regions. Treatment is medical and surgical. It is marked by many difficulties, especially the delay in consultation.
Keywords:
Osteitis, Maxillary, Epidemiology, Clinical, Therapeutic, Ouagadougou

1. Introduction
Infectious pathologies are significant factors in mortality and morbidity in developing countries. In our area, stomatological infections mainly include tooth decay and its complications. The most feared ones are cervical and facial cellulitis and maxillary osteitis. Maxillary osteitis is an acute or chronic inflammatory process in the connective tissue, occupying the spaces of the bone due to a microbial agent that reaches and develops in the bone [1] . The etiology is essentially microbial and local and/or particularly dental and alveolar.
Maxillary osteitis causes significant functional and aesthetic disturbances [2] .
In our context, most patients attend hospital at an advanced stage of the disease, thus presenting particularly serious and mutilating forms at any age.
This study was intended to contribute to the improvement of maxillary osteitis treatment in our area.
2. Methodology
Our study was conducted in the Department of Stomatology and Maxillofacial Surgery of the Yalgado OUEDRAOGO Teaching Hospital.
It was a retrospective, cross-sectional descriptive study carried out over a period of seven (7) years from 2010 to 2016. All those who attended the hospital in this period and whose diagnosis of osteitis was confirmed were included in the study. The diagnosis of osteitis was retained based on criteria such as bone inflammatory swelling with infectious cause, and lytic or osteoconductive radiological image.
The data was collected from consultation registers, the operating room registers and the patients’ consultation cards, using a data collection sheet containing the parameters of our study. The parameters of our study were epidemiological (age, sex, socio-economic status, etiologies), clinical and paraclinical (reason for consultation, physical sign, topography of the bone lesion, type of radiographic image, type of hemoglobin electrophoresis), and therapeutic (method of surgical, etiological medical treatment and evolution).
Incomplete medical records which did not present all the studied data were excluded from the study.
The socio-economic status of the patients was assessed as follows:
- Low status (patients conducting activities in the informal sector),
- Average status (patients that are self-employed),
- High status (patients working as public or private sector employees),
Patients have previously consented to participate in the study.
3. Results
3.1. Epidemiological Aspects
During the study period, we recorded sixty-eight (68) cases of maxillary osteitis in the department of stomatology and maxillofacial surgery of the Yalgado OUEDRAOGO Teaching Hospital, i.e. a hospital frequency of 9.71 cases per year.
The age of our patients ranged from 4 to 70 years with a mean age of 27.4 years +/−4.02 years. More than half of our patients were aged less than or equal to 30 years, or 63.23% of the cases.
Our series included 35 (51.5%) male patients and 33 (48.5%) female patients, representing a sex ratio of 1.06.
The majority of our patients did not have a formal income-generating activity. Farmers/herders were the most represented (67.65% of the cases), followed by pupils/students (13.23% of the cases), housewives (7 cases), traders (4 cases) and public and private workers (2 cases).
In our study, 78% of the patients had a low socio-economic, 13% had a medium status and 9% a high status
Tooth decay and dental avulsions were the most commonly identified etiologies in our study with 79.41% of the cases, followed by periodontal diseases (13.23% of cases). The distribution of osteitis cases based on etiologies is illustrated in the following table of surgical reports (Table 1).
3.2. Clinical Aspects
The most common reason for consultation in our series was cheek swelling (79.41% of the cases), followed respectively by cutaneous fistula (30.88% of the cases) (Figure 1), intra-oral fistula (23.52% of the cases), trismus (11 cases) and toothache (8 cases).
The time elapsed between the onset of the illness and the patent’s admission to the CHUYO stomatology and maxillofacial surgery department ranged from 4 days to 8 years with a mean period of 7 months.
Maxillary or mandibular bone swelling was the most common physical sign. It was found in 98.5% of the cases. In 75% of patients, we found one or more decayed tooth/teeth. Table 2 provides a summary of physical signs.
Mandibular localization was by far the most common with 90% of the cases, against 10% of maxillary cases. We observed mandibular panosteitis in 2.9% of the cases (Figure 2).
Table 1. Distribution of osteitis cases depending on etiology (n = 68).
Table 2. Summary of Physical Signs (n = 68).
Note: Several physical signs were often associated in the same patient.
Figure 1. Cutaneous fistula.
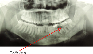
Figure 2. Tooth Caries.
3.3. Paraclinical Aspects
Radiographic exploration was carried out on standard radiography and we listed the following images:
Bone loss (100% of the cases), osteocondensation associated with bone lossin 26 cases (38.25%), bony sequestration (36 cases, 51.4%), and bone fractures (2 cases, or 2.94%).
Hemoglobin electrophoresis indicated that only 50% of the cases have AA hemoglobin.
The table summarizes the results of the hemoglobin electrophoresis in all patients (Table 3).
3.4. Treatment
3.4.1. Medical Treatment
General antibiotic therapy has been prescribedto all our patients. Lincomycin was the first-line antibiotic. The duration of the antibiotic therapy ranged from 2 weeks to 4 months with an average period of 2 months.
3.4.2. Surgical Treatment
In all, 36 cases of surgical interventions were recorded, i.e. a frequency of 51.47%. Sequestrectomy was the most provided surgical treatment.
Table 3. Distribution of patients based on the type of hemoglobin (n = 68).
3.4.3. Etiological Treatment
1) Causal Tooth
The causal tooth was extracted in 33 cases out of the 51 cases of tooth decay,
which represents a frequency of 64.7%. In the remaining 18 cases (35.29%), conservative treatment was provided by root canal filling.
2) Bone Fractures
A fracture with significant displacement was treated by osteosynthesis. The second case of fracture was slightly displaced and was the subject of an orthopedic indication.
3) Treatment of Complications
Patients with maxillary sinusitis and orbital abscess benefited from drainage under general anesthesia and antibiotic therapy.
3.4.4. Evolution
There was a favorable evolution in the majority of the cases. Healing was obtained in 89.70% of the patients but with sequelae in 21 cases, or 30.88% of the cases.
Sequelae were dominated by unsightly scars (52.5%), facial asymmetry (35%), and edentulismin5 cases (23.5%). Sequelae were often associated in the same patient.
4. Discussion
4.1. Epidemiological Aspects
During our study period, we registered 68 cases of maxillary osteitis, i.e. an annual hospital frequency of 9.71 cases. These figures are below reality due to under-reporting of cases in our health facilities.
The frequency in our series is higher than that of MAHDOUFI [3] in Morocco who found 5 cases per year. Delayed consultation and treatment of patients observed in our health facilities might explain the high frequency of osteitis.
The age of our patients ranged from 4 to 72 years with an average of 27.4 years. More than half of our patients were aged less than or equal to 30 years, i.e. 63.23% of the cases. Osteitis could mostly affect young subjects, just as dental caries whose complication results in osteitis.
Our series included 35 male subjects (51.5%) and 33 female subjects (48.5%), i.e. a sex ratio of 1.06.
The precarious socio-economic status (poverty) has been incriminated in the occurrence of maxillary osteitis by some authors [4] [5] .
Indeed, the majority of our patients did not have a formal income-generating activity. Peasants were the most affected (67.65%). In our context, peasants are disadvantaged people. The low socioeconomic level of the majority of our patients combined with the lack of specialized care could explain their reluctance to attend health centers.
Tooth decay (Figure 3) and dental avulsions were the largest causes of maxillary osteitis in our study with 79.41% of the cases. In many cases, tooth decay will cause cellulitis that will not be treated or will be poorly managed.
The prevalence of tooth decay as the etiology of maxillary osteitis is reported by DIOMBANA [5] in MALI 63, 6%,
In our area, noma still exists and causes panosteitis (Figure 2) which is an extensive form of osteitis. Noma easily shows the disadvantaged nature of the victims, because noma is recognized as a disease due to misery and poverty.
4.2. Clinical Aspects
The most common reason for consultation in our series was cheek swelling (79.41% of the cases) and fistulas. These reasons for consultation are similar to those described by many other authors [3] [5] .
Indeed, most patients are seen at a chronic stage and mandibular or maxillary swelling is almost constant. Fistulization is common as well (Figure 1).
The time taken between the onset of the illness and admission to the CHUYO stomatology and maxillofacial surgery department ranged from 4 days to 8 years with a mean period of 7 months. Thus, most of our patients were seen after a long delay. This observation has been made by several authors [5] [6] [7] . Self-medication and poor socio-economic conditions are among the causes of late consultations.
The general condition was impaired only in 2 cases (2.9%).
Classically, the general condition is preserved in the cases of maxillary osteitis because of the most often localized character of the bone infection.
Maxillary or mandibular bone swelling was the most common physical sign and was found in 98.5% of the cases. Tooth decay and fistulas were encountered in 75% of the patients. We observed 36 cases of bony sequestration (51.47%) in our series (Figure 4 and Figure 5).
These physical signs account for the frequency of chronic forms in our series.
Affected mandible was by far the most common with 90% of the cases. Our findings are similar to those of HADDAR [4] in TUNISIA and of DIOMBANA [5] in Mali with respectively 85.71% and 87.9% of mandibular location. This is duetoits cortical and spongy structure, its terminal vascularization and its fragile mucous cover near the dental organs.
Figure 3. Mandibular panosteitis during a Noma case.
Figure 4. Bone sequestration in place.
Figure 5. Excreted bone sequestration.
All this renders the mandibular bone vulnerable to infectious processes and to the risks of sequestration. Mandibular panosteitis was found in 5.8% of the cases.
4.3. Paraclinical Aspects
The study of the frequency of the different x-ray images of maxillary osteitisrevealed bone losses in 100% of the cases.
Images of osteocondensation associated with bone losses and sequestration have been reported. X-ray confirms the diagnosis of osteitis by showing images of bone loss often associated with osteocondensation images.
In our study, hemoglobinopathy was implicated in the genesis of maxillary osteitis in 13 patients, thus appearing as a risk factor for osteitis. Hemoglobinopathy is also a contributing factor because of the decline in blood flow due to sickling of red blood cells.
This assumption is supported by YAOKREH [8] in COTE D'IVOIRE who found a sickle cell trait in 27.8% of the patients in his series.
4.4. Treatment
Lincomycin was the first-line antibiotic in medical treatment. Indeed, it has been prescribed in 58.82% of our cases because of its good bone diffusion. This is a probabilistic approach to the treatment of bone infection in our context due to the immediate unavailability of culture and antibiotic susceptibility testing results. The duration of medical treatment ranged from 2 weeks to 4 months with an average period of 8 weeks. Indeed, the duration of antibiotic therapy depended on the type (acute or chronic) of osteitis and on the virulence of the germ. It also depended on the clinical and biological response during treatment.
The earliness, the choice and the duration of the antibiotic treatment determine the bone infection prognosis. In all the cases, antibiotic therapy should be adapted to the antibiotic susceptibility testing data and take into account bone diffusion. It also depends in particular on economic opportunities in our context where there is no universal health insurance across the country.
We performed several surgical procedures (sequestrectomy, drainage, and dental avulsion). In our study, 36 patients (51.47%) underwent sequestrectomy. This could be explained by delayed consultation and the chronic nature of the osteitis.
Etiological treatment consisted in tooth extraction or a conservative treatment with root canal filling. Osteosynthesis and orthopedic treatment were performed in fractures.
Etiological treatment is a very important component of the treatment of maxillary osteitis as it helps both to obtain faster healing and to avoid recurrence or disease progression [9] [10] .
After treatment, there was a most often favorable evolution. Healing was obtained in 89.70% of our patients but with sequelae in 21 cases, i.e. 30.88% of the cases.
In our series, sequelae were dominated by unsightly scars (52.50%) that are scars of fistulous areas, and facial asymmetry (35%). Edentulism accounted for 12.5% of the cases. These are functional and aesthetic sequelae.
5. Conclusions
Maxillary osteitiscases are largely dominated by mandibular impairment. These osteitis cases are still thorny health issues in our regions.
Tooth decay and its complications are the most common causes. Social and economic difficulties in our regions result in delayed consultation, thus causing the evolution of bone infection to chronicity.
Maxillary osteitis control shall be based on the effective management of tooth decay cases.
Conflict of Interest
All the authors declare: we have no conflict of interest.
Informed Consent
In relation to publication of this study, consent was given by patients.
Cite this paper
Konsem, T., Millogo, M., Ili, V., Coulibaly, A., Ouedraogo, R.W.L., Ouedraogo, L. and Ouedraogo, D. (2018) Maxillary Osteitis in the Yalgado Ouedraogo Teaching Hospital: Epidemiological, Clinical and Therapeutic Aspects. Open Journal of Stomatology, 8, 101-109. https://doi.org/10.4236/ojst.2018.84009
References
- 1. Gaeti-Jardime, J. (2010) Microbiota Associated with Chronic Osteomyelitis of the Jaws. Brazilian Journal of Microbiology, 41, 1056-1064.
- 2. Hamidboukai, S. (2011) Complexodontoma of the Maxillae: Report of a Complicated, Clinical Case of Mandibular Osteitis. Actualités Odonto-Stomatologique, 254, 140-160.
- 3. Mahdoufi, R., Zouak, A., Dirane, K., Abada, R., Roubal, M. and Mahtar, M. (2014) Mandibular Osteitis: Management and Results. ENT-HNS Department, Casablanca, A104-A160.
- 4. Haddar, C., Dabbeche, K., Abid, A., Besbes, D., Sahnoun, R., Ghiriani, M. and Dhouib, J. (2007) Maxillary Osteitis: Report of 7 Cases. FR, 92, 145-162.
- 5. Diombana, M.L., Mohamedag, Kussner, H. and Toure, A. (1996) Maxillary Osteitis in the Stomatology Department of the Kati National Hospital (Republic of Mali): Report of 33 Cases. Méd. Afr. Nre, 43, 170-173.
- 6. Deroux, A. (2001) Complication of Dental Infections. Rev.Med.Brux., 22, 289-295.
- 7. Elhallaoui, Y., Filaliadib, A., Boulaadas, M., Boulaich, M. and Kzadri, M. (2003) Mandibular Osteitis. EspéranceMédicale, 99, 549-555.
- 8. Yaokrey, J.P., Odehouri-Koudou, T.H., Kouame, Y.G.S., et al. (2015) Osteomyelitis in Children with Sickle Cell Disease in a Tropical Environment. Rev. Cames Santé, 3, 21-24.
- 9. Maes, M., Raoul, G., Omezzine, M. and Ferri, J. (2005) Osteitis of the Bones of the Face. EMC, 1, 208-230.
- 10. Ngapeth-Etoundi, M., Itoua, E.S.R., Obounou, A. and Aragon Alma, J. (2001) Clinical Study of Dental and Peri-Dental Infectious Complications Observed at the Yaounde Central Hospital: Report of 161 Cases. Odontostomatologietropicale, 93, 5-10.







