Journal of Tuberculosis Research
Vol.04 No.04(2016), Article ID:71880,6 pages
10.4236/jtr.2016.44017
Pulmonary Mycobacterium kansasii Disease in Previously Healthy Women
Yoshihiro Kobashi*, Masaaki Abe, Keiji Mouri, Shigeki Kato, Mikio Oka
Department of Respiratory Medicine, Kawasaki Medical School, Kurashiki, Japan

Copyright © 2016 by authors and Scientific Research Publishing Inc.
This work is licensed under the Creative Commons Attribution International License (CC BY 4.0).
http://creativecommons.org/licenses/by/4.0/



Received: October 13, 2016; Accepted: November 6, 2016; Published: November 9, 2016
ABSTRACT
We encountered two cases of pulmonary M. kansasii disease in two women without underlying diseases in our hospital. Case 1 was a 52-year-old woman who visited with an abnormal chest shadow. She showed nodular and linear shadows with bronchiectatic changes and small cavities in the left upper lobe and lingula, and was diagnosed with pulmonary M. kansasii disease because M. kansasii was isolated from her bronchoscopic specimens. Case 2 was a 33-year-old woman who visited with a productive cough. She showed several cavity lesions in the right lung, and was diagnosed with pulmonary M. kansasii disease from several isolated sputum samples. Combination therapy using INH, RFP, and EB was effective treatment for the two cases. Because pulmonary M. kansasii disease in previously healthy women shows various radiological patterns, it was considered important to perform acid-fast bacilli examination using clinical specimens in order to decide on the appropriate treatment methods.
Keywords:
Pulmonary M. kansasii Disease, Women

1. Introduction
The frequency of pulmonary nontuberculous mycobacterial (NTM) disease has been increasing recently. As the causative microorganisms of pulmonary NTM disease, Mycobacterium avium and Mycobacterium intracellulare are the most frequently isolated in Japan (80%) [1] , and the nodular bronchiectatic type of pulmonary MAC disease has been reported to show the high percentage in women without underlying diseases (54% - 92%) [2] [3] . On the other hand, Mycobacterium kansasii was the third most frequently isolated, and pulmonary M. kansasii disease has been reported with most patients being male with underlying respiratory diseases such as chronic obstructive pulmonary disease (COPD). Also, radiological findings are similar to those of pulmonary tuberculosis with a thin-walled cavity [4] . Because there are few reports on the clinical characteristics of pulmonary M. kansasii disease in previously healthy women [5] [6] , we investigated the clinical characteristics of the two cases in our hospital.
2. Case
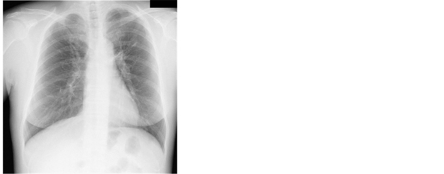
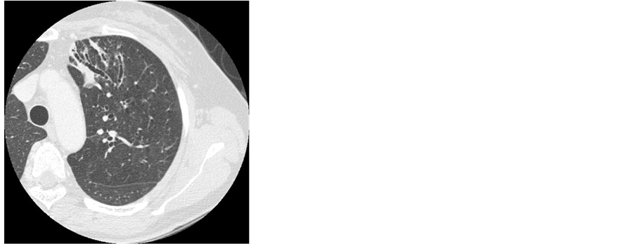
Case 1: A53-year-old woman visited our hospital due to an abnormal chest shadow. She had no underlying diseases and no smoking history. There were no abnormal physical findings on admission. There were no abnormal laboratory findings in the peripheral blood or chemical screening, but Quanti FERON TB-Gold (QFT-G) was also positive (ESAT-6: 0.92 IU/ml). Chest radiographs showed nodular and linear shadows in the left upper lung field (Figure 1). Chest CT showed nodular and linear shadows with bronchiectasis and small cavities in the left upper lobe and lingula (Figure 2). Because she could not expectorate sputum and we could not rule out pulmonary tuberculosis completely, we performed bronchoscopy. The culture of bronchoscopic specimens generated acid-fast bacilli and the result of DNA-DNA hybridization (DDH) method identified M. kansasii. Finally, she was diagnosed with pulmonary M. kansasii disease. Afterwards, she was treated with combined chemotherapy using INH, RFP, and EB for one year and abnormal chest shadows improved following the combined chemotherapy.
Case 2: A 33-year-old woman visited our hospital complaining of productive cough and general fatigue. She had no underlying diseases and no smoking history. There were no abnormal physical findings on admission. There were no abnormal laboratory findings except for the elevation of C-reactive protein (CRP 0.34 mg/dl, normal range: <0.30 mg/dl). Although TST was not performed, QFT-G was negative (<0.05 IU/ml). Chest radiographs showed linear shadows in the right upper lung field and cavity lesions in the right upper and lower lung fields (Figure 3). Chest CT showed several cavities surrounding the infiltration shadow and satellite lesions with bronchiectasis in the right upper and lower lobes (Figure 4). The culture of expectorated sputum generated
Figure 1. Chest radiograph s showed nodular and linear shadows in the left upper field.
Figure 2. Chest CT showed nodular and linear shadows with bronchiectasis and small cavities in the left upper lobe and lingula.
Figure 3. Chest radiographs showed linear shadows in the right upper filed and cavity lesions in the right upper and lower lung fields.
acid-fast bacilli several times and the result of DDH method identified M. kansasii. Finally, she was diagnosed with pulmonary M. kansasii disease based on the diagnostic criteria of the ATS guidelines [7] . She was treated with combined chemotherapy using
Figure 4. Chest CT showed several cavities surrounding the infiltration shadow and satellite lesions with bronchiectasis in the right upper and lower lobes.
INH, RFP, and EB for one year and clinical symptoms and abnormal chest shadows improved following the combined chemotherapy.
3. Discussion
The frequency of M. kansasii among the causative microorganisms of pulmonary NTM disease has been reported as 8.1% in Japan, and it has increased in Japan and the United States of America [8] [9] .
The frequency in males was reported to be the high about the sex classification of pulmonary M. kansasii disease [10] . The clinical characteristics of male patients with pulmonary M. kansasii disease were middle-aged smokers with underlying respiratory diseases, showing cavity lesions as radiological findings [8] [11] .
Regarding CT findings of pulmonary M. kansasii disease, they can be summarized as follows: 1) the distribution of lesions was most frequent in the upper lobe and bilateral lung field; 2) the extent of lesions was limited within the unilateral lung field; 3) infiltration shadows or small centrilobular nodules with bronchiectasis were recognized in over half of all patients, and 4) typical radiological findings such as cavities (thin-walled cavities) were recognized in over half of all patients [12] [13] [14] . The propensity of pulmonary lesions to affect the upper lobe in pulmonary M. kansasii disease was similar to that of Mycobacterium tuberculosis (MTB) [15] . High oxygen tension in the ape helps M. kansasii to be preferentially localized [16] . The incidence of cavity formation has been considered high in patients with pulmonary M. kansasii diseases well as in previous reports from Japan [4] . However, more recent studies reported incidence rates from 32% to 54% [12] [13] [14] . This discrepancy in the incidence cavity formation may be explained by recent improvements in the diagnostic methods used (bronchoscopy, etc.) and microbiological isolation of the organism [17] .
There were two reports described about female patients with pulmonary M. kansasii disease in Japan as far as we investigated. Kamiya et al. [5] reported that eight female patients with pulmonary M. kansasii disease were middle-aged non-smokers without underlying respiratory diseases, presenting with nodular bronchiectatic lesions as radiological findings. On the other hand, Ohnishi et al. [6] reported that three female patients with pulmonary M. kansasii disease were younger non-smokers without underlying diseases, presenting with cavity lesions in the upper lobes, similar to pulmonary tuberculosis in previous studies of female patients with pulmonary M. kansasii disease. These two reports described the different radiological findings. In our two female patients with pulmonary M. kansasii disease, case 1 showed a mixed type comprising both nodular bronchiectatic lesions and small cavity lesions, and case 2 showed cavity lesions surrounding infiltration shadow and nodular lesions with bronchiectasis. Although there are not so many female patients with pulmonary M. kansasii disease in Japan, it is thought that pulmonary M. kansasii disease in female patients presents with various radiological findings, such as the fibrocavitary or nodular bronchiectatic type.
Because the regimen of combined chemotherapy and clinical effect were different according to the causative microorganism, it is important to identify the causative microorganism of pulmonary NTM disease by positive diagnostic methods such as bronchoscopy. Regarding treatment for pulmonary M. kansasii disease, combined chemotherapy using INH, RFP, and EB for at least one year as recommended by the ATS shows a favorable clinical effect [7] . Our two female patients with pulmonary M. kansasii disease also showed good clinical responses with this treatment method for one year.
4. Conclusion
When we encounter female patients who are suspected of having pulmonary NTM disease, we need to positively collect clinical specimens and identify microorganisms correctly by DDH methods.
Conflict of Interest
There are no conflicts of interest regarding this manuscript.
Cite this paper
Kobashi, Y., Abe, M., Mouri, K., Kato, S. and Oka, M. (2016) Pulmonary Mycobacterium kansasii Disease in Previously Healthy Women. Journal of Tuberculosis Research, 4, 141-146. http://dx.doi.org/10.4236/jtr.2016.44017
References
- 1. Sakatani, M. (1994) Nontuberculous Mycobacteriosis (NTM) in Japan: Epidemiologic and Clinical Study. Kekkaku, 69, 119-124.
- 2. Hartman, T.E., Swensen, S.J. and Williams, D.E. (1993) Mycobacterium avium-intracellu- lare Complex: Evaluation with CT. Radiology, 187, 23-26.
http://dx.doi.org/10.1148/radiology.187.1.8451419 - 3. Swensen, S.J., Hartman, T.E. and Williams, D.E. (1994) Computed Tomographic Diagnosis of Mycobacterium avium-intracellulare Complex in Patients with Bronchiectasis. Chest, 105, 49-52.
http://dx.doi.org/10.1378/chest.105.1.49 - 4. Christensen, E.E., Dietz, G.W., Ahn, C.H., et al. (1998) Radiologic Manifestations of Pulmonary Mycobacterium kansasii Infections. American Journal of Roentgenology, 131, 985-993.
http://dx.doi.org/10.2214/ajr.131.6.985 - 5. Kamiya, H., Ikushima, S., Sakamoto, S., et al. (2008) A Study of Clinical Features of Mycobacterium kansasii Pulmonary Disease in Women. Kekkaku, 83, 73-79.
- 6. Ohnishi, T., Kusumoto, S., Yamaguchi, S., et al. (2011) Three Cases of Mycobacterium kansasii Pulmonary Disease in Previously Healthy Young Woman. Nippon Kokyuki Gakkai Zasshi, 49, 426-431.
- 7. Griffith, D.E., Askamit, T., Brown-Ellion, B.A., et al. (2007) An Official ATS/IDSA Statement: Diagnosis, Treatment, and Prevention of Nontuberculous Mycobacterial Diseases. American Journal of Respiratory and Critical Care Medicine, 175, 367-416.
http://dx.doi.org/10.1164/rccm.200604-571ST - 8. Matsushita, Y., Miimi, A., Tanaka, E., et al. (1993) Clinical Features of Pulmonary Mycobacterium kansasii Infection: Comparison with M. tuberculosis and M. avium Complex Infection. Nippon Kyoubu Shikkan Gakkai Zasshi, 31, 1507-1513.
- 9. Maliwan, N. and Zvetina, J.R. (2005) Clinical Feature and Follow up of 302 Patients with Mycobacterium kansasii Pulmonary Infection: A 50 Year Experience. Postgraduate Medical Journal, 81, 530-533.
http://dx.doi.org/10.1136/pgmj.2004.026229 - 10. Griffith, D.E. (2002) Management of Disease due to Mycobacterium kansasii. Clinics in Chest Medicine, 23, 613-621.
http://dx.doi.org/10.1016/S0272-5231(02)00016-3 - 11. Shimoide, H. (1984) Clinical Studies on Atypical Mycobacteriosis. Report XVI: A Seventeen Years Long Clinical Study on the Cases with Mycobacterium kansasii at the Tokyo National Chest Hospital. Nippon Kyoubu Rinshou, 11, 925-932.
- 12. Shirit, D., Priess, R., Paled, N., et al. (2007) Differentiation of Mycobacterium kansasii Infection from Mycobacterium tuberculosis Infection: Comparison of Clinical Features, Radiological Appearance, and Outcome. European Journal of Clinical Microbiology & Infectious Diseases, 26, 679-684.
http://dx.doi.org/10.1007/s10096-007-0331-3 - 13. Park, H.K., Koh, W.J., Shim, T.S., et al. (2011) Clinical Characteristics and Treatment Outcomes of Mycobacterium kansasii Lung Disease in Korea. Yonsei Medical Journal, 51, 552- 556.
http://dx.doi.org/10.3349/ymj.2010.51.4.552 - 14. Matveychuk, A., Fuks, L., Priess, P., et al. (2012) Clinical and Radiological Features of Mycobacterium kansasii and Other NTM Infections. Respiratory Medicine, 106, 1472-1477.
http://dx.doi.org/10.1016/j.rmed.2012.06.023 - 15. Evans, A.J., Crisp, A.J., Colville, A., et al. (1996) Pulmonary Mycobacterium kansasii Infection Comparison of Radiological Appearance with Pulmonary Tuberculosis. Thorax, 51, 1243-1247.
http://dx.doi.org/10.1136/thx.51.12.1243 - 16. Gurney, J.W. and Schroeder, B.A. (1988) Upper Lobe Lung Disease: Physiologic Correlates. Review Radiology, 67, 359-366.
http://dx.doi.org/10.1148/radiology.167.2.3282257 - 17. Shitrit, D., Baum, G.L., Priess, R., et al. (2005) Pulmonary Mycobacterium kansasii Infection in Israel, 1999-2004. Clinical Features, Drug Susceptibility, and Outcome. Chest, 129, 771-776.
http://dx.doi.org/10.1378/chest.129.3.771






